
天津医药 ›› 2025, Vol. 53 ›› Issue (11): 1138-1144.doi: 10.11958/20252085
收稿日期:2025-05-27
修回日期:2025-08-07
出版日期:2025-11-15
发布日期:2025-11-19
通讯作者:
△E-mail: 作者简介:苏艺(1989),男,主治医师,主要从事髋关节及下肢疾患的保守及手术治疗方面研究。E-mail:基金资助:
SU Yi(
), ZHOU Jinliang, DING Qiang△(
)
Received:2025-05-27
Revised:2025-08-07
Published:2025-11-15
Online:2025-11-19
Contact:
△E-mail: 苏艺, 周金良, 丁强. 骨碎补总黄酮改善激素性股骨头坏死脂代谢紊乱的作用机制[J]. 天津医药, 2025, 53(11): 1138-1144.
SU Yi, ZHOU Jinliang, DING Qiang. The mechanism of total flavonoids of Rhizoma drynariae improving lipid metabolism disorders in steroid-induced avascular necrosis of femoral head in rabbits[J]. Tianjin Medical Journal, 2025, 53(11): 1138-1144.
摘要:
目的 探讨基于过氧化物酶体增殖物激活受体γ(PPARγ)/腺苷酸活化蛋白激酶(AMPK)通路探讨骨碎补总黄酮(TFRD)改善激素性股骨头坏死(SANFH)兔脂代谢紊乱的作用机制。方法 将60只新西兰兔随机分为对照组(10只)和造模组(50只)。采用注射大肠杆菌内毒素联合甲泼尼龙的方法建立兔SANFH模型;对照组注射等量生理盐水。造模组再随机分为SANFH组、TFRD-低组(30 mg/kg)、TFRD-中组(60 mg/kg)、TFRD-高组(100 mg/kg)、TFRD-高+抑制剂组(100 mg/kg TFRD+30 mg/kg化合物C,AMPK抑制剂)5组,每组10只。干预结束后,采集兔耳缘静脉血,检测血清血脂指标[高密度脂蛋白胆固醇(HDL-C)、总胆固醇、甘油三酯(TG)];Micro-CT检测骨体积/总体积(BV/TV)、骨小梁数量(Tb.N);HE染色观察股骨组织病理学变化并计算空骨陷窝率;TUNEL法检测骨细胞凋亡率;实时荧光定量PCR检测骨组织B细胞淋巴瘤/白血病-2(Bcl-2)和Bcl-2相关X蛋白(Bax)mRNA表达;Western blot检测骨组织PPARγ、p-AMPK/AMPK表达。结果 与对照组相比,SANFH组HDL-C、BV/TV、Tb.N、Bcl-2 mRNA、PPARγ、p-AMPK/AMPK表达水平降低,胆固醇、TG、凋亡率、空骨陷窝率、Bax mRNA表达水平升高(P<0.05);与SANFH组相比,TFRD-低、中、高组的HDL-C、BV/TV、Tb.N、Bcl-2 mRNA、PPARγ、p-AMPK/AMPK表达水平依次升高,胆固醇、TG、凋亡率、空骨陷窝率、Bax mRNA表达水平依次降低(P<0.05);与TFRD-高组相比,TFRD-高+抑制剂组上述指标变化被逆转(P<0.05)。结论 TFRD可能通过激活PPARγ/AMPK通路改善SANFH兔脂代谢紊乱。
中图分类号:
| 基因名称 | 引物序列(5'→3') | 产物大小/bp |
|---|---|---|
| Bax | 上游:CCCGAGAGGTCTTTTTCCGAG | 152 |
| 下游:CCAGCCCATGATGGTTCTGAT | ||
| Bcl-2 | 上游:GGTGGGGTCATGTGTGTGG | 197 |
| 下游:CGGTTCAGGTACTCAGTCATCC | ||
| β-actin | 上游:TCAGGTCATCACTATCGGCAAT | 134 |
| 下游:AAAGAAAGGGTGTAAAACGCA |
表1 引物序列
Tab.1 Primer sequences
| 基因名称 | 引物序列(5'→3') | 产物大小/bp |
|---|---|---|
| Bax | 上游:CCCGAGAGGTCTTTTTCCGAG | 152 |
| 下游:CCAGCCCATGATGGTTCTGAT | ||
| Bcl-2 | 上游:GGTGGGGTCATGTGTGTGG | 197 |
| 下游:CGGTTCAGGTACTCAGTCATCC | ||
| β-actin | 上游:TCAGGTCATCACTATCGGCAAT | 134 |
| 下游:AAAGAAAGGGTGTAAAACGCA |
| 组别 | HDL-C | 总胆固醇 | TG |
|---|---|---|---|
| 对照组 | 1.75±0.18 | 0.33±0.04 | 1.05±0.11 |
| SANFH组 | 0.58±0.06a | 1.11±0.12a | 2.65±0.26a |
| TFRD-低组 | 0.85±0.09b | 0.78±0.08b | 2.05±0.20b |
| TFRD-中组 | 1.22±0.13bc | 0.52±0.06bc | 1.42±0.14bc |
| TFRD-高组 | 1.71±0.18bcd | 0.35±0.04bcd | 1.08±0.11bcd |
| TFRD-高+抑制剂组 | 0.88±0.09e | 0.81±0.09e | 1.95±0.20e |
| F | 137.728* | 155.765* | 123.687* |
表2 各组大鼠血清中HDL-C、总胆固醇和TG水平比较 (n=10,mmol/L,$\bar{x}\pm s$)
Tab.2 Comparison of serum HDL-C, total cholesterol and TG levels between six groups of rats
| 组别 | HDL-C | 总胆固醇 | TG |
|---|---|---|---|
| 对照组 | 1.75±0.18 | 0.33±0.04 | 1.05±0.11 |
| SANFH组 | 0.58±0.06a | 1.11±0.12a | 2.65±0.26a |
| TFRD-低组 | 0.85±0.09b | 0.78±0.08b | 2.05±0.20b |
| TFRD-中组 | 1.22±0.13bc | 0.52±0.06bc | 1.42±0.14bc |
| TFRD-高组 | 1.71±0.18bcd | 0.35±0.04bcd | 1.08±0.11bcd |
| TFRD-高+抑制剂组 | 0.88±0.09e | 0.81±0.09e | 1.95±0.20e |
| F | 137.728* | 155.765* | 123.687* |
| 组别 | BV/TV/% | Tb.N/mm-1 |
|---|---|---|
| 对照组 | 45.05±4.53 | 2.64±0.28 |
| SANFH组 | 17.22±1.79a | 0.98±0.10a |
| TFRD-低组 | 25.31±2.61b | 1.35±0.14b |
| TFRD-中组 | 33.62±3.42bc | 1.86±0.19bc |
| TFRD-高组 | 44.23±4.51bcd | 2.54±0.26bcd |
| TFRD-高+抑制剂组 | 25.44±2.61e | 1.41±0.15e |
| F | 108.701* | 117.015* |
表3 各组大鼠股骨中BV/TV、Tb.N比较 (n=10,$\bar{x}\pm s$)
Tab.3 Comparison of BV/TV and Tb.N in femurs between six groups of rats
| 组别 | BV/TV/% | Tb.N/mm-1 |
|---|---|---|
| 对照组 | 45.05±4.53 | 2.64±0.28 |
| SANFH组 | 17.22±1.79a | 0.98±0.10a |
| TFRD-低组 | 25.31±2.61b | 1.35±0.14b |
| TFRD-中组 | 33.62±3.42bc | 1.86±0.19bc |
| TFRD-高组 | 44.23±4.51bcd | 2.54±0.26bcd |
| TFRD-高+抑制剂组 | 25.44±2.61e | 1.41±0.15e |
| F | 108.701* | 117.015* |
| 组别 | 空骨陷窝率/% | 凋亡率/% |
|---|---|---|
| 对照组 | 13.26±1.40 | 4.22±0.48 |
| SANFH组 | 30.34±3.11a | 30.64±3.12a |
| TFRD-低组 | 22.84±2.31b | 20.64±2.10b |
| TFRD-中组 | 16.85±1.71bc | 14.25±1.51bc |
| TFRD-高组 | 13.55±1.42bcd | 8.52±0.91bcd |
| TFRD-高+抑制剂组 | 21.94±2.22e | 19.85±2.05e |
| F | 96.336* | 247.749* |
表4 各组大鼠股骨组织空骨陷窝率、股骨细胞凋亡率比较 (n=10,$\bar{x}\pm s$)
Tab.4 Comparison of empty bone lacunae rate and apoptosis rate in femoral tissue of rats between six groups
| 组别 | 空骨陷窝率/% | 凋亡率/% |
|---|---|---|
| 对照组 | 13.26±1.40 | 4.22±0.48 |
| SANFH组 | 30.34±3.11a | 30.64±3.12a |
| TFRD-低组 | 22.84±2.31b | 20.64±2.10b |
| TFRD-中组 | 16.85±1.71bc | 14.25±1.51bc |
| TFRD-高组 | 13.55±1.42bcd | 8.52±0.91bcd |
| TFRD-高+抑制剂组 | 21.94±2.22e | 19.85±2.05e |
| F | 96.336* | 247.749* |
| 组别 | Bcl-2 | Bax |
|---|---|---|
| 对照组 | 0.92±0.10 | 1.03±0.11 |
| SANFH组 | 0.22±0.03a | 2.77±0.29a |
| TFRD-低组 | 0.44±0.05b | 2.11±0.23b |
| TFRD-中组 | 0.65±0.07bc | 1.55±0.16bc |
| TFRD-高组 | 0.89±0.09bcd | 1.08±0.12bcd |
| TFRD-高+抑制剂组 | 0.51±0.06e | 2.09±0.21e |
| F | 146.780* | 117.843* |
表5 各组Bax和Bcl-2 mRNA表达水平比较 (n=10,$\bar{x}\pm s$)
Tab.5 Comparison of Bax and Bcl-2 mRNA expression in femoral tissue between six groups of rats
| 组别 | Bcl-2 | Bax |
|---|---|---|
| 对照组 | 0.92±0.10 | 1.03±0.11 |
| SANFH组 | 0.22±0.03a | 2.77±0.29a |
| TFRD-低组 | 0.44±0.05b | 2.11±0.23b |
| TFRD-中组 | 0.65±0.07bc | 1.55±0.16bc |
| TFRD-高组 | 0.89±0.09bcd | 1.08±0.12bcd |
| TFRD-高+抑制剂组 | 0.51±0.06e | 2.09±0.21e |
| F | 146.780* | 117.843* |
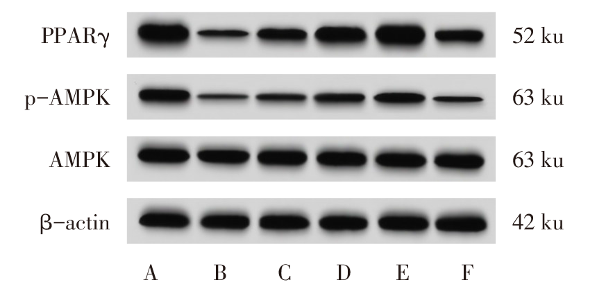
图4 Western blot检测股骨组织中PPARγ、p-AMPK/AMPK蛋白表达 A:对照组;B:SANFH组;C:TFRD-低组;D:TFRD-中组;E:TFRD-高组;F:TFRD-高+抑制剂组。
Fig.4 Expression levels of PPARγ and p-AMPK/AMPK proteins in femoral tissue detected by Western blot assay
| 组别 | p-AMPK/AMPK | PPARγ/β-actin |
|---|---|---|
| 对照组 | 0.88±0.09 | 1.51±0.16 |
| SANFH组 | 0.16±0.02a | 0.55±0.06a |
| TFRD-低组 | 0.35±0.04b | 0.78±0.09b |
| TFRD-中组 | 0.58±0.06bc | 1.02±0.11bc |
| TFRD-高组 | 0.82±0.09bcd | 1.48±0.15bcd |
| TFRD-高+抑制剂组 | 0.41±0.05e | 0.76±0.08e |
| F | 193.942* | 122.258* |
表6 各组股骨组织中PPARγ、p-AMPK/AMPK表达水平比较 (n=10,$\bar{x}\pm s$)
Tab.6 Comparison of PPARγ and p-AMPK/AMPK expression in femoral tissue between six groups of rats
| 组别 | p-AMPK/AMPK | PPARγ/β-actin |
|---|---|---|
| 对照组 | 0.88±0.09 | 1.51±0.16 |
| SANFH组 | 0.16±0.02a | 0.55±0.06a |
| TFRD-低组 | 0.35±0.04b | 0.78±0.09b |
| TFRD-中组 | 0.58±0.06bc | 1.02±0.11bc |
| TFRD-高组 | 0.82±0.09bcd | 1.48±0.15bcd |
| TFRD-高+抑制剂组 | 0.41±0.05e | 0.76±0.08e |
| F | 193.942* | 122.258* |
| [1] | 钱士达, 于雪峰. 骨髓间充质干细胞治疗激素性股骨头坏死的研究进展[J]. 天津医药, 2023, 51(5):553-556. |
| QIAN S D, YU X F. Research progress of bone marrow mesenchymal stem cell therapy for hypertrophic osteonecrosis of the femoral head[J]. Tianjin Med J, 2023, 51(5):553-556. doi:10.11958/20221802. | |
| [2] | WANG Q, YANG Z, LI Q, et al. Lithium prevents glucocorticoid-induced osteonecrosis of the femoral head by regulating autophagy[J]. J Cell Mol Med, 2024, 28(10):e18385. doi:10.1111/jcmm.18385. |
| [3] | 马万里, 杨红胜, 屈波, 等. 黄芩素预防大鼠激素性股骨头坏死的作用机制[J]. 中国组织工程研究, 2024, 28(23):3661-3668. |
| MA W L, YANG H S, QU B, et al. The mechanism of baicalin in preventing hormonal osteonecrosis of the femoral head in rats[J]. Chin J Tissu Engin Res, 2024, 28(23):3661-3668. doi:10.12307/2024.391. | |
| [4] | 侯文渊, 朱彩玉, 朱磊, 等. 骨痹通消颗粒治疗激素性股骨头坏死的分子机制[J]. 中医药临床杂志, 2023, 35(2):294-301. |
| HOU W Y, ZHU C Y, ZHU L, et al. Molecular mechanism of guibuzhongxiang granules in treating hormonal osteonecrosis of the femoral head[J]. Chin J Clin Trad Chine Med, 2023, 35(2):294-301. doi:10.16448/j.cjtcm.2023.0219. | |
| [5] | 孟东方, 李慧英, 杜晨阳. 基于OPG/RANKL/RANK信号通路探讨三补一活方治疗兔激素性股骨头坏死的机制[J]. 中医研究, 2022, 35(7):71-75. |
| MENG D F, LI H Y, DU C Y. Exploring the mechanism of san bu yi hui formula in treating hormone-induced femoral head necrosis in rabbits based on the OPG/RANKL/RANK signaling pathway[J]. Trad Chin Med Res, 2022, 35(7):71-75. doi:10.3969/j.issn.1001-6910.2022.07.18. | |
| [6] | LI W, ZHANG Z, LI Y, et al. Effects of total flavonoids of rhizoma drynariae on biochemical indicators of bone metabolism:a systematic review and meta-analysis[J]. Front Pharmacol, 2024, 15(1):1443235-1443244. doi:10.3389/fphar.2024.1443235. |
| [7] | LV W, YU M, YANG Q, et al. Total flavonoids of rhizoma drynariae ameliorate steroid-induced avascular necrosis of the femoral head via the PI3K/AKT pathway[J]. Mol Med Rep, 2021, 23(5):345-354. doi:10.3892/mmr.2021.11984. |
| [8] | 钟绍金, 韩珊颖, 何小爱, 等. 余甘子水提物对糖尿病模型大鼠脂质代谢紊乱和胰岛素抵抗的改善作用及机制研究[J]. 中国药房, 2023, 34(3):327-332. |
| ZHONG S J, HAN S Y, HE X A, et al. Study on the improvement effect and mechanism of mulberry fruit extract on lipid metabolism disorder and insulin resistance in diabetic model rats[J]. Chin Pharm J, 2023, 34(3):327-332. doi:10.6039/j.issn.1001-0408.2023.03.14. | |
| [9] | 史晓萍, 宗阿南, 陶钧, 等. 《关于善待实验动物的指导性意见》的研究[J]. 中国医科大学学报, 2007, 36(4):493. |
| SHI X P, ZONG A N, TAO J, et al. Research on the "guidelines for treating laboratory animals with respect"[J]. J Chin Med Univer, 2007, 36(4):493. doi:10.3969/j.issn.0258-4646.2007.04.051. | |
| [10] | 田心保, 马良辰, 田富宝, 等. 内热针抑制成骨细胞凋亡延缓兔激素性股骨头缺血性坏死[J]. 中国组织工程研究, 2025, 29(29):6161-6166. |
| TIAN X B, MA L C, TIAN F B, et al. Internal heat needles inhibit osteoblast apoptosis and delay ischemic necrosis of the femoral head in rabbits with steroid-induced osteonecrosis[J]. Chin J Tissu Engin Res, 2025, 29(29):6161-6166. doi:10.12307/2025.635. | |
| [11] | 李明, 李君, 付昆. 骨碎补总黄酮对膝骨关节炎模型兔HIF-1α和VEGF表达的影响[J]. 中国药房, 2018, 29(18):2484-2488. |
| LI M, LI J, FU K. Effects of total flavonoids from polygonum cuspidatum on the expression of HIF-1α and VEGF in rabbit models of knee osteoarthritis[J]. Chin Pharm J, 2018, 29(18):2484-2488. doi:10.6039/j.issn.1001-0408.2018.18.09. | |
| [12] | CHO B M, KIM W, YOO D Y, et al. Effects of adenosine monophosphate-activated kinase in the ventral horn of rabbit spinal cord after transient ischemia[J]. J Spinal Cord Med, 2015, 38(4):538-543. doi:10.1179/2045772314Y.0000000198. |
| [13] | LI W, LI W, ZHANG W, et al. Exogenous melatonin ameliorates steroid-induced osteonecrosis of the femoral head by modulating ferroptosis through GDF15-mediated signaling[J]. Stem Cell Res Ther, 2023, 14(1):171-180. doi:10.1186/s13287-023-03371-y. |
| [14] | 谢文博, 宋红梅, 林菲菲, 等. 基于Micro-CT评价温阳补肾方对兔激素性股骨头坏死模型股骨头微结构的影响[J]. 按摩与康复医学, 2024, 1(3):1-4. |
| XIE W B, SONG H M, LIN F F, et al. Evaluation of the effect of Wenyang Bu Shen Formula on the microstructure of the femoral head in a rabbit model of steroid-induced femoral head necrosis based on Micro-CT[J]. Mass Rehabilit Med, 2024, 1(3):1-4. doi:10.19787/j.issn.2097-3128.2024.03.001. | |
| [15] | 韩杰, 谢小中, 金万清, 等. 股骨头缺血性坏死保守治疗研究进展[J]. 辽宁中医药大学学报, 2022, 24(10):15-18. |
| HAN J, XIE X Z, JIN W Q, et al. Research progress on conservative treatment of avascular necrosis of the femoral head[J]. J Liaoning Univer Trad Chin Med, 2022, 24(10):15-18. doi:10.13194/j.issn.1673-842x.2022.10.004. | |
| [16] | 吴淮, 刘文刚, 许学猛, 等. 补肾活血祛痰方对兔激素性股骨头坏死脂代谢的影响[J]. 吉林医学, 2011, 32(19):3851-3853. |
| WU H, LIU W G, XU X M, et al. The effect of the formula for tonifying the kidney, activating blood circulation and eliminating phlegm on lipid metabolism in rabbits with steroid-induced femoral head necrosis[J]. Journal of Jilin Medicine, 2011, 32(19):3851-3853. doi:10.3969/j.issn.1004-0412.2011.19.004. | |
| [17] | FANG L, ZHANG G, WU Y, et al. SIRT6 prevents glucocorticoid-induced osteonecrosis of the femoral head in rats[J]. Oxid Med Cell Longev, 2022, 2022:6360133-6360142. doi:10.1155/2022/6360133. |
| [18] | LI G, LIU H, ZHANG X, et al. The protective effects of microRNA-26a in steroid-induced osteonecrosis of the femoral head by repressing EZH2[J]. Cell Cycle, 2020, 19(5):551-566. doi:10.1080/15384101.2022.2151241. |
| [19] | 闫玉珠, 于燕, 刘俊叶, 等. 酒精性和激素性股骨头坏死的外周血脂质组学分析[J]. 中南大学学报:医学版, 2022, 47(7):872-880. |
| YAN Y Z, YU Y, LIU J Y, et al. Peripheral lipidomics analysis of alcohol-induced and hormone-induced femoral head necrosis[J]. J Cent South Univer:Med Sci, 2022, 47(7):872-880. doi:10.11817/j.issn.1672-7347.2022.210567. | |
| [20] | LI X H, QIAN S D, CHEN D, et al. A new mechanism in steroid-induced osteonecrosis of the femoral head and the protective role of simvastatin[J]. Exp Cell Res, 2025, 446(1):114471-114480. doi:10.1016/j.yexcr.2025.114471. |
| [21] | ZHANG X, YANG Z, XU Q, et al. Dexamethasone induced osteocyte apoptosis in steroid-induced femoral head osteonecrosis through ROS-mediated oxidative stress[J]. Orthop Surg, 2024, 16(3):733-744. doi:10.1111/os.14010. |
| [22] | 李胜, 朱彩玉, 顾一帆, 等. 骨痹通消颗粒调控Wnt/PI3K-AKT信号通路干预兔激素性股骨头坏死[J]. 海南医学院学报, 2023, 29(7):523-529. |
| LI S, ZHU C Y, GU Y F, et al. Effects of Guibuzhongxiao granules on Wnt/PI3K-AKT signaling pathway in intervention of hormone-induced femoral head necrosis in rabbits[J]. J Hainan Med Univer, 2023, 29(7):523-529. doi:10.13210/j.cnki.jhmu.20230316.001. | |
| [23] | JIANG N, JIN H, YANG K, et al. The mechanism of metformin combined with total flavonoids of rhizoma drynariae on ovariectomy-induced osteoporotic rats[J]. Biomed Pharmacother, 2023, 165(1):115181-115190. doi:10.1016/j.biopha.2023.115181. |
| [24] | CHEN G Y, LIU X Y, YAN X E, et al. Total flavonoids of rhizoma drynariae treat osteoarthritis by inhibiting arachidonic acid metabolites through AMPK/NFκB pathway[J]. J Inflamm Res, 2023, 16(1):4123-4140. doi:10.2147/JIR.S418345. |
| [25] | YUE C, JIN H, ZHANG X, et al. Aucubin prevents steroid-induced osteoblast apoptosis by enhancing autophagy via AMPK activation[J]. J Cell Mol Med, 2021, 25(21):10175-10184. doi:10.1111/jcmm.16954. |
| [26] | LIU H, CHANG Z, LIU S, et al. MEDAG expression in vitro and paeoniflorin alleviates bone loss by regulating the MEDAG/AMPK/PPARγ signaling pathway in vivo[J]. Heliyon, 2024, 10(1):e24241. doi:10.1016/j.heliyon.2024.e24241. |
| [1] | 李林森, 冯玉梅. 卵巢切除小鼠的骨重塑特征研究[J]. 天津医药, 2025, 53(6): 566-570. |
| [2] | 郭敬肖, 杨艳君, 陈新, 葛兰兰, 刘福娟. 贝利尤单抗联合糖皮质激素治疗儿童系统性红斑狼疮的临床研究[J]. 天津医药, 2025, 53(10): 1066-1070. |
| [3] | 侯维玲, 乔云阳, 吴小芸, 施会敏, 曲高婷, 张爱青. 锌指蛋白281抑制高糖诱导的肾小管上皮细胞上皮间质转化和细胞外基质合成[J]. 天津医药, 2024, 52(7): 720-726. |
| [4] | 钟家帅, 冯玉梅. 小鼠骨髓和脂肪间充质干细胞定向分化能力的比较研究[J]. 天津医药, 2024, 52(2): 129-135. |
| [5] | 陈俊杰, 许雪梅, 李岩, 傅金英. 八珍汤合白术附子汤对多囊卵巢综合征大鼠糖代谢及雌激素水平的调节作用[J]. 天津医药, 2024, 52(2): 154-160. |
| [6] | 张振刚, 李晓娜, 王文娟, 张永田, 李斌业. 甲状腺激素和性激素对男性生育能力的影响[J]. 天津医药, 2023, 51(5): 518-521. |
| [7] | 钱士达, 于雪峰. 骨髓间充质干细胞治疗激素性股骨头坏死的研究进展[J]. 天津医药, 2023, 51(5): 553-555. |
| [8] | 谭春莲, 李晓红, 夏国栋, 张志红, 李晓明. 二甲双胍对弥漫大B细胞淋巴瘤细胞的抑制作用及机制探讨[J]. 天津医药, 2023, 51(4): 355-359. |
| [9] | 胡滨, 王大斌, 郭茂. 川穹嗪调节SIRT1/AMPK/PGC1α信号通路对偏头痛大鼠镇痛作用及神经元损伤的影响[J]. 天津医药, 2023, 51(4): 382-386. |
| [10] | 刘青, 朱军, 唐国英, 蒋萍影. 肾病综合征患儿血清ET-1、SDC-1水平及其与激素治疗反应的相关性研究[J]. 天津医药, 2023, 51(4): 413-417. |
| [11] | 孙治霞, 王丽辉, 索红亮, 陈乾. 加味桃仁承气汤对机械通气相关性肺损伤大鼠细胞自噬的影响[J]. 天津医药, 2023, 51(12): 1349-1355. |
| [12] | 王莲, 肖继椿, 田垚, 李锡晶, 王璐瑶, 王岚, 杨博涵, 张荣泉. 柿叶黄酮通过激活自噬与抗氧化应激协同作用改善NAFLD大鼠肝脏脂肪变性[J]. 天津医药, 2023, 51(11): 1211-1216. |
| [13] | 肖博文, 曹维, 刘莉静, 赵香, 王昕. 糖皮质激素联合降眼压药物治疗病理性近视合并多灶性脉络膜炎的临床疗效观察[J]. 天津医药, 2023, 51(1): 54-57. |
| [14] | 张云燕, 马刘合一, 陈敏怡, 李有强, 刘润梅, 罗冬元. 铜绿假单胞菌信号分子3-O-C12-HSL与PPARγ-LBD的结合特性研究[J]. 天津医药, 2022, 50(7): 673-677. |
| [15] | 纪沣轩, 李国鹏, 毕彤, 张维民, 贾庆运, 韦标方. 非创伤性股骨头坏死患者血清颗粒蛋白前体表达及临床意义[J]. 天津医药, 2022, 50(12): 1302-1305. |
| 阅读次数 | ||||||
|
全文 |
|
|||||
|
摘要 |
|
|||||