
天津医药 ›› 2026, Vol. 54 ›› Issue (2): 145-150.doi: 10.11958/20252768
收稿日期:2025-08-20
修回日期:2025-11-08
出版日期:2026-02-15
发布日期:2026-02-12
通讯作者:
马贲
E-mail:zhe_wang_1995@163.com;18604520557@163.com
作者简介:王喆(1995),男,医师,主要从事口腔鳞状细胞癌发病机制及新型化疗药物开发方面研究。E-mail:
WANG Zhe1(
), QIU Lin2, MA Ben1,△(
)
Received:2025-08-20
Revised:2025-11-08
Published:2026-02-15
Online:2026-02-12
Contact:
MA Ben
E-mail:zhe_wang_1995@163.com;18604520557@163.com
王喆, 邱林, 马贲. 番茄来源胞外囊泡样颗粒对口腔鳞状细胞癌的作用效果研究[J]. 天津医药, 2026, 54(2): 145-150.
WANG Zhe, QIU Lin, MA Ben. Research on the effect of tomato derived nanovesicles on oral squamous cell carcinoma[J]. Tianjin Medical Journal, 2026, 54(2): 145-150.
摘要:
目的 探讨番茄来源胞外囊泡样颗粒(TDNVs)对口腔鳞状细胞癌(OSCC)恶性生物学行为的影响及其潜在分子机制。方法 采用优化的超速离心法及蔗糖密度梯度离心法提取、纯化番茄果实中的TDNVs,经透射电子显微镜(TEM)、纳米颗粒追踪分析(NTA)实验鉴定其形态及粒径,考马斯亮蓝染色检测TDNVs蛋白含量。通过细胞增殖及毒性检测、流式细胞术实验分别检测TDNVs对WSU-HN6和SCC-15细胞增殖、周期及凋亡能力的影响。Real-time PCR及Western blot实验检测细胞周期及凋亡相关基因的表达情况。结果 成功分离并鉴定TDNVs,TDNVs的平均粒径为167.8 nm,颗粒浓度约为1.3×1011 颗粒/mL,且TDNVs具有丰富的蛋白质组分。体外实验表明,TDNVs能够显著抑制OSCC细胞增殖能力(P<0.05),诱导细胞周期阻滞在G2/M期并促进细胞凋亡(P<0.05)。同时,TDNVs处理导致OSCC细胞中周期蛋白依赖性激酶1(CDK1)、细胞周期蛋白B1(Cyclin B1)、B淋巴细胞瘤-2基因(Bcl-2)mRNA及蛋白表达水平降低(P<0.05),而Bcl-2相关X蛋白(Bax)mRNA及蛋白表达水平升高(P<0.05)。结论 TDNVs能够通过诱导细胞周期阻滞并促进细胞凋亡,从而抑制OSCC细胞的恶性进展。
中图分类号:
| 基因 | 引物序列(5′→3′) | 产物大小/bp |
|---|---|---|
| GAPDH | 上游:TCAGCAATGCCTCCTGCAC | 117 |
| 下游:TCTGGGTGGCAGTGATGGC | ||
| CDK1 | 上游:AGTCTACGGGCTACCCGATT | 706 |
| 下游:CCACTCTGCCCTAGGCTTTC | ||
| Cyclin B1 | 上游:TGGTGAATGGACTGTCAAGAACA | 117 |
| 下游:TACACCTTTGCCACAGCCTT | ||
| Bcl-2 | 上游:AAAAATACAACATCACAGAGGAAGT | 334 |
| 下游:TCCCGGTTATCGTACCCTGT | ||
| Bax | 上游:TGATGGACGGGTCCGGG | 422 |
| 下游:TGTCCAGCCCATGATGGTTC |
表1 引物序列
Tab.1 Primer sequence
| 基因 | 引物序列(5′→3′) | 产物大小/bp |
|---|---|---|
| GAPDH | 上游:TCAGCAATGCCTCCTGCAC | 117 |
| 下游:TCTGGGTGGCAGTGATGGC | ||
| CDK1 | 上游:AGTCTACGGGCTACCCGATT | 706 |
| 下游:CCACTCTGCCCTAGGCTTTC | ||
| Cyclin B1 | 上游:TGGTGAATGGACTGTCAAGAACA | 117 |
| 下游:TACACCTTTGCCACAGCCTT | ||
| Bcl-2 | 上游:AAAAATACAACATCACAGAGGAAGT | 334 |
| 下游:TCCCGGTTATCGTACCCTGT | ||
| Bax | 上游:TGATGGACGGGTCCGGG | 422 |
| 下游:TGTCCAGCCCATGATGGTTC |
图2 不同浓度TDNVs处理WSU-HN6和SCC-15细胞增殖曲线 WSU-HN6细胞:F时间=44.556,F浓度=34.241;SCC-15细胞:F时间=49.301,F浓度=48.808。均P<0.01。
Fig.2 Proliferation curves of WSU-HN6 and SCC-15 cells treated with different concentrations of TDNVs
| 组别 | WSU-HN6 | SCC-15 | |||||
|---|---|---|---|---|---|---|---|
| G1 | S | G2/M | G1 | S | G2/M | ||
| Blank组 | 65.38±2.98 | 16.45±2.15 | 18.16±1.65 | 56.30±3.49 | 28.10±1.81 | 15.60±2.01 | |
| PBS组 | 63.09±3.97 | 16.09±3.54 | 20.82±1.42 | 55.52±2.99 | 26.80±3.07 | 17.69±2.32 | |
| 5 mg/L组 | 34.64±2.22ab | 9.70±0.66ab | 55.66±2.06ab | 40.17±1.69ab | 25.57±2.20 | 34.26±0.56ab | |
| F | 89.061** | 7.376* | 439.508** | 31.068** | 0.817 | 96.625** | |
表2 各组细胞周期分布比较(n=3,%,$\bar{x}±s$)
Tab.2 Comparison of cell cycle distribution between the three groups
| 组别 | WSU-HN6 | SCC-15 | |||||
|---|---|---|---|---|---|---|---|
| G1 | S | G2/M | G1 | S | G2/M | ||
| Blank组 | 65.38±2.98 | 16.45±2.15 | 18.16±1.65 | 56.30±3.49 | 28.10±1.81 | 15.60±2.01 | |
| PBS组 | 63.09±3.97 | 16.09±3.54 | 20.82±1.42 | 55.52±2.99 | 26.80±3.07 | 17.69±2.32 | |
| 5 mg/L组 | 34.64±2.22ab | 9.70±0.66ab | 55.66±2.06ab | 40.17±1.69ab | 25.57±2.20 | 34.26±0.56ab | |
| F | 89.061** | 7.376* | 439.508** | 31.068** | 0.817 | 96.625** | |
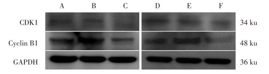
图4 TDNVs对WSU-HN6和SCC-15细胞CDK1和Cyclin B1蛋白表达的影响 A、B、C依次为WSU-HN6细胞Blank组、PBS组、5 mg/L组;D、E、F依次为SCC-15细胞Blank组、PBS组、5 mg/L组。图6同。
Fig.4 Effect of TDNVs on CDK1 and Cyclin B1 protein expression in WSU-HN6 and SCC-15 cells
| 组别 | WSU-HN6 | SCC-15 | ||
|---|---|---|---|---|
| CDK1 | Cyclin B1 | CDK1 | Cyclin B1 | |
| Blank组 | 1.00±0.06 | 1.00±0.02 | 1.00±0.04 | 1.00±0.01 |
| PBS组 | 0.97±0.08 | 1.02±0.16 | 1.06±0.07 | 1.04±0.23 |
| 5 mg/L组 | 0.61±0.02ab | 0.45±0.04ab | 0.73±0.03ab | 0.64±0.04ab |
| F | 82.974** | 40.112** | 36.553** | 8.088* |
表3 各组细胞CDK1、Cyclin B1 mRNA表达水平比较(n=3,%,$\bar{x}±s$)
Tab.3 Comparison of CDK1 and Cyclin B1 mRNA levels between the three groups of cells
| 组别 | WSU-HN6 | SCC-15 | ||
|---|---|---|---|---|
| CDK1 | Cyclin B1 | CDK1 | Cyclin B1 | |
| Blank组 | 1.00±0.06 | 1.00±0.02 | 1.00±0.04 | 1.00±0.01 |
| PBS组 | 0.97±0.08 | 1.02±0.16 | 1.06±0.07 | 1.04±0.23 |
| 5 mg/L组 | 0.61±0.02ab | 0.45±0.04ab | 0.73±0.03ab | 0.64±0.04ab |
| F | 82.974** | 40.112** | 36.553** | 8.088* |
| 组别 | WSU-HN6 | SCC-15 | ||
|---|---|---|---|---|
| CDK1 | Cyclin B1 | CDK1 | Cyclin B1 | |
| Blank组 | 1.00±0.02 | 1.00±0.02 | 1.00±0.01 | 1.00±0.06 |
| PBS组 | 1.08±0.09 | 1.12±0.08 | 0.94±0.04 | 1.04±0.06 |
| 5 mg/L组 | 0.29±0.05ab | 0.21±0.06ab | 0.68±0.63ab | 0.29±0.25ab |
| F | 160.195** | 227.726** | 43.739** | 409.108** |
表4 各组细胞CDK1、Cyclin B1蛋白表达水平比较(n=3,%,$\bar{x}±s$)
Tab.4 Comparison of CDK1 and Cyclin B1 protein levels between the three groups of cells
| 组别 | WSU-HN6 | SCC-15 | ||
|---|---|---|---|---|
| CDK1 | Cyclin B1 | CDK1 | Cyclin B1 | |
| Blank组 | 1.00±0.02 | 1.00±0.02 | 1.00±0.01 | 1.00±0.06 |
| PBS组 | 1.08±0.09 | 1.12±0.08 | 0.94±0.04 | 1.04±0.06 |
| 5 mg/L组 | 0.29±0.05ab | 0.21±0.06ab | 0.68±0.63ab | 0.29±0.25ab |
| F | 160.195** | 227.726** | 43.739** | 409.108** |
| 组别 | WSU-HN6 | SCC-15 |
|---|---|---|
| Blank组 | 5.90±0.30 | 3.43±1.27 |
| PBS组 | 6.12±0.28 | 3.50±0.78 |
| 5 mg/L组 | 20.17±1.15ab | 18.38±1.99ab |
| F | 400.604** | 107.332** |
表5 各组细胞凋亡比例比较(n=3,%,$\bar{x}±s$)
Tab.5 Comparison of apoptosis ratios between the three groups
| 组别 | WSU-HN6 | SCC-15 |
|---|---|---|
| Blank组 | 5.90±0.30 | 3.43±1.27 |
| PBS组 | 6.12±0.28 | 3.50±0.78 |
| 5 mg/L组 | 20.17±1.15ab | 18.38±1.99ab |
| F | 400.604** | 107.332** |
| 组别 | WSU-HN6 | SCC-15 | ||
|---|---|---|---|---|
| Bcl-2 | Bax | Bcl-2 | Bax | |
| Blank组 | 1.00±0.08 | 1.00±0.02 | 1.00±0.12 | 1.00±0.03 |
| PBS组 | 1.00±0.14 | 1.02±0.24 | 0.90±0.07 | 1.02±0.20 |
| 5 mg/L组 | 0.58±0.04ab | 1.81±0.02ab | 0.47±0.05ab | 1.56±0.04ab |
| F | 18.776** | 32.658** | 29.482** | 22.367** |
表6 各组细胞 Bcl-2、Bax mRNA表达水平比较(n=3,%,$\bar{x}±s$)
Tab.6 Comparison of Bcl-2 and Bax mRNA levels between the three groups of cells
| 组别 | WSU-HN6 | SCC-15 | ||
|---|---|---|---|---|
| Bcl-2 | Bax | Bcl-2 | Bax | |
| Blank组 | 1.00±0.08 | 1.00±0.02 | 1.00±0.12 | 1.00±0.03 |
| PBS组 | 1.00±0.14 | 1.02±0.24 | 0.90±0.07 | 1.02±0.20 |
| 5 mg/L组 | 0.58±0.04ab | 1.81±0.02ab | 0.47±0.05ab | 1.56±0.04ab |
| F | 18.776** | 32.658** | 29.482** | 22.367** |
| 组别 | WSU-HN6 | SCC-15 | ||
|---|---|---|---|---|
| Bcl-2 | Bax | Bcl-2 | Bax | |
| Blank组 | 1.00±0.02 | 1.00±0.02 | 1.00±0.01 | 1.00±0.01 |
| PBS组 | 1.04±0.04 | 1.09±0.11 | 0.92±0.16 | 1.09±0.30 |
| 5 mg/L组 | 0.54±0.05ab | 2.21±0.53ab | 0.25±0.04ab | 2.74±0.13ab |
| F | 146.687** | 13.852** | 55.052** | 157.001** |
表7 各组细胞 Bcl-2、Bax 蛋白表达水平比较(n=3,%,$\bar{x}±s$)
Tab.7 Comparison of Bcl-2 and Bax protein levels between the three groups of cells
| 组别 | WSU-HN6 | SCC-15 | ||
|---|---|---|---|---|
| Bcl-2 | Bax | Bcl-2 | Bax | |
| Blank组 | 1.00±0.02 | 1.00±0.02 | 1.00±0.01 | 1.00±0.01 |
| PBS组 | 1.04±0.04 | 1.09±0.11 | 0.92±0.16 | 1.09±0.30 |
| 5 mg/L组 | 0.54±0.05ab | 2.21±0.53ab | 0.25±0.04ab | 2.74±0.13ab |
| F | 146.687** | 13.852** | 55.052** | 157.001** |
| [1] | TAN Y, WANG Z, XU M, et al. Oral squamous cell carcinomas:state of the field and emerging directions[J]. Int J Oral Sci, 2023, 15(1):44. doi:10.1038/s41368-023-00249-w. |
| [2] | BRAY F, LAVERSANNE M, SUNG H, et al. Global cancer statistics 2022:GLOBOCAN estimates of incidence and mortality worldwide for 36 cancers in 185 countries[J]. CA Cancer J Clin, 2024, 74(3):229-263. doi:10.3322/caac.21834. |
| [3] | 余朝霞, 马贲, 邱林, 等. 基于网络药理学和实验验证探究鲍式层孔菌多酚的抗头颈鳞癌机制[J]. 天津医药, 2025, 53(5):456-461. |
| YU Z X, MA B, QIU L, et al. Elucidation of the anti-head and neck squamous cell carcinoma mechanism of Phellinus baumii polyphenol based on network pharmacology and experimental verification[J]. Tianjin Med J, 2025, 53(5):456-461. doi:10.11958/20250580. | |
| [4] | LI Y, MENG D, CHENG Y, et al. Prospects of engineered exosomes in clinical applications:a review[J]. Drug Dev Ind Pharm, 2025, 51(11):1400-1416. doi:10.1080/03639045.2025.2541789. |
| [5] | SAH N K, ARORA S, SAHU R C, et al. Plant-based exosome-like extracellular vesicles as encapsulation vehicles for enhanced bioavailability and breast cancer therapy:recent advances and challenges[J]. Med Oncol, 2025, 42(6):184. doi:10.1007/s12032-025-02720-6. |
| [6] | HILLMAN T. The application of plant-exosome-like nanovesicles as improved drug delivery systems for cancer vaccines[J]. Discov Oncol, 2024, 15(1):136. doi:10.1007/s12672-024-00974-6. |
| [7] | TAO A, WANG X, LI C. Effect of lycopene on oral squamous cell carcinoma cell growth by inhibiting IGF1 pathway[J]. Cancer Manag Res, 2021, 13:723-732. doi:10.2147/CMAR.S283927. |
| [8] | 吴菊萍, 肖倩, 王建国, 等. 番茄外泌体的分离提取工艺优化及其作为药物载体的可行性分析[J]. 中国现代医学杂志, 2019, 29(24):8-14. |
| WU J P, XIAO Q, WANG J G, et al. Optimization of tomato-derived exosomes isolation and analyzsis of feasibility of it as nano carriers[J]. China Journal of Modern Medicine, 2019, 29(24):8-14. doi:10.3969/j.issn.1005-8982.2019.24.002. | |
| [9] | WANG B, ZHUANG X, DENG Z B, et al. Targeted drug delivery to intestinal macrophages by bioactive nanovesicles released from grapefruit[J]. Mol Ther, 2014, 22(3):522-534. doi:10.1038/mt.2013.190. |
| [10] | LIU Y, REN C, ZHAN R, et al. Exploring the potential of plant-derived exosome-like nanovesicle as functional food components for human health:a review[J]. Foods, 2024, 13(5):712. doi:10.3390/foods13050712. |
| [11] | CAO M, YAN H, HAN X, et al. Ginseng-derived nanoparticles alter macrophage polarization to inhibit melanoma growth[J]. J Immunother Cancer, 2019, 7(1):326. doi:10.1186/s40425-019-0817-4. |
| [12] | YANG M, LUO Q, CHEN X, et al. Bitter melon derived extracellular vesicles enhance the therapeutic effects and reduce the drug resistance of 5-fluorouracil on oral squamous cell carcinoma[J]. J Nanobiotechnology, 2021, 19(1):259. doi:10.1186/s12951-021-00995-1. |
| [13] | WU H, SHI M, MENG L, et al. Plant-derived extracellular vesicles as a novel tumor-targeting delivery system for cancer treatment[J]. Front Cell Dev Biol, 2025, 13:1589550. doi:10.3389/fcell.2025.1589550. |
| [14] | CUI L, PERINI G, MINOPOLI A, et al. Plant-derived extracellular vesicles as a natural drug delivery platform for glioblastoma therapy:a dual role in preserving endothelial integrity while modulating the tumor microenvironment[J]. Int J Pharm X, 2025, 10:100349. doi: 10.1016/j.ijpx.2025.100349. |
| [15] | 包哲. 复合膳食抗氧化指数与结直肠癌的关联性研究[D]. 呼和浩特: 内蒙古医科大学, 2024. |
| BAO Z. A study on the association between composite dietary antioxidant index and colorectal cancer[D]. Hohhot: Inner Mongolia Medical University, 2024. doi:10.27231/d.cnki.gnmyc.2024.000220. | |
| [16] | MATTHEWS H K, BERTOLI C, DE BRUIN R. Cell cycle control in cancer[J]. Nat Rev Mol Cell Biol, 2022, 23(1):74-88. doi:10.1038/s41580-021-00404-3. |
| [17] | ZHANG Y, LIANG Q, ZHANG Y, et al. Olmesartan alleviates bleomycin-mediated vascular smooth muscle cell senescence via the miR-665/SDC1 axis[J]. Am J Transl Res, 2020, 12(9):5205-5220. |
| [18] | D'ARCY M S. Cell death:a review of the major forms of apoptosis,necrosis and autophagy[J]. Cell Biol Int, 2019, 43(6):582-592. doi:10.1002/cbin.11137. |
| [19] | CARNEIRO B A, EL-DEIRY W S. Targeting apoptosis in cancer therapy[J]. Nat Rev Clin Oncol, 2020, 17(7):395-417. doi:10.1038/s41571-020-0341-y. |
| [20] | LANGELLOTTO M D, RASSU G, SERRI C, et al. Plant-derived extracellular vesicles:a synergetic combination of a drug delivery system and a source of natural bioactive compounds[J]. Drug Deliv Transl Res, 2025, 15(3):831-845. doi:10.1007/s13346-024-01698-4. |
| [1] | 李志伟, 张会超, 杨凤鸣, 曾垂义. 基于miR-144-3p/MAPK1通路探讨红参总皂苷对扩张型心肌病小鼠心肌细胞凋亡的影响[J]. 天津医药, 2026, 54(1): 23-29. |
| [2] | 赵兰君, 李良惠, 马馨, 巩娇娇, 郑臣辉, 石琳. 穿心莲内酯调控STAT3/GPX4通路对骨髓瘤细胞增殖和凋亡的影响[J]. 天津医药, 2026, 54(1): 8-13. |
| [3] | 孔翠文, 路延双, 孙丽萍, 于芬芬. LncRNA SNHG14靶向miR-30a-5p对高糖诱导的足细胞损伤的影响[J]. 天津医药, 2025, 53(9): 903-909. |
| [4] | 刘虹, 张玥玥, 王一琳, 王彩丽, 王晓敏, 毛敏, 李燕. MicroRNA-34a通过调控Wnt途径影响慢性淋巴细胞白血病进展的机制探讨[J]. 天津医药, 2025, 53(8): 785-790. |
| [5] | 万艳波, 刘明, 王勇. 秦皮甲素调节HMGB1/RAGE信号通路对缺氧/复氧诱导的心肌细胞损伤的影响[J]. 天津医药, 2025, 53(8): 796-801. |
| [6] | 刘海威, 杨洁, 王力, 蒙诗波, 唐旭松, 刘成仁, 王永旺. 木犀草素通过NFE2L2/x-CT/GPX4信号轴调控ROS水平抑制胶质母细胞瘤[J]. 天津医药, 2025, 53(7): 673-678. |
| [7] | 韩建存, 周谊. 川陈皮素调节FAK/AKT信号通路对喉鳞状细胞癌细胞增殖和凋亡的影响[J]. 天津医药, 2025, 53(6): 561-565. |
| [8] | 余朝霞, 马贲, 邱林, 高倩, 尼娜. 基于网络药理学和实验验证探究鲍式层孔菌多酚的抗头颈鳞癌机制[J]. 天津医药, 2025, 53(5): 456-461. |
| [9] | 李晨, 李占恩, 苏宏伟, 侯彩云, 董少文. KRT17调节Wnt/β-catenin信号通路对膀胱癌细胞增殖、凋亡及上皮间质转化的影响[J]. 天津医药, 2025, 53(5): 462-467. |
| [10] | 苏红见, 张春艳, 张卫东, 韩利, 乔亚红. 鸢尾素调控EBF3/ALOX15通路影响肺腺癌细胞增殖和迁移[J]. 天津医药, 2025, 53(4): 337-342. |
| [11] | 祁卫华, 黄广磊, 张媛媛, 班宏英, 毛诏旭. 连翘脂素调节cAMP/EPAC1/RAP1信号通路对肺癌细胞恶性进展的影响[J]. 天津医药, 2025, 53(4): 343-348. |
| [12] | 闫玲新, 李森, 郭改莉, 孟婉秋, 徐超. 异牡荆素通过miR-339-5p/HSPA8轴调节胰腺癌细胞的生物学行为[J]. 天津医药, 2025, 53(3): 230-235. |
| [13] | 马莉莉, 李子沐, 王亮, 许彭, 李秀梅. 间充质干细胞外泌体对食管癌ECA109细胞生物学行为的影响[J]. 天津医药, 2025, 53(2): 113-117. |
| [14] | 吴宾, 杨自更, 张婧, 李书红, 余凤, 王嘉玮, 李彩玲. 柚皮素对低氧性肺动脉高压大鼠右心室重塑的影响[J]. 天津医药, 2025, 53(2): 129-134. |
| [15] | 田友军, 谭正武, 杨柯, 彭剑敏, 陈红桃, 黄志平. 多序列MRI影像组学对局部晚期宫颈鳞癌同步放化疗疗效的预测价值[J]. 天津医药, 2025, 53(2): 213-218. |
| 阅读次数 | ||||||
|
全文 |
|
|||||
|
摘要 |
|
|||||