天津医药 ›› 2026, Vol. 54 ›› Issue (4): 337-343.doi: 10.11958/20252541

• 细胞与分子生物学 •    下一篇

腺病毒介导的SPRY1过表达对肝细胞癌凋亡和自噬的影响

刘瑢(), 项艳曾, 马丽娟, 张鹏()   

  1. 宁夏医科大学总医院药剂科(邮编750004)
  • 收稿日期:2025-07-23 修回日期:2025-11-20 出版日期:2026-04-15 发布日期:2026-04-14
  • 通讯作者: E-mail:zhp435656@163.com
  • 作者简介:刘瑢(1978),女,副主任药师,主要从事肝癌作用机制及药物治疗方面研究。E-mail:Liurong17795163761@163.com
  • 基金资助:
    宁夏自然科学基金项目(2022AAC03484)

The effect of adenovirus-mediated SPRY1 overexpression on apoptosis and autophagy in hepatocellular carcinoma

LIU Rong(), XIANG Yanzeng, MA Lijuan, ZHANG Peng()   

  1. Department of Pharmacy, General Hospital of Ningxia Medical University, Yinchuan 750004, China
  • Received:2025-07-23 Revised:2025-11-20 Published:2026-04-15 Online:2026-04-14
  • Contact: E-mail:zhp435656@163.com

摘要:

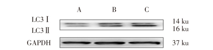
目的 探讨腺病毒介导的斑点蛋白酪氨酸激酶底物(SPRY)1过表达对人肝癌细胞增殖、凋亡及自噬的影响及其作用机制。方法 构建携带SPRY1的腺病毒载体Ad5-SPRY1,感染人肝癌细胞系Huh7和Hep3B,实验分为对照组(空白对照)、Ad5-GFP组(感染空载腺病毒Ad5-GFP)和Ad5-SPRY1组(感染重组腺病毒Ad5-SPRY1)。采用qPCR检测SPRY1 mRNA表达水平;Western blot检测SPRY1、细胞-髓细胞瘤病毒癌基因同源物(c-MYC)、B细胞淋巴瘤/白血病-2基因(BCL2)及自噬标志蛋白微管相关蛋白1A/1B轻链3(LC3)Ⅰ/Ⅱ的表达;流式细胞术检测细胞凋亡率;透射电子显微镜观察自噬体超微结构;Ad-mCherry-GFP-LC3B荧光报告系统检测自噬流变化。结果 Ad5-SPRY1感染Huh7、Hep3B细胞48 h后,SPRY1 mRNA和蛋白表达水平高于对照组和Ad5-GFP组(P<0.05)。流式细胞术检测显示,感染Huh7、Hep3B细胞24 h后,Ad5-SPRY1组细胞凋亡率低于对照组和Ad5-GFP组(P<0.05)。Western blot结果显示,Ad5-SPRY1组c-MYC和BCL2蛋白表达水平高于对照组和Ad5-GFP组(P<0.05)。透射电镜观察显示,Ad5-SPRY1组细胞质中可见大量双层膜自噬体结构;Western blot结果显示,Ad5-SPRY1组LC3Ⅱ蛋白表达水平高于对照组和Ad5-GFP组(P<0.05)。Ad-mCherry-GFP-LC3B荧光检测显示,Ad5-SPRY1组黄色斑点数量多于对照组和pcDNA3.1组(P<0.05)。结论 腺病毒介导的SPRY1过表达可显著抑制肝癌细胞凋亡并诱导自噬,其作用机制可能与上调c-MYC、BCL2表达及增强LC3介导的自噬流有关;SPRY1可能成为肝癌治疗的潜在新靶点。

关键词: 癌, 肝细胞, 细胞凋亡, 自噬, 斑点蛋白酪氨酸激酶底物1, 原癌基因蛋白质c-myc, 原癌基因蛋白质bcl-2

Abstract:

Objective To investigate the effect and mechanism of adenovirus-mediated overexpression of Sprouty RTK signaling antagonist 1 (SPRY1) on proliferation, apoptosis and autophagy in human hepatocellular carcinoma (HCC) cells. Methods The recombinant adenovirus vector Ad5-SPRY1 was constructed and used to infect human HCC cell lines Huh7 and Hep3B. Cells were divided into the control group (infected with Ad5-GFP) and the SPRY1 overexpression group (infected with Ad5-SPRY1). SPRY1 mRNA expression was detected by qPCR. Western blot assay was used to analyze the protein levels of SPRY1, c-MYC, BCL2 and autophagy-related proteins LC3Ⅰ/Ⅱ. Cell apoptosis was measured by flow cytometry with Annexin V-PE/7-AAD double staining. Autophagosome formation was observed by transmission electron microscopy (TEM), and autophagic flux was assessed using the Ad-mCherry-GFP-LC3B reporter system. Results After 48 hours of Ad5-SPRY1 infection in Huh7 and Hep3B cells, the expression levels of SPRY1 mRNA and protein were higher than those in the control group and the Ad5-GFP group (P<0.05). Flow cytometry analysis showed that after 24 hours of infection in Huh7 and Hep3B cells, the apoptosis rate in the Ad5-SPRY1 group was lower than that in the control group and the Ad5-GFP group (P<0.05). Western blot results showed that the expression levels of c-MYC and BCL2 proteins in the Ad5-SPRY1 group were higher than those in the control group and the Ad5-GFP group (P<0.05). Transmission electron microscopy observation revealed a large number of double-membrane autophagosome structures in the cytoplasm of the Ad5-SPRY1 group. Western blot results indicated that the expression level of LC3Ⅱ protein in the Ad5-SPRY1 group was higher than that in the control group and the Ad5-GFP group (P<0.05). Ad-mCherry-GFP-LC3B fluorescence assay showed that the number of yellow spots in the Ad5-SPRY1 group was higher than that in the control group and pcDNA3.1 group (P<0.05). Conclusion Adenovirus-mediated SPRY1 overexpression inhibits apoptosis and promotes autophagy in HCC cells, possibly through upregulation of c-MYC and BCL2 and enhancement of LC3-mediated autophagic flux. SPRY1 may represent a novel therapeutic target for hepatocellular carcinoma.

Key words: carcinoma, hepatocellular, apoptosis, autophagy, SPla and RyR domain-containing protein 1, proto-oncogene proteins c-myc, proto-oncogene proteins bcl-2

中图分类号: