天津医药 ›› 2025, Vol. 53 ›› Issue (9): 993-999.doi: 10.11958/20251926

• 新技术交流 • 上一篇    下一篇

经导管二尖瓣“瓣中瓣”置换术治疗人工二尖瓣生物瓣衰败的安全性和有效性分析

牛书林1(), 王宙明1, 刘茗宇1, 关欣1, 李梦琦2, 田轶魁2, 杨振文1, 杜鑫1,()   

  1. 1 天津医科大学总医院心血管内科(邮编300052)
    2 天津医科大学总医心血管外科(邮编300052)
  • 收稿日期:2025-05-13 修回日期:2025-06-10 出版日期:2025-09-15 发布日期:2025-09-16
  • 通讯作者: E-mail:xindu@tmu.edu.cn
  • 作者简介:牛书林(1992),女,医师,主要从事瓣膜病及超声心动图方面研究。E-mail:18345198921@163.com
  • 基金资助:
    国家自然科学基金面上项目(82470256)

Analysis of the safety and efficacy of transcatheter mitral valve-in-valve replacement for the bioprosthetic mitral valve failure

NIU Shulin1(), WANG Zhouming1, LIU Mingyu1, GUAN Xin1, LI Mengqi2, TIAN Yikui2, YANG Zhenwen1, DU Xin1,()   

  1. 1 Department of Cardiovasology, Tianjin Medical University General Hospital, Tianjin 300052, China
    2 Department of Cardiac Surgery, Tianjin Medical University General Hospital, Tianjin 300052, China
  • Received:2025-05-13 Revised:2025-06-10 Published:2025-09-15 Online:2025-09-16
  • Contact: E-mail: xindu@tmu.edu.cn

摘要:

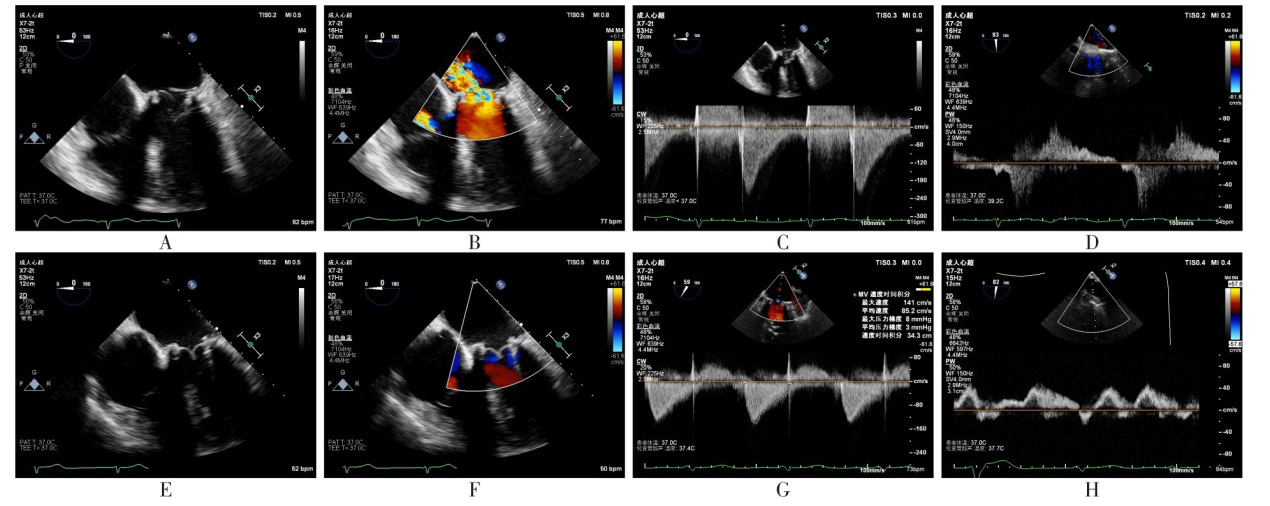
目的 评估经导管二尖瓣“瓣中瓣”置换术(ViV-TMVR)治疗人工二尖瓣生物瓣衰败的安全性和有效性。方法 选取17例因二尖瓣生物瓣衰败需行ViV-TMVR的患者,收集患者的年龄、性别、体质量指数(BMI)、二尖瓣生物瓣使用年限,合并症(高血压、冠心病、陈旧性脑梗死、心房颤动、糖尿病),美国纽约心脏病学会(NYHA)心功能分级;术前超声心动图评估左心室舒张末期内径(LVEDD)、右心房内径(RA)、肺动脉收缩压(PASP)、左心室射血分数(LVEF),二尖瓣生物瓣衰败类型,二尖瓣生物瓣反流程度、狭窄程度,术前生物瓣峰值流速、平均跨瓣压差,三尖瓣反流程度;美国胸外科医师协会(STS)评分;术中穿刺路径、瓣膜类型、术中并发症、手术时间、术后即刻经食管超声心动图(TEE)评估(瓣中瓣峰值流速、瓣中瓣平均跨瓣压差、瓣中瓣反流或瓣周反流);术后进入重症监护室(ICU)/心血管内科重症监护室(CCU)的时间,术后住院时间,以及术后30 d超声心动图复查结果,NYHA心功能分级。根据使用瓣膜不同分为国产纽脉瓣膜组(国产组,10例)与进口爱德华瓣膜组(进口组,7例)。分析ViV-TMVR的安全性和有效性,并对比国产瓣膜和进口瓣膜的效果。结果 17例患者均成功通过穿刺房间隔途径接受ViV-TMVR治疗,且未发生严重并发症,术后30 d再住院率为0。国产组与进口组手术时间、瓣中瓣瓣周轻度反流、术后即刻及术后30 d瓣中瓣峰值流速、术后即刻及术后30 d瓣中瓣平均跨瓣压差、术后ICU/CCU监护时间、术后住院时间,术后30 d NYHA心功能Ⅲ—Ⅳ级患者占比差异无统计学意义。术后30 d随访中1例患者因脑出血死亡,主要不良心血管事件(MACE)为脑出血1例。相较于术前,术后即刻及术后30 d瓣中瓣峰值流速、瓣中瓣平均跨瓣压差、LVEF、PASP下降;相较于术后即刻,术后30 d瓣中瓣峰值流速、平均跨瓣压差升高(P<0.01),LVEF、PASP差异无统计学意义。结论 经房间隔穿刺ViV-TMVR对于生物瓣衰败患者短期安全且有效,且国产瓣膜与进口瓣膜疗效相当。

关键词: 二尖瓣, 心脏瓣膜疾病, 心脏瓣膜假体植入, 房间隔, 导管, 生物瓣衰败, “瓣中瓣”置换术

Abstract:

Objective To evaluate the safety and efficacy of transcatheter mitral valve-in-valve replacement (ViV-TMVR) in the treatment of bioprosthetic mitral valve failure. Methods Seventeen patients with bioprosthetic mitral valve failure who required ViV-TMVR were selected. Preoperative data including age, gender, body mass index (BMI), usage time of bioprosthetic mitral valve, comorbidities (hypertension, coronary heart disease, old cerebral infarction, atrial fibrillation and diabetes) and New York Heart Association (NYHA) functional class were recorded, and left ventricular end-diastolic diameter (LVEDD), right atrial diameter (RA), pulmonary artery systolic pressure (PASP), left ventricular ejection fraction (LVEF), type of bioprosthetic mitral valve failure, degree of bioprosthetic mitral valve regurgitation and stenosis, peak velocity and mean transvalvular pressure gradient of the bioprosthetic mitral valve, and Society of Thoracic Surgeons (STS) score were also collected. Intraoperative data included puncture route, valve type, intraoperative complications, operation time and immediate postoperative transesophageal echocardiography (TEE) assessment (peak velocity and mean transvalvular pressure gradient of the valve-in-valve, valve-in-valve regurgitation or paravalvular regurgitation) were collected. Postoperative data included time in the intensive care unit (ICU)/cardiovascular intensive care unit (CCU), total postoperative hospital stay and 30-day postoperative echocardiographic results and NYHA functional class were recorded. Patients were divided into the domestic NewMed valve group (10 cases) and the imported Edwards valve group (7 cases) based on the type of valve used. The safety and efficacy of ViV-TMVR were analyzed, and the efficacy of domestic valves and imported valves was compared. Results All 17 patients successfully underwent ViV-TMVR via the transseptal approach without serious complications, and the 30-day readmission rate was 0%. There were no significant differences in operation time of domestic valves and imported valves, mild paravalvular regurgitation of the valve-in-valve, peak velocity and mean transvalvular pressure gradient of the valve-in-valve immediately after surgery and at 30-day postoperatively, time in ICU/CCU, total postoperative hospital stay and the proportion of patients with NYHA functional class Ⅲ-Ⅳ at 30-day postoperatively between the domestic valve group and the imported valve group. During the 30-day follow-up, one patient died of cerebral hemorrhage, and one patient had major adverse cardiovascular events (MACE, cerebral hemorrhage). Compared with before the operation, the peak velocity and mean transvalvular pressure gradient of the valve-in-valve, LVEF, and PASP decreased immediately after surgery and at 30 days after surgery. Compared with immediately after surgery, the peak velocity and mean transvalvular pressure gradient of the valve-in-valve increased at 30 days postoperatively (P < 0.01), while there were no significant differences in LVEF and PASP. Conclusion Transseptal ViV-TMVR is safe and effective in the short term for patients with bioprosthetic mitral valve failure who are at high risk of re-thoracotomy, and the efficacy of domestic valves is comparable to that of imported valves.

Key words: mitral valve, heart valve diseases, heart valve prosthesis implantation, atrial septum, catheters, bioprosthetic mitral valve failure, "valve-in-valve" replacement

中图分类号: