
天津医药 ›› 2025, Vol. 53 ›› Issue (9): 910-915.doi: 10.11958/20251781
收稿日期:2025-04-29
修回日期:2025-06-17
出版日期:2025-09-15
发布日期:2025-09-16
通讯作者:
△E-mail:作者简介:周玉科(1983),男,副主任医师,主要从事脊柱外科基础实验方面研究。E-mail:基金资助:
ZHOU Yuke(
), SUN Wei, GAO Qing, HE Jun△(
)
Received:2025-04-29
Revised:2025-06-17
Published:2025-09-15
Online:2025-09-16
Contact:
△E-mail: 周玉科, 孙伟, 高庆, 贺军. 七氟醚调节ROS/TXNIP/NLRP3通路对脊髓损伤大鼠神经细胞炎症的影响[J]. 天津医药, 2025, 53(9): 910-915.
ZHOU Yuke, SUN Wei, GAO Qing, HE Jun. The effect of sevoflurane on neuronal inflammation in rats with spinal cord injury by regulating the ROS/TXNIP/NLRP3 pathway[J]. Tianjin Medical Journal, 2025, 53(9): 910-915.
摘要:
目的 探讨七氟醚通过调节活性氧(ROS)/硫氧还蛋白相互作用蛋白(TXNIP)/核苷酸结合寡聚化结构域样受体蛋白3(NLRP3)通路对脊髓损伤大鼠神经细胞炎症的影响。方法 72只大鼠以随机数字表法分为模型组(构建脊髓损伤模型),假手术组,低、中、高浓度(分别为1%、2%、4%七氟醚)七氟醚组,联合组(4%七氟醚+3.7 mg/kg ROS激活剂三甲胺N-氧化物),每组12只。脊髓损伤行为学(BBB)评分、足迹印记试验评价运动功能;酶联免疫吸附试验(ELISA)检测脊髓组织白细胞介素(IL)-18、肿瘤坏死因子-α(TNF-α)、IL-1β水平;HE染色观察脊髓组织病理变化;TUNEL检测细胞凋亡;qRT-RCR检测TXNIP、NLRP3 mRNA表达;ROS试剂盒检测ROS活性;Western blot检测ROS/TXNIP/NLRP3通路蛋白表达。结果 假手术组步态、细胞形态正常、排列有序,脊髓结构完好;模型组有脚趾拖动、脊髓组织损伤严重,炎性细胞浸润;模型组较假手术组BBB评分降低,IL-18、TNF-α、IL-1β水平、凋亡率、ROS活性升高,TXNIP和NLRP3 mRNA及蛋白表达升高(P<0.05);低、中、高浓度七氟醚组较模型组上述指标改善;联合组则反转高浓度七氟醚组的改善结果。结论 七氟醚可能通过抑制ROS/TXNIP/NLRP3通路减轻脊髓损伤大鼠神经细胞炎症。
中图分类号:
| 基因名称 | 引物序列(5′→3′) | 产物大小/bp |
|---|---|---|
| TXNIP | 上游:CCGAGCCAGCCAACTCAAGA | 189 |
| 下游:AGACAGACACCCGCCCATCA | ||
| NLRP3 | 上游:GAATTAGACAACTGCAACCTCACG | 195 |
| 下游:GTTTCAGCACTTCACAGAACATCAT | ||
| GAPDH | 上游:GGTGGTCTCCTCTGACTTCAA | 178 |
| 下游:GTTGCTGTAGCCAAATTCGTTGT |
表1 qRT-PCR引物序列
Tab.1 qRT-PCR primer sequences
| 基因名称 | 引物序列(5′→3′) | 产物大小/bp |
|---|---|---|
| TXNIP | 上游:CCGAGCCAGCCAACTCAAGA | 189 |
| 下游:AGACAGACACCCGCCCATCA | ||
| NLRP3 | 上游:GAATTAGACAACTGCAACCTCACG | 195 |
| 下游:GTTTCAGCACTTCACAGAACATCAT | ||
| GAPDH | 上游:GGTGGTCTCCTCTGACTTCAA | 178 |
| 下游:GTTGCTGTAGCCAAATTCGTTGT |
| 组别 | BBB评分 | |
|---|---|---|
| 第7天 | 第14天 | |
| 假手术组 | 21.00±0.00 | 21.00±0.00 |
| 模型组 | 5.23±0.57a | 6.89±0.69a |
| 低浓度七氟醚组 | 6.59±0.66b | 8.53±0.87b |
| 中浓度七氟醚组 | 7.92±0.81bc | 10.05±1.12bc |
| 高浓度七氟醚组 | 9.25±0.93bcd | 11.86±1.26bcd |
| 联合组 | 6.15±0.62e | 7.62±0.79e |
| F | 932.357** | 416.942** |
表2 各组大鼠BBB评分比较(n=12,分,$\bar{x}±s$)
Tab.2 Comparison of BBB scores between the six groups of rats
| 组别 | BBB评分 | |
|---|---|---|
| 第7天 | 第14天 | |
| 假手术组 | 21.00±0.00 | 21.00±0.00 |
| 模型组 | 5.23±0.57a | 6.89±0.69a |
| 低浓度七氟醚组 | 6.59±0.66b | 8.53±0.87b |
| 中浓度七氟醚组 | 7.92±0.81bc | 10.05±1.12bc |
| 高浓度七氟醚组 | 9.25±0.93bcd | 11.86±1.26bcd |
| 联合组 | 6.15±0.62e | 7.62±0.79e |
| F | 932.357** | 416.942** |
| 组别 | IL-18/(ng/L) | TNF-α/(μg/L) | IL-1β/(ng/L) |
|---|---|---|---|
| 假手术组 | 61.28±6.25 | 6.58±0.67 | 101.27±10.35 |
| 模型组 | 151.32±15.27a | 18.32±1.91a | 195.37±20.17a |
| 低浓度七氟醚组 | 121.65±12.33b | 15.47±1.63b | 167.83±17.14b |
| 中浓度七氟醚组 | 104.57±11.57bc | 12.56±1.27bc | 136.42±13.82bc |
| 高浓度七氟醚组 | 85.66±8.72bcd | 9.36±0.95bcd | 119.67±12.17bcd |
| 联合组 | 139.58±14.05e | 16.89±1.72e | 178.69±17.92e |
| F | 49.446** | 61.216** | 32.756** |
表3 各组大鼠IL-18、TNF-α、IL-1β水平比较(n=6,$\bar{x}±s$)
Tab.3 Comparison of IL-18, TNF-α and IL-1β levels between the six groups of rats
| 组别 | IL-18/(ng/L) | TNF-α/(μg/L) | IL-1β/(ng/L) |
|---|---|---|---|
| 假手术组 | 61.28±6.25 | 6.58±0.67 | 101.27±10.35 |
| 模型组 | 151.32±15.27a | 18.32±1.91a | 195.37±20.17a |
| 低浓度七氟醚组 | 121.65±12.33b | 15.47±1.63b | 167.83±17.14b |
| 中浓度七氟醚组 | 104.57±11.57bc | 12.56±1.27bc | 136.42±13.82bc |
| 高浓度七氟醚组 | 85.66±8.72bcd | 9.36±0.95bcd | 119.67±12.17bcd |
| 联合组 | 139.58±14.05e | 16.89±1.72e | 178.69±17.92e |
| F | 49.446** | 61.216** | 32.756** |
| 组别 | 细胞凋亡率/% | TXNIP mRNA | NLRP3 mRNA |
|---|---|---|---|
| 假手术组 | 1.83±0.19 | 0.98±0.11 | 1.02±0.12 |
| 模型组 | 32.17±3.36a | 1.87±0.21a | 2.07±0.23a |
| 低浓度七氟醚组 | 23.36±2.46b | 1.62±0.19b | 1.75±0.19b |
| 中浓度七氟醚组 | 15.28±1.68bc | 1.46±0.16bc | 1.52±0.17bc |
| 高浓度七氟醚组 | 7.66±0.79bcd | 1.21±0.13bcd | 1.25±0.14bcd |
| 联合组 | 25.13±2.63e | 1.73±0.18e | 1.86±0.20e |
| F | 170.013** | 24.007** | 29.021** |
表4 各组大鼠细胞凋亡率、TXNIP、NLRP3 mRNA表达比较(n=6,$\bar{x}±s$)
Tab.4 Comparison of cell apoptosis rate and TXNIP, NLRP3 mRNA expression between the six groups of rats
| 组别 | 细胞凋亡率/% | TXNIP mRNA | NLRP3 mRNA |
|---|---|---|---|
| 假手术组 | 1.83±0.19 | 0.98±0.11 | 1.02±0.12 |
| 模型组 | 32.17±3.36a | 1.87±0.21a | 2.07±0.23a |
| 低浓度七氟醚组 | 23.36±2.46b | 1.62±0.19b | 1.75±0.19b |
| 中浓度七氟醚组 | 15.28±1.68bc | 1.46±0.16bc | 1.52±0.17bc |
| 高浓度七氟醚组 | 7.66±0.79bcd | 1.21±0.13bcd | 1.25±0.14bcd |
| 联合组 | 25.13±2.63e | 1.73±0.18e | 1.86±0.20e |
| F | 170.013** | 24.007** | 29.021** |
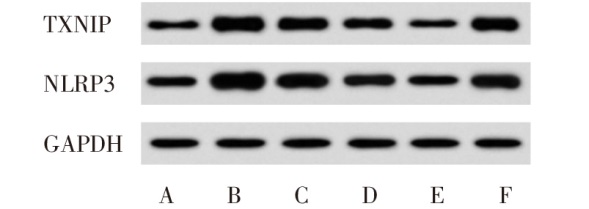
图4 各组大鼠脊髓组织中TXNIP、NLRP3蛋白表达印迹图 A:假手术组;B:模型组;C:低浓度七氟醚组;D:中浓度七氟醚组;E:高浓度七氟醚组;F:联合组。
Fig.4 Western blot images of TXNIP and NLRP3 protein expression in spinal cord tissue of rats in each group
| 组别 | ROS活性/(U/mL) | TXNIP/GAPDH | NLRP3/GAPDH |
|---|---|---|---|
| 假手术组 | 142.36±14.63 | 0.86±0.09 | 1.12±0.12 |
| 模型组 | 236.75±24.17a | 2.24±0.23a | 2.69±0.27a |
| 低浓度七氟醚组 | 211.73±22.63b | 1.82±0.19b | 2.35±0.24b |
| 中浓度七氟醚组 | 182.65±18.59bc | 1.39±0.14bc | 1.78±0.18bc |
| 高浓度七氟醚组 | 156.39±16.24bcd | 0.97±0.10bcd | 1.25±0.13bcd |
| 联合组 | 220.58±22.77e | 2.03±0.21e | 2.43±0.25e |
| F | 20.754** | 68.184** | 60.156** |
表5 各组大鼠脊髓组织中ROS活性及TXNIP、NLRP3蛋白表达水平比较(n=6,$\bar{x}±s$)
Tab.5 Comparison of ROS activity and expression levels of TXNIP and NLRP3 proteins in spinal cord tissue between six groups of rats
| 组别 | ROS活性/(U/mL) | TXNIP/GAPDH | NLRP3/GAPDH |
|---|---|---|---|
| 假手术组 | 142.36±14.63 | 0.86±0.09 | 1.12±0.12 |
| 模型组 | 236.75±24.17a | 2.24±0.23a | 2.69±0.27a |
| 低浓度七氟醚组 | 211.73±22.63b | 1.82±0.19b | 2.35±0.24b |
| 中浓度七氟醚组 | 182.65±18.59bc | 1.39±0.14bc | 1.78±0.18bc |
| 高浓度七氟醚组 | 156.39±16.24bcd | 0.97±0.10bcd | 1.25±0.13bcd |
| 联合组 | 220.58±22.77e | 2.03±0.21e | 2.43±0.25e |
| F | 20.754** | 68.184** | 60.156** |
| [1] | 秦晓健, 李子阳, 周鑫, 等. 橄榄苦苷对脊髓损伤大鼠神经细胞凋亡的影响及可能机制[J]. 解剖科学进展, 2024, 30(2):190-192. |
| QIN X J, LI Z Y, ZHOU X, et al. Effect of oleuropein on nerve cell apoptosis in rats with spinal cord injury and its possible mechanism[J]. Progress of Anatomical Sciences, 2024, 30(2):190-192. doi:10.16695/j.cnki.1006-2947.2024.02.021. | |
| [2] | ZHANG H, PIAO M, GUO M, et al. MicroRNA-211-5p attenuates spinal cord injury via targeting of activating transcription factor 6[J]. Tissue Cell, 2021, 68:101459. doi:10.1016/j.tice.2020.101459. |
| [3] | 周孝敏, 鱼丽萍, 李卓伦, 等. 夹脊电针刺激通过PKA/RhoA通路治疗大鼠急性脊髓损伤[J]. 神经解剖学杂志, 2023, 39(3):295-302. |
| ZHOU X M, YU L P, LI Z L, et al. Treatment of acute spinal cord injury in rats with Jiaji electro-acupuncture stimulation via PKA/RhoA pathway[J]. Chin J Neuroanat, 2023, 39(3):295-302. doi:10.16557/j.cnki.1000-7547.2023.03.007. | |
| [4] | LIU X M, XU M, ZHANG H, et al. Effects of electroacpuncture on urodynamics,intramedullary apoptosis and bidirectional regulation of neurotrophic factors in neurogenic bladder rats after supersacral spinal cord injury[J]. World J Acupunct Moxibustion, 2021, 31(2):121-128. |
| [5] | 姜山, 吴超, 马玲. 夹脊穴电针调控TREM2介导的小胶质细胞活化促进脊髓损伤修复的机制研究[J]. 免疫学杂志, 2024, 40(10):761-766. |
| JIANG S, WU C, MA L. Mechanism of electro-acupuncture at jiaji acupoint in regulating TREM2-mediated microglia activation to promote spinal cord injury repair[J]. J Immunol, 2024, 40(10):761-766. doi:10.13431/j.cnki.immunol.j.20240106. | |
| [6] | LI R, HAN J, CHEN B, et al. Homeodomain interacting protein kinase 2-modified rat spinal astrocytes affect neurofunctional recovery after spinal cord injury[J]. Curr Neurovasc Res, 2022, 19(2):171-180. doi:10.2174/1567202619666220601111715. |
| [7] | LIANG T Y, PENG S Y, MA M, et al. Protective effects of sevoflurane in cerebral ischemia reperfusion injury:a narrative review[J]. Med Gas Res, 2021, 11(4):152-154. doi:10.4103/2045-9912.318860. |
| [8] | XU Q, XING H, WU J, et al. miRNA-141 induced pyroptosis in intervertebral disk degeneration by targeting ROS generation and activating TXNIP/NLRP3 signaling in nucleus pulpous cells[J]. Front Cell Dev Biol, 2020, 8:871. doi:10.3389/fcell.2020.00871. |
| [9] | 陈勇, 范军朝, 庞红利, 等. 七氟醚后处理对脑缺血/再灌注损伤大鼠的脑保护作用及对ROS/TXNIP/NLRP3通路的影响[J]. 国际麻醉学与复苏杂志, 2021, 42(1):8-14. |
| CHEN Y, FAN J Z, PANG H L, et al. Protective effect of sevoflurane postconditioning on cerebral ischemia/reperfusion injury in rats and its influence on the ROS/TXNIP/NLRP3 pathway[J]. Int J Anesth Resus, 2021, 42(1):8-14. doi:10.3760/cma.j.cn321761-20200828-00184. | |
| [10] | 杨光, 姚富, 陈永旺, 等. 依托咪酯对脊髓损伤大鼠的脑保护作用及其机制研究[J]. 中国现代医学杂志, 2022, 32(6):32-37. |
| YANG G, YAO F, CHEN Y W, et al. Cerebral protective effect of etomidate in rats with spinal cord injury and its mechanism[J]. Chin J Modern Med, 2022, 32(6):32-37. doi:10.3969/j.issn.1005-8982.2022.06.006. | |
| [11] | 程亮亮, 田毅, 谭义文, 等. 基于PI3K/Akt/mTOR通路探究七氟醚麻醉对大鼠神经细胞凋亡的影响[J]. 西北药学杂志, 2024, 39(2):47-52. |
| CHENG L L, TIAN Y, TAN Y W, et al. Effect of sevoflurane anesthesia on neuronal apoptosis in rats based on PI3K/Akt/mTOR pathway[J]. Northwest Pharm J, 2024, 39(2):47-52. doi:10.3969/j.issn.1004-2407.2024.02.008. | |
| [12] | 田新磊, 朱珊, 赵文锦, 等. 橙皮苷抑制ROS/NLRP3通路改善小鼠急性支气管炎的作用机制研究[J]. 中药新药与临床药理, 2023, 34(4):501-508. |
| TIAN X L, ZHU S, ZHAO W J, et al. Research on the mechanism of hesperidin inhibiting ROS/NLRP3 pathway to improve acute bronchitis in mice[J]. Traditional Chinese Drug Research and Clinical Pharmacology, 2023, 34(4):501-508. doi:10.19378/j.issn.1003-9783.2023.04.010. | |
| [13] | DUAN H Q, WU Q L, YAO X, et al. Nafamostat mesilate attenuates inflammation and apoptosis and promotes locomotor recovery after spinal cord injury[J]. CNS Neurosci Ther, 2018, 24(5):429-438. doi:10.1111/cns.12801. |
| [14] | 黄乔, 李涛, 赵莉莉, 等. 脊髓损伤小鼠通过激活小胶质细胞MyD88通路促进神经元铁死亡[J]. 神经解剖学杂志, 2023, 39(1):71-78. |
| HUANG Q, LI T, ZHAO L L, et al. Activating MyD88 signal pathway in the microglia promotes neuronal ferroptosis after spinal cord injury[J]. Chin J Neur, 2023, 39(1):71-78. doi:10.16557/j.cnki.1000-7547.2023.01.010. | |
| [15] | 史旭, 李瑞语, 张兵, 等. 小胶质细胞极化介导炎症反应在脊髓损伤中的作用[J]. 中国组织工程研究, 2023, 27(1):121-129. |
| SHI X, LI R Y, ZHANG B, et al. Effect of inflammatory reaction mediated by microglia polarization in spinal cord injury[J]. Chin J Tissue Eng Res, 2023, 27(1):121-129. doi:10.12307/2022.731. | |
| [16] | 王领, 赵雪, 王金林. 七氟醚通过p38/MAPK信号通路抑制脂多糖诱导的肺泡巨噬细胞M1型极化[J]. 中国免疫学杂志, 2024, 40(9):1850-1855. |
| WANG L, ZHAO X, WANG J L. Sevoflurane inhibits M1-type polarization of alveolar macrophages induced by lipopolysaccharide through p38/MAPK signaling pathway[J]. Chinese Journal of Immunology, 2024, 40(9):1850-1855. doi:10.3969/j.issn.1000-484X.2024.09.010. | |
| [17] | WANG F, LI C, SHAO J, et al. Sevoflurane induces inflammation of microglia in hippocampus of neonatal rats by inhibiting Wnt/ β-Catenin/CaMKIV pathway[J]. J Pharmacol Sci, 2021, 146(2):105-115. doi:10.1016/j.jphs.2021.02.004. |
| [18] | ZHU Z, MA L. Sevoflurane induces inflammation in primary hippocampal neurons by regulating Hoxa5/Gm5106/miR-27b-3p positive feedback loop[J]. Bioengineered, 2021, 12(2):12215-12226. doi:10.1080/21655979.2021.2005927. |
| [19] | FAN H, TANG H B, CHEN Z, et al. Inhibiting HMGB1-RAGE axis prevents pro-inflammatory macrophages/microglia polarization and affords neuroprotection after spinal cord injury[J]. J Neuroinflammation, 2020, 17(1):295. doi:10.1186/s12974-020-01973-4. |
| [20] | 周雨昕, 马勇, 吴承杰, 等. 基于NLRP3炎症小体途径探究脊髓康促进脊髓损伤大鼠修复的机制[J]. 中华中医药杂志, 2022, 37(9):5385-5389. |
| ZHOU Y X, MA Y, WU C J, et al. Mechanism of Jisui Kang in promoting the repair of spinal cord injury rats based on the NLRP3 inflammasome pathway[J]. CJTCMP, 2022, 37(9):5385-5389. | |
| [21] | 王欣, 束传亮. miR-17-5p调控TXNIP/NLRP3信号通路对牙龈卟啉单胞菌LPS诱导的人牙龈成纤维细胞炎症反应的影响[J]. 中国病原生物学杂志, 2025, 20(4):460-465. |
| WANG X, SHU C L. The effect of miR-17-5p on Porphyromonas gingivalis LPS-induced inflammatory response of human gingival fibroblasts by regulating the TXNIP/NLRP3 signaling pathway[J]. J Path Bio, 2025, 20(4):460-465. doi:10.13350/j.cjpb.250410. | |
| [22] | 朱晶惠, 魏栋敏, 任淑婷, 等. 靶向抑制NLRP3炎性小体在脊髓损伤中的研究进展[J]. 天津医药, 2023, 51(7):781-784. |
| ZHU J H, WEI D M, REN S T, et al. Research progress of targeted inhibition of NLRP3 inflammasome in spinal cord injury[J]. Tianjin Med J, 2023, 51(7):781-784. doi:10.11958/20221718. | |
| [23] | LUO T, ZHOU X, QIN M, et al. Corilagin restrains NLRP3 inflammasome activation and pyroptosis through the ROS/TXNIP/NLRP3 pathway to prevent inflammation[J]. Oxid Med Cell Longev, 2022, 2022:1652244. doi:10.1155/2022/1652244. |
| [24] | LIU Y, WU H, WANG T, et al. Paeonol reduces microbial metabolite α-hydroxyisobutyric acid to alleviate the ROS/TXNIP/NLRP3 pathway-mediated endothelial inflammation in atherosclerosis mice[J]. Chin J Nat Med, 2023, 21(10):759-774. doi:10.1016/S1875-5364(23)60506-0. |
| [25] | ZHAO Q, LIU G, DING Q, et al. The ROS/TXNIP/NLRP3 pathway mediates LPS-induced microglial inflammatory response[J]. Cytokine, 2024, 181(1):156677. doi:10.1016/j.cyto.2024.156677. |
| [1] | 孔翠文, 路延双, 孙丽萍, 于芬芬. LncRNA SNHG14靶向miR-30a-5p对高糖诱导的足细胞损伤的影响[J]. 天津医药, 2025, 53(9): 903-909. |
| [2] | 李硕, 张云鹏, 黄艳, 曹美然, 贾兰芳, 胡桂才, 黄兰, 段书众. 系统性免疫炎症指数与IgA肾病患者临床病理特征的关系[J]. 天津医药, 2025, 53(9): 932-936. |
| [3] | 于晓猛, 索睿, 杜昕桃, 索莹, 阿亚拉·阿斯哈尔, 郝天旭, 赵晓赟. 人脐带来源的间充质干细胞对慢性间歇低氧小鼠的影响[J]. 天津医药, 2025, 53(8): 814-819. |
| [4] | 陈慧, 赵凯, 刘振国, 常瑛, 巨康璐. 金丝桃素通过调控NLRP3炎症小体改善小鼠急性胰腺炎的机制探讨[J]. 天津医药, 2025, 53(8): 820-825. |
| [5] | 李迎杰, 张航, 郝少婷, 许菲, 郭魏超, 宋惠, 王艳芬. 生脉散合加味升陷汤对气虚血瘀型射血分数降低的心力衰竭的疗效观察[J]. 天津医药, 2025, 53(8): 860-864. |
| [6] | 李诚诚, 李龙骧, 于立恒. 灯盏细辛注射液联合阿托伐他汀钙治疗急性缺血性脑卒中的疗效观察[J]. 天津医药, 2025, 53(8): 865-869. |
| [7] | 刘海威, 杨洁, 王力, 蒙诗波, 唐旭松, 刘成仁, 王永旺. 木犀草素通过NFE2L2/x-CT/GPX4信号轴调控ROS水平抑制胶质母细胞瘤[J]. 天津医药, 2025, 53(7): 673-678. |
| [8] | 陈国庆, 严琴, 陈明九, 王允琴. 撮风散加味治疗前循环脑梗死急性期风痰阻络证的临床研究[J]. 天津医药, 2025, 53(7): 761-764. |
| [9] | 丁杨娟, 夏时海, 许威, 高庆红, 刘涛涛. 氧化应激及抗氧化剂在急性胰腺炎中的研究进展[J]. 天津医药, 2025, 53(4): 444-448. |
| [10] | 张晶晶, 肖丽丽, 张鑫杰. 复方苦参注射液联合芬太尼透皮贴治疗癌性疼痛的疗效观察[J]. 天津医药, 2025, 53(3): 317-320. |
| [11] | 魏婵娟, 夏晓爽, 冯文军, 李新. 中性粒细胞与淋巴细胞比值对急性缺血性脑卒中患者静脉溶栓预后不良的预测价值[J]. 天津医药, 2025, 53(2): 135-140. |
| [12] | 翟书鹏, 贾航, 苗统, 魏康康, 周国平. 帕金森病患者血清Trx1、PDCD4、AQP4水平与认知功能的关系[J]. 天津医药, 2025, 53(2): 146-150. |
| [13] | 张小庆, 赵慧霞, 曹鄂洪, 张连霞, 宫秀娟. PIV、HCAR、PCT/PLT在老年COPD肺部感染中的应用价值[J]. 天津医药, 2025, 53(2): 170-175. |
| [14] | 刘鸿雁, 李雅晨, 盛格格, 朱海丽, 吴基良. 紫花前胡苷缓解神经病理性疼痛的机制探讨[J]. 天津医药, 2025, 53(1): 35-41. |
| [15] | 蒋晓涵, 曹杰, 刘丹丹, 薛丹, 郭志国. aMAP评分联合RAR及PIV构建慢性肝病患者肝细胞癌发生风险的预测模型[J]. 天津医药, 2025, 53(1): 42-46. |
| 阅读次数 | ||||||
|
全文 |
|
|||||
|
摘要 |
|
|||||