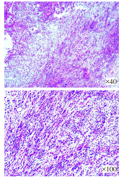
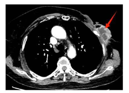
| [1] |
MAJEED F A, ALI A, CHATHA S S, et al. Management of malignant chest wall tumors[J]. J Coll Physicians Surg Pak, 2021, 31(7):833-836. doi:10.29271/jcpsp.2021.07.833.
|
| [2] |
KAISER L R. Is there an 'ideal' material for chest wall reconstruction?[J]. Eur J Cardiothorac Surg, 2023, 64(6):ezad397. doi:10.1093/ejcts/ezad397.
|
| [3] |
江浩, 吴冠文, 黄威, 等. 胸壁肿瘤手术治疗进展[J]. 中华胸心血管外科杂志, 2024, 40(7):438-446.
|
|
JIANG H, WU G W, HUANG W, et al. Progress in surgical treatment of thoracic wall tumors[J]. Chin J Thorac Cardiovasc Surg, 2024, 40(7):438-446. doi:10.3760/cma.j.cn112434-20240201-00033.
|
| [4] |
CAPOSOLE M Z, ARUCA-BUSTILLO V, MITCHELL M, et al. Benign metachronous bilateral ovarian and mediastinal teratomas with an elevated alpha-fetoprotein[J]. Ann Thorac Surg, 2015, 99(3):1073-1075. doi:10.1016/j.athoracsur.2014.05.054.
|
| [5] |
中国医师协会胸外科医师分会. 胸壁肿瘤切除及胸壁重建手术中国专家共识(2018版)[J]. 中国胸心血管外科临床杂志, 2019, 26(1):1-7.
|
|
Chinese Society of Thoracic Surgeons. Chinese Medical Doctor Association. Chinese Expert Consensus on Thoracic Wall Tumor Resection and Thoracic Wall Reconstruction Surgery (2018 Edition)[J]. Chinese Journal of Clinical Thoracic and Cardiovascular Surgery, 2019, 26(1):1-7. doi:10.7507/1007-4848.201809058.
|
| [6] |
中国医师协会胸外科医师分会纵隔及胸壁学组, 中国研究型医院学会胸外科学专业委员会, 中国医疗保健国际交流促进会肺癌防治分会, 等. 2022纵隔及胸壁肿瘤围手术期及全程化综合诊治中国专家共识[J]. 中国胸心血管外科临床杂志, 2023, 30(3):325-332.
|
|
The Thoracic Surgery Physicians' Branch of the Chinese Medical Association, the Thoracic Surgery Professional Committee of the Chinese Research Hospital Association, the Lung Cancer Prevention and Control Branch of the China International Association for Medical and Health Care Exchange. et al. Chinese expert consensus on perioperative and comprehensive diagnosis and treatment of mediastinal and chest wall tumors in 2022[J]. Chinese Journal of Clinical Thoracic and Cardiovascular Surgery, 2023, 30(3):325-332. doi:10.7507/1007-4848.202212063.
|
| [7] |
CIPRIANO A, BURFEIND W. Management of primary soft tissue tumors of the chest wall[J]. Thorac Surg Clin, 2017, 27(2):139-147. doi:10.1016/j.thorsurg.2017.01.007.
|
| [8] |
WANG L, YAN X, ZHAO J, et al. Expert consensus on resection of chest wall tumors and chest wall reconstruction[J]. Transl Lung Cancer Res, 2021, 10(11):4057-4083. doi:10.21037/tlcr-21-935.
|
| [9] |
XIE H, LI B, SUN Y, et al. Impact of pleural reconstruction on postoperative outcomes in rib tumor resection:a decade-long retrospective study[J]. Front Surg, 2024, 11:1473791. doi:10.3389/fsurg.2024.1473791.
|
| [10] |
FERNÁNDEZ-TRUJILLO L, SANGIOVANNI S, MORALES E I, et al. Sternal cavernous hemangioma and reconstruction of the anterior chest wall:a case report[J]. BMC Surg, 2020, 20(1):288. doi:10.1186/s12893-020-00961-y.
|
| [11] |
KHULLAR O V, FERNANDEZ F G. Prosthetic reconstruction of the chest wall[J]. Thorac Surg Clin, 2017, 27(2):201-208. doi:10.1016/j.thorsurg.2017.01.014.
|
| [12] |
ZHAO Z Q, ZHU X Q, ZHU M R, et al. Chest wall reconstruction of male:Latissimus dorsi Kiss flap,rectus abdominis flap and Titanium-mesh[J]. Asian J Surg, 2022, 45(7):1443-1444. doi:10.1016/j.asjsur.2022.02.041.
|
| [13] |
PONTIKI A A, NATARAJAN S, PARKER F, et al. Chest wall reconstruction using 3-dimensional printing:functional and mechanical results[J]. Ann Thorac Surg, 2022, 114(3):979-988. doi:10.1016/j.athoracsur.2021.07.103.
|
| [14] |
JACOB S, POOLEY R A, THOMAS M. Three-dimensional-printed model as a template for chest wall reconstruction[J]. Heart Lung Circ, 2020, 29(10):1566-1570. doi:10.1016/j.hlc.2020.02.004.
|