
天津医药 ›› 2025, Vol. 53 ›› Issue (10): 1009-1015.doi: 10.11958/20252443
• 细胞与分子生物学 • 下一篇
高辰(
), 乔云阳, 季嘉玲, 王娥, 霍影, 张爱青△(
)
收稿日期:2025-07-08
修回日期:2025-07-21
出版日期:2025-10-15
发布日期:2025-10-12
通讯作者:
△E-mail:作者简介:高辰(1989),男,硕士在读,主要从事儿科肾脏病学方面研究。E-mail:基金资助:
GAO Chen(
), QIAO Yunyang, JI Jialing, WANG E, HUO Ying, ZHANG Aiqing△(
)
Received:2025-07-08
Revised:2025-07-21
Published:2025-10-15
Online:2025-10-12
Contact:
△E-mail: 高辰, 乔云阳, 季嘉玲, 王娥, 霍影, 张爱青. 蟾蜍灵对高糖诱导的肾小管上皮细胞细胞外基质合成的影响[J]. 天津医药, 2025, 53(10): 1009-1015.
GAO Chen, QIAO Yunyang, JI Jialing, WANG E, HUO Ying, ZHANG Aiqing. The effect of bufalin on extracellular matrix synthesis in renal tubular epithelial cells induced by high glucose[J]. Tianjin Medical Journal, 2025, 53(10): 1009-1015.
摘要:
目的 探讨蟾蜍灵调控铁死亡对高糖(HG)诱导的肾小管上皮细胞(RTECs)细胞外基质合成的作用和机制。方法 体外使用HG干预RTECs,将细胞分为对照组、HG组、HG+二甲基亚砜(DMSO)组、HG+蟾蜍灵组、HG+铁抑素-1(Fer-1)组、HG+蟾蜍灵+DMSO组和HG+蟾蜍灵+铁死亡诱导剂(Erastin)组。采用蛋白免疫印迹法和实时定量PCR检测各组RTECs中纤维连接蛋白(FN)、Ⅰ型胶原蛋白(Col Ⅰ)、酰基辅酶A合成酶长链家族成员4(ACSL4)、溶质运载家族7成员11(SLC7A11)、谷胱甘肽过氧化物酶4(GPX4)的表达情况;采用SwissTargetPrediction数据库预测蟾蜍灵的作用靶点,使用Metascape分析功能并通过FerrDb进行基因集的铁死亡相关分析;采用微量法检测细胞亚铁离子(Fe2+)、丙二醛(MDA)和谷胱甘肽(GSH)水平。结果 与对照组相比,HG组FN、Col Ⅰ、ACSL4的mRNA和蛋白相对表达量均升高,GPX4和SLC7A11 mRNA及蛋白表达量降低(P<0.05);与HG+DMSO组相比,HG+蟾蜍灵组FN和Col Ⅰ、ACSL4 mRNA和蛋白表达量、Fe2+和MDA水平降低,GPX4和SLC7A11 mRNA和蛋白、GSH水平表达量升高(P<0.05),HG+Fer-1组GPX4和SLC7A11的mRNA及蛋白表达量升高,而ACSL4、FN和Col Ⅰ的mRNA和蛋白表达量降低(P<0.05);SwissTargetPrediction数据库及Metascape分析功能显示蟾蜍灵下游功能与脂质代谢、炎症反应、细胞程序性死亡及铁死亡相关通路密切相关,FerrDb分析结果显示蟾蜍灵作用靶点与铁死亡标志物密切相关;与HG+蟾蜍灵+DMSO组相比,HG+蟾蜍灵+Erastin组GPX4和SLC7A11的mRNA和蛋白表达量降低,ACSL4、FN和Col ⅠmRNA和蛋白表达量升高(P<0.05)。结论 蟾蜍灵通过抑制铁死亡减少HG诱导的RTECs细胞外基质合成。
中图分类号:
| 基因名称 | 引物序列(5′→3′) | 产物大小/bp |
|---|---|---|
| FN | 上游:ATGTGGACCCCTCCTGATAGT 下游:GCCCAGTGATTTCAGCAAAGG | 124 |
| Col Ⅰ | 上游:GCTCCTCTTAGGGGCCACT 下游:ATTGGGGACCCTTAGGCCAT | 91 |
| ACSL4 | 上游:CCTGAGGGGCTTGAAATTCAC 下游:GTTGGTCTACTTGGAGGAACG | 91 |
| SLC7A11 | 上游:GGCACCGTCATCGGATCAG 下游:CTCCACAGGCAGACCAGAAAA | 100 |
| GPX4 | 上游:TGTGCATCCCGCGATGATT 下游:CCCTGTACTTATCCAGGCAGA | 89 |
| β-actin | 上游:GTGACGTTGACATCCGTAAAGA 下游:GCCGGACTCATCGTACTCC | 245 |
表1 引物序列
Tab.1 The primer sequences for RT-qPCR
| 基因名称 | 引物序列(5′→3′) | 产物大小/bp |
|---|---|---|
| FN | 上游:ATGTGGACCCCTCCTGATAGT 下游:GCCCAGTGATTTCAGCAAAGG | 124 |
| Col Ⅰ | 上游:GCTCCTCTTAGGGGCCACT 下游:ATTGGGGACCCTTAGGCCAT | 91 |
| ACSL4 | 上游:CCTGAGGGGCTTGAAATTCAC 下游:GTTGGTCTACTTGGAGGAACG | 91 |
| SLC7A11 | 上游:GGCACCGTCATCGGATCAG 下游:CTCCACAGGCAGACCAGAAAA | 100 |
| GPX4 | 上游:TGTGCATCCCGCGATGATT 下游:CCCTGTACTTATCCAGGCAGA | 89 |
| β-actin | 上游:GTGACGTTGACATCCGTAAAGA 下游:GCCGGACTCATCGTACTCC | 245 |
| 组别 | mRNA(n=4) | 蛋白(n=3) | ||
|---|---|---|---|---|
| FN | Col Ⅰ | FN | Col Ⅰ | |
| 对照组 | 1.00±0.21 | 1.00±0.17 | 1.00±0.24 | 1.00±0.27 |
| HG组 | 1.90±0.21a | 2.09±0.15a | 2.38±0.26a | 2.45±0.07a |
| HG+DMSO组 | 1.96±0.10 | 2.04±0.21 | 2.40±0.19 | 2.47±0.12 |
| HG+蟾蜍灵组 | 1.43±0.12b | 1.48±0.26b | 1.33±0.07b | 1.32±0.20b |
| F | 28.831** | 26.530** | 38.606** | 54.033** |
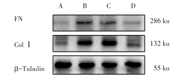
表2 各组FN和Col Ⅰ mRNA和蛋白表达水平比较 $\bar{x}±s$
Tab.2 Comparison of the mRNA and protein expression levels of FN and Col Ⅰ between the four groups
| 组别 | mRNA(n=4) | 蛋白(n=3) | ||
|---|---|---|---|---|
| FN | Col Ⅰ | FN | Col Ⅰ | |
| 对照组 | 1.00±0.21 | 1.00±0.17 | 1.00±0.24 | 1.00±0.27 |
| HG组 | 1.90±0.21a | 2.09±0.15a | 2.38±0.26a | 2.45±0.07a |
| HG+DMSO组 | 1.96±0.10 | 2.04±0.21 | 2.40±0.19 | 2.47±0.12 |
| HG+蟾蜍灵组 | 1.43±0.12b | 1.48±0.26b | 1.33±0.07b | 1.32±0.20b |
| F | 28.831** | 26.530** | 38.606** | 54.033** |
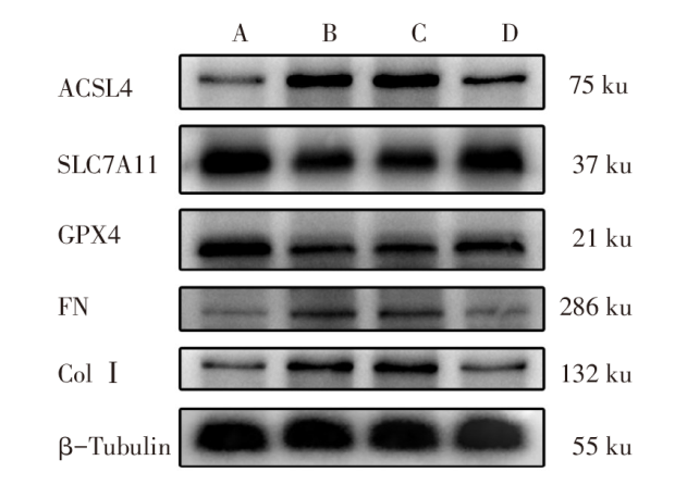
图4 各组ACSL4、SLC7A11、GPX4、FN和Col Ⅰ蛋白表达免疫印记图 A:对照组;B:HG组;C:HG+DMSO组;D:HG+Fer-1组。
Fig.4 Western blot images of ACSL4, SLC7A11, GPX4, FN and Col Ⅰ proteins in each group
| 组别 | mRNA(n=4) | ||||
|---|---|---|---|---|---|
| ACSL4 | SLC7A11 | GPX4 | FN | Col Ⅰ | |
| 对照组 | 1.00±0.25 | 1.00±0.16 | 1.00±0.13 | 1.00±0.13 | 1.00±0.27 |
| HG组 | 2.77±0.17a | 0.24±0.05a | 0.30±0.03a | 1.99±0.10a | 2.00±0.10a |
| HG+DMSO组 | 2.75±0.20 | 0.25±0.05 | 0.28±0.05 | 1.96±0.15 | 2.00±0.16 |
| HG+Fer-1组 | 1.75±0.22b | 0.86±0.11b | 0.87±0.20b | 1.32±0.11b | 1.39±0.17b |
| F | 64.764** | 59.404** | 39.187** | 61.903** | 28.774** |
| 组别 | 蛋白(n=3) | ||||
| ACSL4 | SLC7A11 | GPX4 | FN | Col Ⅰ | |
| 对照组 | 1.00±0.24 | 1.00±0.16 | 1.00±0.14 | 1.00±0.18 | 1.00±0.20 |
| HG组 | 2.32±0.08a | 0.19±0.02a | 0.23±0.02a | 2.24±0.08a | 2.06±0.15a |
| HG+DMSO组 | 2.23±0.09 | 0.20±0.05 | 0.23±0.08 | 2.19±0.19 | 2.05±0.17 |
| HG+Fer-1组 | 1.31±0.12b | 0.75±0.16b | 0.98±0.07b | 1.28±0.11b | 1.34±0.12b |
| F | 59.248** | 36.726** | 75.779** | 54.794** | 31.902** |
表3 各组ACSL4、SLC7A11、GPX4、FN、Col Ⅰ mRNA和蛋白表达水平比较 $\bar{x}±s$
Tab.3 Comparison of mRNA and protein expression levels of ACSL4, SLC7A11, GPX4, FN and Col Ⅰ between the four groups
| 组别 | mRNA(n=4) | ||||
|---|---|---|---|---|---|
| ACSL4 | SLC7A11 | GPX4 | FN | Col Ⅰ | |
| 对照组 | 1.00±0.25 | 1.00±0.16 | 1.00±0.13 | 1.00±0.13 | 1.00±0.27 |
| HG组 | 2.77±0.17a | 0.24±0.05a | 0.30±0.03a | 1.99±0.10a | 2.00±0.10a |
| HG+DMSO组 | 2.75±0.20 | 0.25±0.05 | 0.28±0.05 | 1.96±0.15 | 2.00±0.16 |
| HG+Fer-1组 | 1.75±0.22b | 0.86±0.11b | 0.87±0.20b | 1.32±0.11b | 1.39±0.17b |
| F | 64.764** | 59.404** | 39.187** | 61.903** | 28.774** |
| 组别 | 蛋白(n=3) | ||||
| ACSL4 | SLC7A11 | GPX4 | FN | Col Ⅰ | |
| 对照组 | 1.00±0.24 | 1.00±0.16 | 1.00±0.14 | 1.00±0.18 | 1.00±0.20 |
| HG组 | 2.32±0.08a | 0.19±0.02a | 0.23±0.02a | 2.24±0.08a | 2.06±0.15a |
| HG+DMSO组 | 2.23±0.09 | 0.20±0.05 | 0.23±0.08 | 2.19±0.19 | 2.05±0.17 |
| HG+Fer-1组 | 1.31±0.12b | 0.75±0.16b | 0.98±0.07b | 1.28±0.11b | 1.34±0.12b |
| F | 59.248** | 36.726** | 75.779** | 54.794** | 31.902** |
| 组别 | mRNA(n=4) | |||||
|---|---|---|---|---|---|---|
| ACSL4 | SLC7A11 | GPX4 | ||||
| 对照组 | 1.00±0.16 | 1.00±0.17 | 1.00±0.20 | |||
| HG组 | 2.69±0.12a | 0.25±0.07a | 0.26±0.09a | |||
| HG+DMSO组 | 2.82±0.28 | 0.22±0.07 | 0.25±0.10 | |||
| HG+蟾蜍灵组 | 1.55±0.12b | 0.95±0.15b | 0.96±0.18b | |||
| F | 93.737** | 46.731** | 30.760** | |||
| 组别 | 蛋白(n=3) | |||||
| ACSL4 | SLC7A11 | GPX4 | ||||
| 对照组 | 1.00±0.21 | 1.00±0.09 | 1.00±0.20 | |||
| HG组 | 2.16±0.17a | 0.22±0.03a | 0.27±0.04a | |||
| HG+DMSO组 | 2.15±0.08 | 0.21±0.04 | 0.23±0.04 | |||
| HG+蟾蜍灵组 | 1.29±0.04b | 0.64±0.08b | 0.86±0.07b | |||
| F | 52.292** | 100.954** | 39.744** | |||
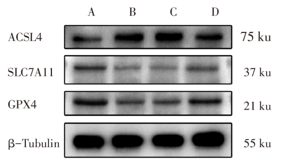
表4 各组ACSL4、SLC7A11、GPX4 mRNA和蛋白表达水平比较 $\bar{x}±s$
Tab.4 Comparison of the mRNA and protein expression levels of ACSL4, SLC7A11 and GPX4 between the four groups
| 组别 | mRNA(n=4) | |||||
|---|---|---|---|---|---|---|
| ACSL4 | SLC7A11 | GPX4 | ||||
| 对照组 | 1.00±0.16 | 1.00±0.17 | 1.00±0.20 | |||
| HG组 | 2.69±0.12a | 0.25±0.07a | 0.26±0.09a | |||
| HG+DMSO组 | 2.82±0.28 | 0.22±0.07 | 0.25±0.10 | |||
| HG+蟾蜍灵组 | 1.55±0.12b | 0.95±0.15b | 0.96±0.18b | |||
| F | 93.737** | 46.731** | 30.760** | |||
| 组别 | 蛋白(n=3) | |||||
| ACSL4 | SLC7A11 | GPX4 | ||||
| 对照组 | 1.00±0.21 | 1.00±0.09 | 1.00±0.20 | |||
| HG组 | 2.16±0.17a | 0.22±0.03a | 0.27±0.04a | |||
| HG+DMSO组 | 2.15±0.08 | 0.21±0.04 | 0.23±0.04 | |||
| HG+蟾蜍灵组 | 1.29±0.04b | 0.64±0.08b | 0.86±0.07b | |||
| F | 52.292** | 100.954** | 39.744** | |||
| 组别 | Fe2+ | MDA | GSH |
|---|---|---|---|
| 对照组 | 1.00±0.08 | 1.00±0.18 | 1.00±0.19 |
| HG组 | 2.26±0.10a | 3.06±0.25a | 0.39±0.11a |
| HG+DMSO组 | 2.33±0.11 | 3.11±0.09 | 0.41±0.11 |
| HG+蟾蜍灵组 | 1.62±0.08b | 1.93±0.22b | 0.97±0.19b |
| F | 170.965** | 107.864** | 18.859** |
表5 各组Fe2+、MDA和GSH表达水平比较 (n=4,$\bar{x}±s$)
Tab.5 Comparison of Fe2+, MDA and GSH expression levels between the four groups
| 组别 | Fe2+ | MDA | GSH |
|---|---|---|---|
| 对照组 | 1.00±0.08 | 1.00±0.18 | 1.00±0.19 |
| HG组 | 2.26±0.10a | 3.06±0.25a | 0.39±0.11a |
| HG+DMSO组 | 2.33±0.11 | 3.11±0.09 | 0.41±0.11 |
| HG+蟾蜍灵组 | 1.62±0.08b | 1.93±0.22b | 0.97±0.19b |
| F | 170.965** | 107.864** | 18.859** |
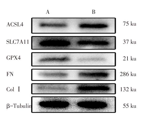
图6 2组ACSL4、SLC7A11、GPX4、FN、Col Ⅰ蛋白免疫印记图 A:HG+蟾蜍灵+DMSO组;B:HG+蟾蜍灵+Erastin组。
Fig.6 Western blot images of ACSL4, SLC7A11, GPX4, FN and Col Ⅰ proteins in two groups
| 组别 | mRNA(n=4) | |||||||||
|---|---|---|---|---|---|---|---|---|---|---|
| ACSL4 | SLC7A11 | GPX4 | FN | Col Ⅰ | ||||||
| HG+蟾蜍灵+ DMSO组 | 1.00±0.31 | 1.00±0.23 | 1.00±0.27 | 1.00±0.28 | 1.00±0.24 | |||||
| HG+蟾蜍灵+ Erastin组 | 3.02±0.32 | 0.23±0.07 | 0.22±0.09 | 3.04±0.25 | 2.56±0.31 | |||||
| t | 8.977** | 6.369** | 5.493** | 10.940** | 7.941** | |||||
| 组别 | 蛋白(n=3) | |||||||||
| ACSL4 | SLC7A11 | GPX4 | FN | Col Ⅰ | ||||||
| HG+蟾蜍灵+ DMSO组 | 1.00±0.19 | 1.00±0.22 | 1.00±0.21 | 1.00±0.15 | 1.00±0.25 | |||||
| HG+蟾蜍灵+ Erastin组 | 2.22±0.20 | 0.23±0.08 | 0.23±0.06 | 2.26±0.29 | 2.30±0.44 | |||||
| t | 7.578** | 5.782** | 6.097** | 6.780** | 4.466* | |||||
表6 2组ACSL4、SLC7A11、GPX4、FN、Col Ⅰ mRNA和蛋白表达水平比较 $\bar{x}±s$
Tab.6 Comparison of mRNA and protein expression levels of ACSL4, SLC7A11, GPX4, FN and Col Ⅰ between the two groups
| 组别 | mRNA(n=4) | |||||||||
|---|---|---|---|---|---|---|---|---|---|---|
| ACSL4 | SLC7A11 | GPX4 | FN | Col Ⅰ | ||||||
| HG+蟾蜍灵+ DMSO组 | 1.00±0.31 | 1.00±0.23 | 1.00±0.27 | 1.00±0.28 | 1.00±0.24 | |||||
| HG+蟾蜍灵+ Erastin组 | 3.02±0.32 | 0.23±0.07 | 0.22±0.09 | 3.04±0.25 | 2.56±0.31 | |||||
| t | 8.977** | 6.369** | 5.493** | 10.940** | 7.941** | |||||
| 组别 | 蛋白(n=3) | |||||||||
| ACSL4 | SLC7A11 | GPX4 | FN | Col Ⅰ | ||||||
| HG+蟾蜍灵+ DMSO组 | 1.00±0.19 | 1.00±0.22 | 1.00±0.21 | 1.00±0.15 | 1.00±0.25 | |||||
| HG+蟾蜍灵+ Erastin组 | 2.22±0.20 | 0.23±0.08 | 0.23±0.06 | 2.26±0.29 | 2.30±0.44 | |||||
| t | 7.578** | 5.782** | 6.097** | 6.780** | 4.466* | |||||
| [1] | THURLOW J S, JOSHI M, YAN G, et al. Global epidemiology of end-stage kidney disease and disparities in kidney replacement therapy[J]. Am J Nephrol, 2021, 52(2):98-107. doi:10.1159/000514550. |
| [2] | HUMPHREYS B D. Mechanisms of renal fibrosis[J]. Annu Rev Physiol, 2018, 80:309-326. doi:10.1146/annurev-physiol-022516-034227. |
| [3] | BARRERA-CHIMAL J, LIMA-POSADA I, BAKRIS G L, et al. Mineralocorticoid receptor antagonists in diabetic kidney disease - mechanistic and therapeutic effects[J]. Nat Rev Nephrol, 2022, 18(1):56-70. doi:10.1038/s41581-021-00490-8. |
| [4] | YU Z, LI Y, LI Y, et al. Bufalin stimulates antitumor immune response by driving tumor-infiltrating macrophage toward M1 phenotype in hepatocellular carcinoma[J]. J Immunother Cancer, 2022, 10(5):e004297. doi:10.1136/jitc-2021-004297. |
| [5] | SOUMOY L, GHANEM G E, SAUSSEZ S, et al. Bufalin for an innovative therapeutic approach against cancer[J]. Pharmacol Res, 2022, 184:106442. doi:10.1016/j.phrs.2022.106442. |
| [6] | WANG B, ZHANG A, ZHENG J, et al. Bufalin inhibits platelet-derived growth factor-BB-induced mesangial cell proliferation through mediating cell cycle progression[J]. Biol Pharm Bull, 2011, 34(7):967-973. doi:10.1248/bpb.34.967. |
| [7] | 郑君, 龚晶, 张爱青, 等. 蟾蜍灵对阿霉素肾病大鼠蛋白尿的影响及机制研究[J]. 南京医科大学学报(自然科学版), 2011, 31(11):1605-1609. |
| ZHENG J, GONG J, ZHANG A Q, et al. Effect of bufalin against proteinuria of adriamycin-induced nephritic rats and its underlying mechanisms[J]. ACTA UNIVERSITATIS MEDICINALIS NANJING(Natural Science), 2011, 31(11):1605-1609. | |
| [8] | DING L, YIN J, XU X, et al. Bufalin alleviates acute kidney injury by regulating NLRP3 inflammasome-mediated pyroptosis[J]. Apoptosis, 2023, 28(3/4):539-548. doi:10.1007/s10495-023-01815-7. |
| [9] | DAINA A, ZOETE V. Testing the predictive power of reverse screening to infer drug targets,with the help of machine learning[J]. Commun Chem, 2024, 7(1):105. doi:10.1038/s42004-024-01179-2. |
| [10] | ZHOU N, YUAN X, DU Q, et al. FerrDb V2:update of the manually curated database of ferroptosis regulators and ferroptosis-disease associations[J]. Nucleic Acids Res, 2023, 51(D1):D571-D582. doi:10.1093/nar/gkac935. |
| [11] | KOVESDY C P. Epidemiology of chronic kidney disease: an update 2022[J]. Kidney Int Suppl(2011), 2022, 12(1):7-11. doi:10.1016/j.kisu.2021.11.003. |
| [12] | LIU Y. Cellular and molecular mechanisms of renal fibrosis[J]. Nat Rev Nephrol, 2011, 7(12):684-696. doi:10.1038/nrneph.2011.149. |
| [13] | YANG J, GOURLEY G R, GILBERTSEN A, et al. High glucose levels promote switch to synthetic vascular smooth muscle cells via lactate/GPR81[J]. Cells, 2024, 13(3):236. doi:10.3390/cells13030236. |
| [14] | ZHENG J, GONG J, ZHANG A, et al. Attenuation of glomerular filtration barrier damage in adriamycin-induced nephropathic rats with bufalin: an antiproteinuric agent[J]. J Steroid Biochem Mol Biol, 2012, 129(3/5):107-114. doi:10.1016/j.jsbmb.2011.12.008. |
| [15] | WU S H, BAU D T, HSIAO Y T, et al. Bufalin induces apoptosis in vitro and has Antitumor activity against human lung cancer xenografts in vivo[J]. Environ Toxicol, 2017, 32(4):1305-1317. doi:10.1002/tox.22325. |
| [16] | NIU X, SUN W, TANG X, et al. Bufalin alleviates inflammatory response and oxidative stress in experimental severe acute pancreatitis through activating Keap1-Nrf2/HO-1 and inhibiting NF-κB pathways[J]. Int Immunopharmacol, 2024, 142(Pt A):113113. doi:10.1016/j.intimp.2024.113113. |
| [17] | DIXON S J, LEMBERG K M, LAMPRECHT M R, et al. Ferroptosis: an iron-dependent form of nonapoptotic cell death[J]. Cell, 2012, 149(5):1060-1072. doi:10.1016/j.cell.2012.03.042. |
| [18] | URSINI F, MAIORINO M. Lipid peroxidation and ferroptosis:The role of GSH and GPx4[J]. Free Radic Biol Med, 2020, 152:175-185. doi:10.1016/j.freeradbiomed.2020.02.027. |
| [19] | DOLL S, PRONETH B, TYURINA Y Y, et al. ACSL4 dictates ferroptosis sensitivity by shaping cellular lipid composition[J]. Nat Chem Biol, 2017, 13(1):91-98. doi:10.1038/nchembio.2239. |
| [20] | GAN B. ACSL4,PUFA,and ferroptosis: new arsenal in anti-tumor immunity[J]. Signal Transduct Target Ther, 2022, 7(1):128. doi:10.1038/s41392-022-01004-z. |
| [21] | MIOTTO G, ROSSETTO M, DI PAOLO M L, et al. Insight into the mechanism of ferroptosis inhibition by ferrostatin-1[J]. Redox Biol, 2020, 28:101328. doi:10.1016/j.redox.2019.101328. |
| [22] | SCARPELLINI C, KLEJBOROWSKA G, LANTHIER C, et al. Beyond ferrostatin-1:a comprehensive review of ferroptosis inhibitors[J]. Trends Pharmacol Sci, 2023, 44(12):902-916. doi:10.1016/j.tips.2023.08.012. |
| [23] | 熊喜成, 王一平, 王刚, 等. Ferrostatin-1通过抑制铁死亡延缓D-gal诱导的心肌细胞衰老的研究[J]. 天津医药, 2023, 51(1):19-23. |
| XIONG X C, WANG Y P, WANG G, et al. Ferrostatin-1 delay D-gal induced cardiomyocyte senescence by inhibiting ferroptosis[J]. Tianjin Med J, 2023, 51(1):19-23. doi:10.11958/20220818. | |
| [24] | ZHAO X Y, LI S S, HE Y X, et al. SGLT2 inhibitors alleviated podocyte damage in lupus nephritis by decreasing inflammation and enhancing autophagy[J]. Ann Rheum Dis, 2023, 82(10):1328-1340. doi:10.1136/ard-2023-224242. |
| [1] | 孔翠文, 路延双, 孙丽萍, 于芬芬. LncRNA SNHG14靶向miR-30a-5p对高糖诱导的足细胞损伤的影响[J]. 天津医药, 2025, 53(9): 903-909. |
| [2] | 刘丽, 侯健, 张巧玲, 杨宏秀, 袁宝军. C1q、MBL、C5a与2型糖尿病肾脏病进程及肾小管损伤的相关性[J]. 天津医药, 2025, 53(6): 603-609. |
| [3] | 苏红见, 张春艳, 张卫东, 韩利, 乔亚红. 鸢尾素调控EBF3/ALOX15通路影响肺腺癌细胞增殖和迁移[J]. 天津医药, 2025, 53(4): 337-342. |
| [4] | 朱菊花, 陈康, 金叶. 六味地黄丸含药血清对高糖诱导的滋养层细胞Wnt/β-catenin通路及迁移、侵袭的影响[J]. 天津医药, 2025, 53(10): 1016-1020. |
| [5] | 李波, 林红, 黄兰英, 李玲钰. HMOX1和MAPK14与脓毒症急性肺损伤患儿发病和预后的关系[J]. 天津医药, 2025, 53(10): 1052-1056. |
| [6] | 吴斌, 刘兆祥, 张月红, 王昌耀. 过度机械应力调控Piezo1介导成软骨细胞铁死亡的机制探讨[J]. 天津医药, 2025, 53(1): 14-18. |
| [7] | 张训功, 杨光辉, 杜增利, 薛培, 马梓昆. 铁死亡与老年骨折患者术后认知功能障碍的相关性[J]. 天津医药, 2025, 53(1): 47-51. |
| [8] | 张春虹, 黄洪超, 刘越, 杜立龙, 许海委, 黎宁, 李勇进. 基于RNA测序和生物信息学分析鉴定椎旁肌退变中关键的铁死亡基因[J]. 天津医药, 2024, 52(9): 991-995. |
| [9] | 刘斌, 杨龙, 李文莉, 邵宁宁, 董津睿. 小胶质细胞铁死亡在烟雾吸入性脑损伤中的作用机制探讨[J]. 天津医药, 2024, 52(8): 791-797. |
| [10] | 王欣爽, 安亚娟, 管秀菊, 李娇, 刘玥, 魏丽萍, 齐新. 异甘草酸镁改善顺铂诱导的大鼠心肌损伤[J]. 天津医药, 2024, 52(8): 809-814. |
| [11] | 侯维玲, 乔云阳, 吴小芸, 施会敏, 曲高婷, 张爱青. 锌指蛋白281抑制高糖诱导的肾小管上皮细胞上皮间质转化和细胞外基质合成[J]. 天津医药, 2024, 52(7): 720-726. |
| [12] | 夏雨薇, 乔云阳, 刘雪薇, 施会敏, 曲高婷, 张爱青, 甘卫华. tRF-1:30对高糖诱导的肾小管上皮细胞炎性因子表达的影响[J]. 天津医药, 2024, 52(6): 561-566. |
| [13] | 于志鸿, 王小琴. 欧前胡素衍生物对COPD肺泡Ⅱ型细胞活性及耐药蛋白的影响[J]. 天津医药, 2024, 52(11): 1127-1130. |
| [14] | 黄晓蕾, 葛婷婷, 赵俊松, 倪志华. 人参皂苷Rg1在IL-6诱导的大鼠神经元铁死亡中的作用[J]. 天津医药, 2024, 52(11): 1137-1140. |
| [15] | 龙华, 陈怡霏, 王庆书. 瑞马唑仑调节TLR4/MyD88/NF-κB信号通路对烧伤大鼠肠上皮细胞凋亡的影响[J]. 天津医药, 2024, 52(11): 1152-1157. |
| 阅读次数 | ||||||
|
全文 |
|
|||||
|
摘要 |
|
|||||