
天津医药 ›› 2026, Vol. 54 ›› Issue (1): 14-22.doi: 10.11958/20252534
收稿日期:2025-07-22
修回日期:2025-09-21
出版日期:2026-01-15
发布日期:2026-01-19
通讯作者:
△ E-mail:作者简介:刘魁智(1991),男,主治医师,主要从事心血管疾病方面研究。E-mail:基金资助:
LIU Kuizhi(
), XUAN Xuexi, ZHOU Peng, YUAN Xiaowei, ZHU Ziqiang△(
)
Received:2025-07-22
Revised:2025-09-21
Published:2026-01-15
Online:2026-01-19
Contact:
△ E-mail:刘魁智, 宣学习, 周芃, 袁孝伟, 朱自强. 炙甘草汤调控miR-26b-5p/SMAD4通路对心房颤动大鼠模型心房重构的影响[J]. 天津医药, 2026, 54(1): 14-22.
LIU Kuizhi, XUAN Xuexi, ZHOU Peng, YUAN Xiaowei, ZHU Ziqiang. Effects of Zhigancao Decoction on atrial remodeling in atrial fibrillation rat model via modulating the miR-26b-5p/SMAD4 pathway[J]. Tianjin Medical Journal, 2026, 54(1): 14-22.
摘要:
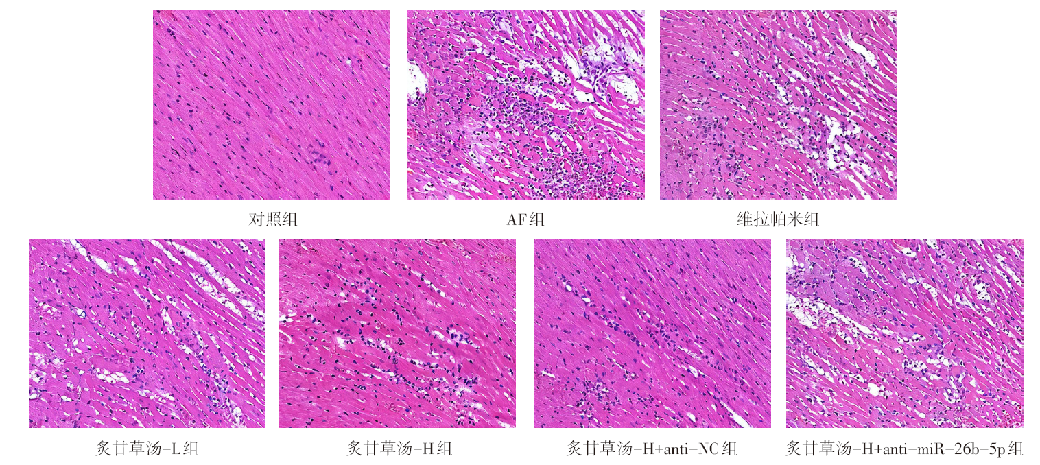
目的 探讨炙甘草汤对心房颤动(AF)大鼠模型心房重构及微小RNA(miR)-26b-5p/母亲DPP同源物(SMAD)4通路的影响。方法 构建AF大鼠模型,将造模成功的大鼠随机分为AF组、维拉帕米组、炙甘草汤低剂量(炙甘草汤-L)组、炙甘草汤高剂量(炙甘草汤-H)组、炙甘草汤-H+anti-NC组、炙甘草汤-H+miR-26b-5p抑制剂(anti-miR-26b-5p)组,每组18只;另取18只健康大鼠作为对照组。检测各组大鼠心功能、体外AF诱发率;苏木精-伊红(HE)染色及Masson染色观察心房组织病理变化;原位末端标记(TUNEL)染色检测心房组织心肌细胞凋亡情况;免疫组化检测心房组织Ⅰ型胶原(Col Ⅰ)、α-平滑肌肌动蛋白(α-SMA)表达;qRT-PCR检测miR-26b-5p相对表达水平;Western blot检测SMAD4、BCL-2相关X蛋白(BAX)、活化的胱天蛋白酶-3(C-caspase3)的表达;双萤光素酶实验验证miR-26b-5p与SMAD4的靶向关系。结果 与对照组相比,AF组心房组织出现严重病理损伤,心肌细胞结构异常、肿胀稀疏排列紊乱、蓝色胶原沉积明显;左室收缩末期内径(LVESD)、左室舒张末期内径(LVEDD)升高,左室射血分数(LVEF)、左室缩短分数(LVFS)降低;AF诱发率、胶原面积百分数、细胞凋亡率增加;BAX、C-caspase3、 ColⅠ、α-SMA、SMAD4蛋白表达水平升高,miR-26b-5p水平降低(P<0.05)。与AF组相比,维拉帕米组、炙甘草汤-L组、炙甘草汤-H组治疗可逆转上述指标的变化趋势,减轻心房组织病理损伤,减少蓝色胶原沉积。炙甘草汤-H+anti-miR-26b-5p组可逆转炙甘草汤-H对AF大鼠模型心房重构的改善作用。Starbase网站及双萤光素酶基因报告结果显示,miR-26b-5p与SMAD4之间存在靶向关系。结论 炙甘草汤可能通过上调miR-26b-5p进而抑制SMAD4表达,改善AF大鼠心房重构。
中图分类号:
| 基因名称 | 引物序列(5′→3′) | 产物大小/bp |
|---|---|---|
| miR-26b-5p | 上游:GCGCGTTCAAGTAATTCAGG | 116 |
| 下游:AGTGCAGGGTCCGAGGTATT | ||
| U6 | 上游:CTCGCTTCGGCAGCACA | 98 |
| 下游:AACGCTTCACGAATTTGCGT |
表1 引物序列
Tab.1 Primer sequence
| 基因名称 | 引物序列(5′→3′) | 产物大小/bp |
|---|---|---|
| miR-26b-5p | 上游:GCGCGTTCAAGTAATTCAGG | 116 |
| 下游:AGTGCAGGGTCCGAGGTATT | ||
| U6 | 上游:CTCGCTTCGGCAGCACA | 98 |
| 下游:AACGCTTCACGAATTTGCGT |
| 组别 | LVEF | LVESD/mm | ||
|---|---|---|---|---|
| 对照组 | 0.725±0.075 | 3.11±0.32 | ||
| AF组 | 0.481±0.049a | 7.38±0.75a | ||
| 维拉帕米组 | 0.683±0.070b | 4.11±0.44b | ||
| 炙甘草汤-L组 | 0.574±0.058b | 5.76±0.59b | ||
| 炙甘草汤-H组 | 0.705±0.071bc | 3.75±0.38bc | ||
| 炙甘草汤-H+anti-NC组 | 0.698±0.071 | 3.84±0.40 | ||
| 炙甘草汤-H+anti-miR-26b-5p组 | 0.582±0.059d | 5.61±0.58d | ||
| F | 34.884* | 154.484* | ||
| 组别 | LVEDD/mm | LVFS | ||
| 对照组 | 6.18±0.63 | 0.497±0.051 | ||
| AF组 | 9.94±1.05a | 0.258±0.028a | ||
| 维拉帕米组 | 6.54±0.68b | 0.372±0.040b | ||
| 炙甘草汤-L组 | 8.36±0.87b | 0.310±0.032b | ||
| 炙甘草汤-H组 | 6.37±0.65bc | 0.411±0.043bc | ||
| 炙甘草汤-H+anti-NC组 | 6.41±0.66 | 0.401±0.041 | ||
| 炙甘草汤-H+anti-miR-26b-5p组 | 8.19±0.84d | 0.315±0.033d | ||
| F | 60.126* | 74.737* | ||
表2 各组大鼠心功能比较
Tab.2 Comparison of cardiac function between different groups of rats (n=18,$\bar{x}±s$)
| 组别 | LVEF | LVESD/mm | ||
|---|---|---|---|---|
| 对照组 | 0.725±0.075 | 3.11±0.32 | ||
| AF组 | 0.481±0.049a | 7.38±0.75a | ||
| 维拉帕米组 | 0.683±0.070b | 4.11±0.44b | ||
| 炙甘草汤-L组 | 0.574±0.058b | 5.76±0.59b | ||
| 炙甘草汤-H组 | 0.705±0.071bc | 3.75±0.38bc | ||
| 炙甘草汤-H+anti-NC组 | 0.698±0.071 | 3.84±0.40 | ||
| 炙甘草汤-H+anti-miR-26b-5p组 | 0.582±0.059d | 5.61±0.58d | ||
| F | 34.884* | 154.484* | ||
| 组别 | LVEDD/mm | LVFS | ||
| 对照组 | 6.18±0.63 | 0.497±0.051 | ||
| AF组 | 9.94±1.05a | 0.258±0.028a | ||
| 维拉帕米组 | 6.54±0.68b | 0.372±0.040b | ||
| 炙甘草汤-L组 | 8.36±0.87b | 0.310±0.032b | ||
| 炙甘草汤-H组 | 6.37±0.65bc | 0.411±0.043bc | ||
| 炙甘草汤-H+anti-NC组 | 6.41±0.66 | 0.401±0.041 | ||
| 炙甘草汤-H+anti-miR-26b-5p组 | 8.19±0.84d | 0.315±0.033d | ||
| F | 60.126* | 74.737* | ||
| 组别 | AF诱发率/% | 胶原面积百分数/% |
|---|---|---|
| 对照组 | 24.00±2.06 | 0.64±0.08 |
| AF组 | 36.59±2.81a | 5.11±0.54a |
| 维拉帕米组 | 28.16±1.95b | 1.23±0.15b |
| 炙甘草汤-L组 | 32.25±2.47b | 2.76±0.31b |
| 炙甘草汤-H组 | 25.34±1.72bc | 0.87±0.11bc |
| 炙甘草汤-H+anti-NC组 | 26.05±1.79 | 0.92±0.12 |
| 炙甘草汤-H+anti-miR-26b-5p组 | 31.92±2.28d | 2.65±0.29d |
| F | 26.039* | 206.513* |
表3 各组大鼠AF诱发率和胶原面积百分数比较
Tab.3 Comparison of AF induction rate and collagen area percentage between different groups of rats (n=6,$\bar{x}±s$)
| 组别 | AF诱发率/% | 胶原面积百分数/% |
|---|---|---|
| 对照组 | 24.00±2.06 | 0.64±0.08 |
| AF组 | 36.59±2.81a | 5.11±0.54a |
| 维拉帕米组 | 28.16±1.95b | 1.23±0.15b |
| 炙甘草汤-L组 | 32.25±2.47b | 2.76±0.31b |
| 炙甘草汤-H组 | 25.34±1.72bc | 0.87±0.11bc |
| 炙甘草汤-H+anti-NC组 | 26.05±1.79 | 0.92±0.12 |
| 炙甘草汤-H+anti-miR-26b-5p组 | 31.92±2.28d | 2.65±0.29d |
| F | 26.039* | 206.513* |
图3 TUNEL染色观察各组心房组织心肌细胞凋亡情况(×200) A—G分别为对照组、AF组、维拉帕米组、炙甘草汤-L组、炙甘草汤-H组、炙甘草汤-H+anti-NC组、炙甘草汤-H+anti-miR-26b-5p组。
Fig.3 Apoptosis of cardiomyocytes in atrial tissue observed by TUNEL staining (×200)
图4 Western blot检测心房组织中BAX、C-caspase3蛋白的表达 1:对照组;2:AF组;3:维拉帕米组;4:炙甘草汤-L组;5:炙甘草汤-H组;6:炙甘草汤-H+anti-NC组;7:炙甘草汤-H+anti-miR-26b-5p组。
Fig.4 Detection of BAX and C-caspase3 expression by Western blot assay
| 组别 | 细胞凋亡率/% | BAX/β-actin | C-caspase3/β-actin |
|---|---|---|---|
| 对照组 | 3.11±0.37 | 0.33±0.04 | 0.28±0.04 |
| AF组 | 29.84±3.15a | 0.89±0.10a | 0.83±0.09a |
| 维拉帕米组 | 10.17±1.21b | 0.42±0.05b | 0.35±0.05b |
| 炙甘草汤-L组 | 20.49±2.24b | 0.69±0.08b | 0.63±0.07b |
| 炙甘草汤-H组 | 7.65±0.83bc | 0.37±0.05bc | 0.31±0.04bc |
| 炙甘草汤-H+anti-NC组 | 8.33±0.89 | 0.39±0.05 | 0.32±0.04 |
| 炙甘草汤-H+ anti-miR-26b-5p组 | 16.21±1.75d | 0.65±0.08d | 0.59±0.07d |
| F | 166.978* | 58.539* | 74.484* |
表4 各组大鼠心房组织心肌细胞凋亡情况比较
Tab.4 Comparison of cardiomyocyte apoptosis in atrial tissue between different groups of rats (n=6,$\bar{x}±s$)
| 组别 | 细胞凋亡率/% | BAX/β-actin | C-caspase3/β-actin |
|---|---|---|---|
| 对照组 | 3.11±0.37 | 0.33±0.04 | 0.28±0.04 |
| AF组 | 29.84±3.15a | 0.89±0.10a | 0.83±0.09a |
| 维拉帕米组 | 10.17±1.21b | 0.42±0.05b | 0.35±0.05b |
| 炙甘草汤-L组 | 20.49±2.24b | 0.69±0.08b | 0.63±0.07b |
| 炙甘草汤-H组 | 7.65±0.83bc | 0.37±0.05bc | 0.31±0.04bc |
| 炙甘草汤-H+anti-NC组 | 8.33±0.89 | 0.39±0.05 | 0.32±0.04 |
| 炙甘草汤-H+ anti-miR-26b-5p组 | 16.21±1.75d | 0.65±0.08d | 0.59±0.07d |
| F | 166.978* | 58.539* | 74.484* |
| 组别 | ColⅠ | α-SMA |
|---|---|---|
| 对照组 | 0.25±0.04 | 0.20±0.03 |
| AF组 | 0.83±0.09a | 0.76±0.09a |
| 维拉帕米组 | 0.31±0.04b | 0.26±0.04b |
| 炙甘草汤-L组 | 0.64±0.07b | 0.57±0.07b |
| 炙甘草汤-H组 | 0.28±0.04bc | 0.23±0.03bc |
| 炙甘草汤-H+anti-NC组 | 0.30±0.04 | 0.24±0.03 |
| 炙甘草汤-H+anti-miR-26b-5p组 | 0.59±0.07d | 0.52±0.06d |
| F | 89.514* | 96.105* |
表5 各组大鼠心房组织ColⅠ、α-SMA蛋白表达水平比较
Tab.5 Comparison of mean optical density values of ColⅠand α-SMA in atrial tissue between different groups of rats (n=6,$\bar{x}±s$)
| 组别 | ColⅠ | α-SMA |
|---|---|---|
| 对照组 | 0.25±0.04 | 0.20±0.03 |
| AF组 | 0.83±0.09a | 0.76±0.09a |
| 维拉帕米组 | 0.31±0.04b | 0.26±0.04b |
| 炙甘草汤-L组 | 0.64±0.07b | 0.57±0.07b |
| 炙甘草汤-H组 | 0.28±0.04bc | 0.23±0.03bc |
| 炙甘草汤-H+anti-NC组 | 0.30±0.04 | 0.24±0.03 |
| 炙甘草汤-H+anti-miR-26b-5p组 | 0.59±0.07d | 0.52±0.06d |
| F | 89.514* | 96.105* |
图5 免疫组化检测各组心房组织ColⅠ、α-SMA蛋白的表达(×200) A—G分别为对照组、AF组、维拉帕米组、炙甘草汤-L组、炙甘草汤-H组、炙甘草汤-H+anti-NC组、炙甘草汤-H+anti-miR-26b-5p组。
Fig.5 Detection of ColⅠand α-SMA expression in atrial tissue detected by immunohistochemistry (×200)
图6 Western blot检测心房组织中SMAD4蛋白的表达 1:对照组;2:AF组;3:维拉帕米组;4:炙甘草汤-L组;5:炙甘草汤-H组;6:炙甘草汤-H+anti-NC组;7:炙甘草汤-H+anti-miR-26b-5p组。
Fig.6 SMAD4 expression deteced by Western blot assay
| 组别 | miR-26b-5p | SMAD4/ β-actin |
|---|---|---|
| 对照组 | 0.96±0.11 | 0.37±0.05 |
| AF组 | 0.42±0.05a | 0.88±0.10a |
| 维拉帕米组 | 0.85±0.09b | 0.45±0.06b |
| 炙甘草汤-L组 | 0.60±0.07b | 0.69±0.08b |
| 炙甘草汤-H组 | 0.92±0.10bc | 0.41±0.05bc |
| 炙甘草汤-H+anti-NC组 | 0.90±0.10 | 0.42±0.05 |
| 炙甘草汤-H+anti-miR-26b-5p组 | 0.64±0.07d | 0.67±0.08d |
| F | 33.170* | 45.752* |
表6 各组大鼠心房组织miR-26b-5p及SMAD4表达比较
Tab.6 Comparison of miR-26b-5p levels and SMAD4 expression in atrial tissue between different groups of rats (n=6,$\bar{x}±s$)
| 组别 | miR-26b-5p | SMAD4/ β-actin |
|---|---|---|
| 对照组 | 0.96±0.11 | 0.37±0.05 |
| AF组 | 0.42±0.05a | 0.88±0.10a |
| 维拉帕米组 | 0.85±0.09b | 0.45±0.06b |
| 炙甘草汤-L组 | 0.60±0.07b | 0.69±0.08b |
| 炙甘草汤-H组 | 0.92±0.10bc | 0.41±0.05bc |
| 炙甘草汤-H+anti-NC组 | 0.90±0.10 | 0.42±0.05 |
| 炙甘草汤-H+anti-miR-26b-5p组 | 0.64±0.07d | 0.67±0.08d |
| F | 33.170* | 45.752* |
| 组别 | WT-SMAD4 | MUT-SMAD4 |
|---|---|---|
| miR-NC组 | 0.99±0.11 | 1.02±0.11 |
| miR-26b-5p mimic组 | 0.56±0.07 | 1.00±0.11 |
| t | 8.078* | 0.315 |
表7 2组相对萤光素酶活性比较
Tab.7 Comparison of relative luciferase activity between the two groups (n=6,$\bar{x}±s$)
| 组别 | WT-SMAD4 | MUT-SMAD4 |
|---|---|---|
| miR-NC组 | 0.99±0.11 | 1.02±0.11 |
| miR-26b-5p mimic组 | 0.56±0.07 | 1.00±0.11 |
| t | 8.078* | 0.315 |
| [1] | ZHANG J, JOHNSEN S P, GUO Y, et al. Epidemiology of atrial fibrillation:geographic/ecological risk factors,age,sex,genetics[J]. Card Electrophysiol Clin, 2021, 13(1):1-23. doi:10.1016/j.ccep.2020.10.010. |
| [2] | SHI S, TANG Y, ZHAO Q, et al. Prevalence and risk of atrial fibrillation in China:a national cross-sectional epidemiological study[J]. Lancet Reg Health West Pac, 2022,23:100439. doi:10.1016/j.lanwpc.2022.100439. |
| [3] | BAHNSON T D, GICZEWSKA A, MARK D B, et al. Association between age and outcomes of catheter ablation versus medical therapy for atrial fibrillation:results from the CABANA trial[J]. Circulation, 2022, 145(11):796-804. doi:10.1161/CIRCULATIONAHA.121.055297. |
| [4] | SALEH K, HALDAR S. Atrial fibrillation:a contemporary update[J]. Clin Med(Lond), 2023, 23(5):437-441. doi:10.7861/clinmed.2023-23.5.Cardio2. |
| [5] | WANG H, JIANG W, HU Y, et al. Quercetin improves atrial fibrillation through inhibiting TGF-β/Smads pathway via promoting miR-135b expression[J]. Phytomedicine, 2021,93:153774. doi:10.1016/j.phymed.2021.153774. |
| [6] | WU N, ZHANG Y, ZENG Y, et al. Circular RNA hsa_circ_0000118 promotes atrial fibrosis by regulating the microRNA‑34a‑5p/Smad4 axis[J]. Mol Med Rep, 2025, 32(6):339. doi:10.3892/mmr.2025.13704. |
| [7] | DOÑATE PUERTAS R, ARORA R, ROME S, et al. Epigenetics in atrial fibrillation:a reappraisal[J]. Heart Rhythm, 2021, 18(5):824-832. doi:10.1016/j.hrthm.2021.01.007. |
| [8] | 丁莹, 王晶予, 汤天凤, 等. 微小RNA-26b-5p对缺血性心律失常大鼠心房肌细胞L型钙通道的影响[J]. 中华老年心脑血管病杂志, 2023, 25(10):1088-1092. |
| DING Y, WANG J Y, TANG T F, et al. Effects of miR-26b-5p on L-type calcium channel in atrial cardiomyocytes of ischemic arrhythmia rats[J]. Chin J Geriatr Heart Brain Vessel Dis, 2023, 25(10):1088-1092. doi:10.3969/j.issn.1009-0126.2023.10.019. | |
| [9] | 叶嘉豪, 胡志希, 钟森杰, 等. 基于网络药理学探讨炙甘草汤治疗心律失常的作用机制[J]. 世界中医药, 2022, 17(6):760-766. |
| YE J H, HU Z X, ZHONG S J, et al. Mechanism of Zhigancao Decoction in treatment of arrhythmia based on network pharmacology[J]. World Chin Med, 2022, 17(6):760-766. doi:10.3969/j.issn.1673-7202.2022.06.002. | |
| [10] | 赵帅, 宫丽鸿, 吴启华, 等. 化痰祛瘀方对心房颤动大鼠心房纤维化的实验研究[J]. 世界中医药, 2023, 18(8):1085-1090. |
| ZHAO S, GONG L H, WU Q H, et al. Experimental study of atrial fibrosis in rats with atrial fibrillation[J]. World Chin Med, 2023, 18(8):1085-1090. doi:10.3969/j.issn.1673-7202.2023.08.005. | |
| [11] | 中国医疗保健国际交流促进会急诊医学分会, 中华医学会急诊医学分会, 国家老年医学中心, 等. 急性心房颤动中国急诊管理指南(2024)[J]. 临床急诊杂志, 2024, 25(8):381-409. |
| Society of Emergency,China International Exchange and Promotive Association for Medical and Health Care, Chinese Society of Emergency, Chinese Medical Association, National Center of Gerontology, et al. Chinese clinical guidelines for the management of patients with acute atrial fibrillation in emergency department (2024)[J]. J Clin Emerg, 2024, 25(8):381-409. doi:10.13201/j.issn.1009-5918.2024.08.001. | |
| [12] | 谭珍妮, 吕春美, 邹海林. 丹曲林对心房颤动大鼠心肌纤维化及TGF-β1/Smad2信号通路的影响[J]. 中西医结合心脑血管病杂志, 2024, 22(4):632-639. |
| TAN Z N, LYU C M, ZOU H L. Effects of dantrolene on myocardial fibrosis and TGF-β1/Smad2 signaling pathway in rats with atrial fibrillation[J]. Chin J Integr Med on Cardio-Cerebrovas Dis, 2024, 22(4):632-639. doi:10.12102/j.issn.1672-1349.2024.04.009. | |
| [13] | 郑旭颖, 麻春杰, 陈永真, 等. 基于PI3K/Akt/mTOR信号通路探讨炙甘草汤抗大鼠MIRI致室速和室颤的作用机制[J]. 中国实验方剂学杂志, 2020, 26(17):1-8. |
| ZHENG X Y, MA C J, CHEN Y Z, et al. Based on PI3K/Akt/mTOR signaling pathway to explore mechanism of Zhigancao Tang against MIRI-induced ventricular tachycardia and ventricular fibrillation in rats[J]. Chin J Exp Tradit Med Formulae, 2020, 26(17):1-8. doi:10.13422/j.cnki.syfjx.20201736. | |
| [14] | ESCUDERO-MARTÍNEZ I, MORALES-CABA L, SEGURA T. Atrial fibrillation and stroke:a review and new insights[J]. Trends Cardiovasc Med, 2023, 33(1):23-29. doi:10.1016/j.tcm.2021.12.001. |
| [15] | REDDY Y N V, BORLAUG B A, GERSH B J. Management of atrial fibrillation across the spectrum of heart failure with preserved and reduced ejection fraction[J]. Circulation, 2022, 146(4):339-357. doi:10.1161/CIRCULATIONAHA.122.057444. |
| [16] | LIPPI G, SANCHIS-GOMAR F, CERVELLIN G. Global epidemiology of atrial fibrillation:an increasing epidemic and public health challenge[J]. Int J Stroke, 2021, 16(2):217-221. doi:10.1177/1747493019897870. |
| [17] | HU Z, DING L, YAO Y. Atrial fibrillation:mechanism and clinical management[J]. Chin Med J(Engl), 2023, 136(22):2668-2676. doi:10.1097/CM9.0000000000002906. |
| [18] | 柴宇燕, 凌天佑, 盛慧球, 等. 基于络病理论解读炙甘草汤治疗心房颤动[J]. 中国心脏起搏与心电生理杂志, 2024, 38(6):397-401. |
| CHAI Y Y, LING T Y, SHENG H Q, et al. Interpretation of Zhigancao Decoction in the treatment of atrial fibrillation based on the theory of collateral diseaseatrial[J]. Chin J Card Pacing Electrophysiol, 2024, 38(6):397-401. doi:10.13333/j.cnki.cjcpe.2024.06.002. | |
| [19] | 任海云, 蔚蓁. 基于网络药理学与分子对接技术探究炙甘草汤抗心肌缺血再灌注损伤的作用机制[J]. 中西医结合心脑血管病杂志, 2024, 22(3):402-409. |
| REN H Y, WEI Z. The mechanism of anti-myocardial ischemia-reperfusion injury of Honey-fried Licorice Decoction based on network pharmacology and molecular docking[J]. Chin J Integr Med on Cardio-Cerebrovas Dis, 2024, 22(3):402-409. doi:10.12102/j.issn.1672-1349.2024.03.003. | |
| [20] | 朱雪, 周承志. LC-MS结合网络药理学探讨炙甘草汤抗快速性心律失常机制研究[J]. 医师在线, 2024, 14(4):3-9. |
| ZHU X, ZHOU C Z. Integrated LC-MS and network pharmacology reveal the mechanism of Zhigancao Decoction against tachyarrhythmias[J]. J Doctors Online, 2024, 14(4):3-9. doi:10.3969/j.issn.2095-7165.2024.04.001. | |
| [21] | SYGITOWICZ G, MACIEJAK-JASTRZĘBSKA A, SITKIEWICZ D. A review of the molecular mechanisms underlying cardiac fibrosis and atrial fibrillation[J]. J Clin Med, 2021, 10(19):4430. doi:10.3390/jcm10194430. |
| [22] | 邢佳侬, 梁卓, 邢爱君, 等. LncRNA MIAT靶向调节miR-128-3p对心房颤动大鼠心室重构和心肌纤维化的影响[J]. 天津医药, 2022, 50(9):932-937. |
| XING J N, LIANG Z, XING A J, et al. Effects of lncRNA MIAT on ventricular remodeling and myocardial fibrosis in rats with atrial fibrillation through targeting regulation of miR-128-3p[J]. Tianjin Med J, 2022, 50(9):932-937. doi:10.11958/20220015. | |
| [23] | ZHENG J, ZHAO S, YANG Q, et al. Sympathetic activation promotes cardiomyocyte apoptosis in a rabbit susceptibility model of hyperthyroidism-induced atrial fibrillation via the p38 MAPK signaling pathway[J]. Crit Rev Eukaryot Gene Expr, 2023, 33(5):17-27. doi:10.1615/CritRevEukaryotGeneExpr.2023046625. |
| [24] | YI Y, TIANXIN Y, ZHANGCHI L, et al. Pinocembrin attenuates susceptibility to atrial fibrillation in rats with pulmonary arterial hypertension[J]. Eur J Pharmacol, 2023,960:176169. doi:10.1016/j.ejphar.2023.176169. |
| [25] | ZHANG L, LOU Q, ZHANG W, et al. CircCAMTA1 facilitates atrial fibrosis by regulating the miR-214-3p/TGFBR1 axis in atrial fibrillation[J]. J Mol Histol, 2023, 54(1):55-65. doi:10.1007/s10735-022-10110-9. |
| [26] | CONG X, ZHU X, ZHANG X, et al. Astragaloside IV inhibits angiotensin II-induced atrial fibrosis and atrial fibrillation by SIRT1/PGC-1α/FNDC5 pathway[J]. Heliyon, 2024, 10(10):e30984. doi:10.1016/j.heliyon.2024.e30984. |
| [27] | CHEN W, WU X, HU J, et al. The translational potential of miR-26 in atherosclerosis and development of agents for its target genes ACC1/2,COL1A1,CPT1A,FBP1,DGAT2,and SMAD7[J]. Cardiovasc Diabetol, 2024, 23(1):21. doi:10.1186/s12933-024-02119-z. |
| [28] | JIA X, SHAO W, TIAN S. Berberine alleviates myocardial ischemia-reperfusion injury by inhibiting inflammatory response and oxidative stress:the key function of miR-26b-5p-mediated PTGS2/MAPK signal transduction[J]. Pharm Biol, 2022, 60(1):652-663. doi:10.1080/13880209.2022.2048029. |
| [29] | XU P, YI Y, XIONG L, et al. Oncostatin M/oncostatin M receptor signal induces radiation-induced heart fibrosis by regulating SMAD4 in fibroblast[J]. Int J Radiat Oncol Biol Phys, 2024, 118(1):203-217. doi:10.1016/j.ijrobp.2023.07.033. |
| [30] | SHI Y, LIU C, XIONG S, et al. Ling-Gui-Qi-Hua formula alleviates left ventricular myocardial fibrosis in rats with heart failure with preserved ejection fraction by blocking the transforming growth factor-β1/Smads signaling pathway[J]. J Ethnopharmacol, 2023,317:116849. doi:10.1016/j.jep.2023.116849. |
| [31] | WANG H, LIAN X, GAO W, et al. Long noncoding RNA H19 suppresses cardiac hypertrophy through the microRNA-145-3p/SMAD4 axis[J]. Bioengineered, 2022, 13(2):3826-3839. doi:10.1080/21655979.2021.2017564. |
| [32] | WANG W, LI Y, ZHANG C, et al. Small extracellular vesicles from young healthy human plasma inhibit cardiac fibrosis after myocardial infarction via miR-664a-3p targeting SMAD4[J]. Int J Nanomedicine, 2025, 20:557-579. doi:10.2147/IJN.S488368. |
| [33] | MARQUEZ M E, SERNBO S, PAYQUE E, et al. TGF-β/SMAD pathway is modulated by mir-26b-5p:another piece in the puzzle of chronic lymphocytic leukemia progression[J]. Cancers(Basel), 2022, 14(7):1676. doi:10.3390/cancers14071676. |
| [1] | 李文秀, 朱振宇, 柴慧, 郑晓轩, 卢婧, 李润琴. 心房颤动患者左心耳血栓形成机制的研究进展[J]. 天津医药, 2025, 53(9): 1005-1008. |
| [2] | 陈苗苗, 张亚征, 赵芳, 杨立恒, 焦丽娜, 赵晓赟. 阻塞性睡眠呼吸暂停和心房颤动因果关系的多组学孟德尔随机化分析[J]. 天津医药, 2025, 53(9): 946-951. |
| [3] | 冯学武, 李景娟, 蒯婉君. 高龄非瓣膜性心房颤动患者新型口服抗凝药依从性分析[J]. 天津医药, 2025, 53(8): 884-888. |
| [4] | 孙鲁生, 张丽芳, 高俊杰, 汤秀英. CT定量左心结构参数与肥厚型心肌病并心房颤动射频消融术后复发的关系[J]. 天津医药, 2025, 53(5): 533-536. |
| [5] | 高攀, 谢冰歆, 周赞东, 刘彤. 慢性肾脏病循环中FGF23对心房纤维化的促进作用[J]. 天津医药, 2024, 52(9): 917-923. |
| [6] | 张明龙, 方媛媛, 隋晓鹏, 陈欣欣, 李留东, 王海涛. Peguero-Lo-Presti指数诊断的左心室肥厚与阵发性心房颤动射频导管消融术后复发的关系[J]. 天津医药, 2024, 52(2): 210-214. |
| [7] | 霍立巍, 刘军, 郑彬彬, 毕学娜. 血清FGF-23对心房颤动患者射频消融术后复发的预测价值[J]. 天津医药, 2023, 51(1): 74-77. |
| [8] | 邢佳侬, 梁卓, 邢爱君, 刘俊兰, 彭宏超, 张天桦, 张春来. LncRNA MIAT靶向调节miR-128-3p对心房颤动大鼠心室重构和心肌纤维化的影响[J]. 天津医药, 2022, 50(9): 932-937. |
| [9] | 贺宏梅, 孙健, 王欢欢, 马书静, 张海燕, 邹玉安, 薛茜, 宋爱霞. 非瓣膜性心房颤动患者血管性痴呆危险因素的病例对照研究[J]. 天津医药, 2022, 50(8): 840-843. |
| [10] | 张续腾, 刘芳, 陈军, 刘晓萌, 靳乐, 高红梅△. PI3K/AKT信号通路在心房颤动中的研究进展[J]. 天津医药, 2022, 50(5): 556-560. |
| [11] | 霍宁, 詹晓萍, 周梦竹, 张跃, 梁雪, 李广平, 刘长乐. 格列本脲对糖尿病大鼠心房重构及心房颤动诱发的影响[J]. 天津医药, 2022, 50(3): 253-258. |
| [12] | 卢洁, 张芯, 王涛, 杨宁. 环状RNA对房颤患者的影响及其作用机制研究[J]. 天津医药, 2022, 50(3): 333-336. |
| [13] | 李瑞龄, 赵志强. 松弛素在心房颤动中的应用研究进展[J]. 天津医药, 2021, 49(4): 441-444. |
| [14] | 冯慧琼 , 董峰 , 孟祥君 , 牛文亮 , 席富强 , 王伟 . 血清PTX3联合CHA2DS2-VASc评分对OSAHS合并房颤患者发生脑梗死的预测价值[J]. 天津医药, 2021, 49(12): 1324-1327. |
| [15] | 邵清淼, 张涛, 刘彤, 李广平 . SGLT2抑制剂在心房颤动发生中作用的研究进展[J]. 天津医药, 2021, 49(10): 1116-1120. |
| 阅读次数 | ||||||
|
全文 |
|
|||||
|
摘要 |
|
|||||