天津医药 ›› 2023, Vol. 51 ›› Issue (4): 387-391.doi: 10.11958/20221106

• 实验研究 • 上一篇    下一篇

神经胶质成熟因子-β诱导糖尿病大鼠视网膜Müller细胞炎症反应的机制研究

罗影1(), 单伟2, 张俏1,()   

  1. 1 锦州医科大学附属第一医院神经内科(邮编121001)
    2 锦州医科大学解剖学教研室
  • 收稿日期:2022-07-14 修回日期:2022-09-29 出版日期:2023-04-15 发布日期:2023-04-20
  • 通讯作者: 张俏 E-mail:luo19790116@163.com;594926970@qq.com
  • 作者简介:罗影(1979),女,主管护师,主要从事糖尿病视网膜病变的发病机制及治疗方面研究。E-mail:luo19790116@163.com
  • 基金资助:
    辽宁省教育厅科学研究经费资助项目(JYTJCZR2020087)

Study on the mechanism of glial maturation factor-β induced inflammatory response of retinal Müller cells in diabetes rats

LUO Ying1(), SHAN Wei2, ZHANG Qiao1,()   

  1. 1 Department of Neurology, the First Affiliated Hospital of Jinzhou Medical University, Jinzhou 121001, China
    2 Department of Anatomy, Jinzhou Medical University
  • Received:2022-07-14 Revised:2022-09-29 Published:2023-04-15 Online:2023-04-20
  • Contact: ZHANG Qiao E-mail:luo19790116@163.com;594926970@qq.com

摘要:

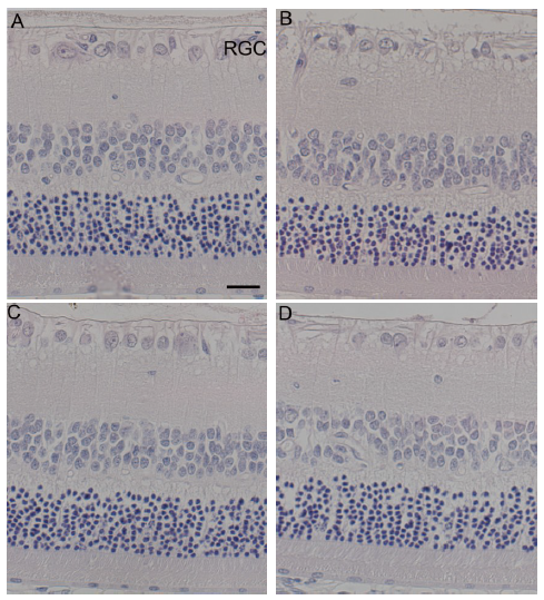
目的 研究神经胶质成熟因子-β(GMFB)对糖尿病大鼠视网膜Müller细胞活化的作用及相关机制。方法 SPF级雄性SD大鼠60只,采用腹腔注射链脲佐菌素(STZ,55 mg/kg)制备糖尿病模型后分为STZ组、STZ+AAV-GMFB组和STZ+AAV-GMFB+K252a组,每组15只。另取15只正常大鼠作为CON组。STZ+AAV-GMFB组和STZ+AAV-GMFB+K252a组大鼠于成模8周后玻璃体腔单次注射AAV-GMFB腺病毒载体5 μL。STZ+AAV-GMFB+K252a组在注射腺病毒基础上给予腹腔注射25 μg/(kg·d)的K252a。12周后,免疫荧光检测GMFB在Müller细胞中的表达,免疫组织化学染色检测视网膜胶质纤维酸性蛋白(GFAP)的表达,酶联免疫吸附试验检测视网膜炎性因子肿瘤坏死因子-α(TNF-α)、白细胞介素(IL)-1β、IL-6的表达,Western blot检测GMFB、脑源性神经营养因子(BDNF)及磷酸化酪氨酸激酶受体B(p-TrkB)蛋白相对表达水平。HE染色检测视网膜病理改变。结果 GMFB在Müller细胞中大量表达。与CON组比较,STZ组GMFB、GFAP表达及TNF-α、IL-1β、IL-6水平增加,BDNF、p-TrkB蛋白表达减少,视网膜神经节细胞(RGC)排列紊乱,数量减少;与STZ组比较,STZ+AAV-GMFB组GMFB、GFAP表达及TNF-α、IL-1β、IL-6水平降低,BDNF、p-TrkB蛋白表达增加,RGC排列整齐,数量增加。TrkB抑制剂K252a能大部分逆转AAV-GMFB的保护作用。结论 糖尿病大鼠视网膜GMFB表达增加,诱导了Müller细胞活化,加重了炎症反应,该作用与抑制BDNF/TrkB信号通路有关。

关键词: 糖尿病, 糖尿病视网膜病变, 炎症, 神经胶质成熟因子-β, Müller细胞, BDNF/TrkB信号通路

Abstract:

Objective To study the activation and its related mechanisms of glial maturation factor-β(GMFB) on retinal MüLler cells in diabetes rats. Methods Sixty SPF grade male SD rats were divided into the streptozotocin (STZ) group, the STZ+AAV-GMFB group and the STZ+AAV-GMFB+K252a (TrkB inhibitor) group with 15 rats in each group. Another 15 normal rats were taken as the CON group. Rats in the STZ+AAV-GMFB group and the STZ+AAV-GMFB+K252a group were injected with AAV-GMFB adenovirus vector 5 μL in vitreous cavity 8 weeks after modeling. The STZ+AAV-GMFB+K252a group received intraperitoneal injection of K252a (25 μg·kg-1·d-1). After 12 weeks, the expression of GMFB in Müller cells was detected by immunofluorescence, the expression of glial fibrillary acidic protein (GFAP) in retina was detected by immunohistochemistry, and the retinal inflammatory factor tumor necrosis factor- α (TNF-α), interleukin (IL)-1β and IL-6 were detected by ELISA. The relative expression levels of GMFB, brain derived neurotrophic factor (BDNF) and its tyrosine kinase receptor B (p-TrkB) were detected by Western blot assay. HE staining was used to detect the pathological changes of retina. Results GMFB was expressed in Müller cells. Compared with the CON group, the expression levels of GMFB, GFAP and TNF-α, IL-1β, IL-6 levels increased, the number of retinal ganglion cells (RGC) and the expression levels of BDNF, p-TrkB decreased in the STZ group. Compared with the STZ group, the expression levels of GMFB, GFAP and TNF-α, IL-1β and IL-6 levels decreased, the expression of BDNF, p-TrkB and the number of RGC were increased in the STZ+AAV-GMFB group. However, K252a can largely reverse the protective effect of AAV-GMFB. Conclusion The expression of GMFB in the retina of rats with diabetes is increased, which can induce the activation of Müller cells and aggravate the inflammatory response. This effect is related to the inhibition of BDNF/TrkB signal pathway.

Key words: diabetes mellitus, diabetic retinopathy, inflammation, glial maturation factor-β, Müller cells, BDNF/TrkB signaling pathway

中图分类号: