天津医药 ›› 2025, Vol. 53 ›› Issue (12): 1326-1329.doi: 10.11958/20251282

• 多学科诊疗 • 上一篇    下一篇

1例小细胞肺癌囊性脑转移多学科诊疗分析

于涛1(), 汪俊萍2, 张荣新3, 刘兵4, 徐东波5, 陈渊6, 钟殿胜1,()   

  1. 1 天津医科大学总医院肿瘤内科(邮编300052)
    2 天津医科大学总医院影像科
    3 天津医科大学总医院放疗科
    4 天津医科大学总医院神经外科
    5 天津医科大学总医院病理科
    6 天津医科大学总医院胸部肿瘤外科
  • 收稿日期:2025-04-01 修回日期:2025-08-19 出版日期:2025-12-15 发布日期:2025-12-08
  • 通讯作者: E-mail:zhongdsh@hotmail.com E-mail:yutaogh@tmu.edu.cn;zhongdsh@hotmail.com
  • 作者简介:于涛(1983),女,副主任医师,主要从事肺癌和消化道肿瘤的个体化精准诊疗研究。E-mail:yutaogh@tmu.edu.cn

Experience and clinical exploration by multidisciplinary diagnosis and treatment of cystic brain metastasis in a case of small cell lung cancer

YU Tao1(), WANG Junping2, ZHANG Rongxin3, LIU Bing4, XU Dongbo5, CHEN Yuan6, ZHONG Diansheng1,()   

  1. 1 Department of Oncology, Tianjin Medical University General Hospital, Tianjin 300052, China
    2 Department of Imaging, Tianjin Medical University General Hospital, Tianjin 300052, China
    3 Department of Radiation, Tianjin Medical University General Hospital, Tianjin 300052, China
    4 Department of Neurosurgery, Tianjin Medical University General Hospital, Tianjin 300052, China
    5 Department of Pathology, Tianjin Medical University General Hospital, Tianjin 300052, China
    6 Department of Thoracic Surgery, Tianjin Medical University General Hospital, Tianjin 300052, China
  • Received:2025-04-01 Revised:2025-08-19 Published:2025-12-15 Online:2025-12-08
  • Contact: E-mail:zhongdsh@hotmail.com E-mail:yutaogh@tmu.edu.cn;zhongdsh@hotmail.com

摘要:

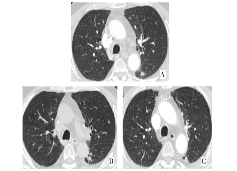
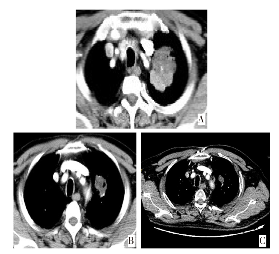
随着磁共振成像等影像学技术的不断发展,脑转移瘤的检出率越来越高。其中囊性脑转移发病率虽然远低于实性脑转移,但囊性脑转移瘤患者病情急,占位效应明显,是临床亟待解决的问题。既往文献报道囊性脑转移多见于乳腺癌和肺腺癌,特别是驱动基因阳性肺癌患者。该文报告1例以神经系统症状起病的小细胞肺癌囊性脑转移患者在多学科诊疗模式下获得临床治愈,在影像学动态评估以及微小残留病灶检测下避免过度治疗,延长生存期的基础上获得较高的生活质量。

关键词: 小细胞肺癌, 囊性脑转移, 多学科诊疗, 分子残留病灶

Abstract:

With the continuous development of imaging techniques such as magnetic resonance imaging, the detection rate of brain metastases is increasing. Although the incidence rate of cystic brain metastasis is far lower than that of solid brain metastasis, patients with cystic brain metastasis are in urgent condition and have obvious space occupying effect, which is an urgent clinical problem. Previous literature has reported that cystic brain metastasis is more common in breast cancer and lung adenocarcinoma, especially in lung cancer patients with positive driver gene. This article reports a case of small cell lung cancer with cystic brain metastasis, which started with neurological symptoms, and was clinically cured under a multidisciplinary diagnosis and treatment model. Through dynamic imaging evaluation and molecular residual lesion detection, the patient can avoid overtreatment and achieved a relatively higher quality of life on the basis of prolonging survival.

Key words: small cell lung carcinoma, cystic brain metastases, multi-disciplinary treatment, molecular residual disease

中图分类号: