
Tianjin Medical Journal ›› 2023, Vol. 51 ›› Issue (2): 131-138.doi: 10.11958/20220849
• Cell and Molecular Biology • Previous Articles Next Articles
YANG Juan(
), ZHANG Houfen, WU Song, CHEN Ying, LUO Huarong△(
)
Received:2022-05-27
Revised:2022-08-09
Published:2023-02-15
Online:2023-02-24
Contact:
△E-mail:YANG Juan, ZHANG Houfen, WU Song, CHEN Ying, LUO Huarong. Effects of lncRNA OIP5-AS1 regulating miR-25-3p/SOX4 axis on the biological process of human renal tubular epithelial cells induced by high glucose[J]. Tianjin Medical Journal, 2023, 51(2): 131-138.
CLC Number:
| 基因名称 | 引物序列(5'→3') | 产物大小 (bp) |
|---|---|---|
| lncRNA OIP5-AS1 | 上游:TGCGAAGATGGCGGAGTAAG | 285 |
| 下游:TAGTTCCTCTCCTCTGGCCG | ||
| miR-25-3p | 上游:GCGCATTGCACTTGTCTCG | 139 |
| 下游:AGTGCAGGGTCCGAGGTATT | ||
| SOX4 | 上游:GTGAGCGAGATGATCTCGGG | 216 |
| 下游:CAGGTTGGAGATGCTGGACTC | ||
| U6 | 上游:GCTTCGGCAGCACATA | 89 |
| 下游:ATGGAACGCTTCACGA | ||
| GAPDH | 上游:CACCCACTCCTCCACCTTTG | 197 |
| 下游:CCACCACCCTGTTGCTGTAG |
Tab.1 qPCR的引物序列
| 基因名称 | 引物序列(5'→3') | 产物大小 (bp) |
|---|---|---|
| lncRNA OIP5-AS1 | 上游:TGCGAAGATGGCGGAGTAAG | 285 |
| 下游:TAGTTCCTCTCCTCTGGCCG | ||
| miR-25-3p | 上游:GCGCATTGCACTTGTCTCG | 139 |
| 下游:AGTGCAGGGTCCGAGGTATT | ||
| SOX4 | 上游:GTGAGCGAGATGATCTCGGG | 216 |
| 下游:CAGGTTGGAGATGCTGGACTC | ||
| U6 | 上游:GCTTCGGCAGCACATA | 89 |
| 下游:ATGGAACGCTTCACGA | ||
| GAPDH | 上游:CACCCACTCCTCCACCTTTG | 197 |
| 下游:CCACCACCCTGTTGCTGTAG |
| 组别 | lncRNA OIP5-AS1 | miR-25-3p | SOX4 mRNA |
|---|---|---|---|
| NG组 | 1.00±0.00 | 1.00±0.00 | 1.00±0.00 |
| HG组 | 3.25±0.41a | 0.37±0.06a | 4.05±0.52a |
| HG+si-NC组 | 3.40±0.38 | 0.34±0.05 | 4.11±0.49 |
| HG+si-OIP5-AS1组 | 1.56±0.25bc | 0.82±0.10bc | 2.26±0.30bc |
| HG+miR-NC组 | 3.37±0.42 | 0.35±0.06 | 4.08±0.54 |
| HG+miR-25-3p组 | 3.12±0.39 | 0.85±0.09be | 2.15±0.28be |
| HG+si-OIP5-AS1+ inhibitor-NC组 | 1.48±0.23 | 0.86±0.10 | 2.20±0.36 |
| HG+si-OIP5-AS1+ miR-25-3p inhibitor组 | 1.61±0.27b | 0.40±0.05df | 3.74±0.42df |
| F | 30.168** | 47.386** | 26.692** |
Tab.2 各组lncRNA OIP5-AS1、miR-25-3p和SOX4 mRNA水平比较 (n=3,$\bar{x}±s$)
| 组别 | lncRNA OIP5-AS1 | miR-25-3p | SOX4 mRNA |
|---|---|---|---|
| NG组 | 1.00±0.00 | 1.00±0.00 | 1.00±0.00 |
| HG组 | 3.25±0.41a | 0.37±0.06a | 4.05±0.52a |
| HG+si-NC组 | 3.40±0.38 | 0.34±0.05 | 4.11±0.49 |
| HG+si-OIP5-AS1组 | 1.56±0.25bc | 0.82±0.10bc | 2.26±0.30bc |
| HG+miR-NC组 | 3.37±0.42 | 0.35±0.06 | 4.08±0.54 |
| HG+miR-25-3p组 | 3.12±0.39 | 0.85±0.09be | 2.15±0.28be |
| HG+si-OIP5-AS1+ inhibitor-NC组 | 1.48±0.23 | 0.86±0.10 | 2.20±0.36 |
| HG+si-OIP5-AS1+ miR-25-3p inhibitor组 | 1.61±0.27b | 0.40±0.05df | 3.74±0.42df |
| F | 30.168** | 47.386** | 26.692** |
| 组别 | 细胞活力(%) | LDH(U/L) | 凋亡率(%) |
|---|---|---|---|
| NG组 | 100.00±0.00 | 116.25±18.83 | 4.39±0.76 |
| HG组 | 39.32±6.05a | 304.17±32.50a | 25.08±3.10a |
| HG+si-NC组 | 36.81±5.74 | 312.80±33.26 | 27.12±3.39 |
| HG+si-OIP5-AS1组 | 71.40±8.62bc | 145.35±20.49bc | 14.50±2.08bc |
| HG+miR-NC组 | 37.65±5.94 | 308.17±31.36 | 26.45±2.93 |
| HG+miR-25-3p组 | 74.33±9.15be | 139.65±19.04be | 12.87±1.86be |
| HG+si-OIP5-AS1+ inhibitor-NC组 | 72.92±8.76 | 140.80±22.75 | 13.29±1.92 |
| HG+si-OIP5-AS1+ miR-25-3p inhibitor组 | 45.08±6.35df | 269.42±30.28df | 21.64±2.45df |
| F | 34.194** | 32.929** | 33.303** |
Tab.3 各组细胞活力、LDH活性和凋亡率比较 (n=3,$\bar{x}±s$)
| 组别 | 细胞活力(%) | LDH(U/L) | 凋亡率(%) |
|---|---|---|---|
| NG组 | 100.00±0.00 | 116.25±18.83 | 4.39±0.76 |
| HG组 | 39.32±6.05a | 304.17±32.50a | 25.08±3.10a |
| HG+si-NC组 | 36.81±5.74 | 312.80±33.26 | 27.12±3.39 |
| HG+si-OIP5-AS1组 | 71.40±8.62bc | 145.35±20.49bc | 14.50±2.08bc |
| HG+miR-NC组 | 37.65±5.94 | 308.17±31.36 | 26.45±2.93 |
| HG+miR-25-3p组 | 74.33±9.15be | 139.65±19.04be | 12.87±1.86be |
| HG+si-OIP5-AS1+ inhibitor-NC组 | 72.92±8.76 | 140.80±22.75 | 13.29±1.92 |
| HG+si-OIP5-AS1+ miR-25-3p inhibitor组 | 45.08±6.35df | 269.42±30.28df | 21.64±2.45df |
| F | 34.194** | 32.929** | 33.303** |
| 组别 | MDA(μmol/L) | SOD(U/mL) | CAT(U/mL) | ROS(%) |
|---|---|---|---|---|
| NG组 | 5.85±1.02 | 39.26±5.11 | 1.37±0.15 | 100.00±0.00 |
| HG组 | 24.63±2.94a | 13.60±2.24a | 0.45±0.08a | 315.42±38.90a |
| HG+si-NC组 | 27.51±3.12 | 12.85±2.13 | 0.39±0.06 | 320.16±35.54 |
| HG+si-OIP5-AS1组 | 13.28±2.07bc | 27.36±3.29bc | 0.92±0.13bc | 174.25±26.12bc |
| HG+miR-NC组 | 25.49±3.35 | 13.18±2.30 | 0.42±0.07 | 318.30±39.37 |
| HG+miR-25-3p组 | 11.60±1.98be | 29.54±4.12be | 1.03±0.14be | 163.24±21.08be |
| HG+si-OIP5-AS1+inhibitor-NC组 | 12.32±2.02 | 28.90±3.67 | 0.96±0.11 | 170.81±24.15 |
| HG+si-OIP5-AS1+miR-25-3p inhibitor组 | 21.15±2.36df | 16.35±2.49df | 0.52±0.08df | 285.64±32.90df |
| F | 31.316** | 26.829** | 34.017** | 26.143** |
Tab.4 各组细胞中MDA、ROS水平和SOD、CAT活性比较 (n=3,$\bar{x}±s$)
| 组别 | MDA(μmol/L) | SOD(U/mL) | CAT(U/mL) | ROS(%) |
|---|---|---|---|---|
| NG组 | 5.85±1.02 | 39.26±5.11 | 1.37±0.15 | 100.00±0.00 |
| HG组 | 24.63±2.94a | 13.60±2.24a | 0.45±0.08a | 315.42±38.90a |
| HG+si-NC组 | 27.51±3.12 | 12.85±2.13 | 0.39±0.06 | 320.16±35.54 |
| HG+si-OIP5-AS1组 | 13.28±2.07bc | 27.36±3.29bc | 0.92±0.13bc | 174.25±26.12bc |
| HG+miR-NC组 | 25.49±3.35 | 13.18±2.30 | 0.42±0.07 | 318.30±39.37 |
| HG+miR-25-3p组 | 11.60±1.98be | 29.54±4.12be | 1.03±0.14be | 163.24±21.08be |
| HG+si-OIP5-AS1+inhibitor-NC组 | 12.32±2.02 | 28.90±3.67 | 0.96±0.11 | 170.81±24.15 |
| HG+si-OIP5-AS1+miR-25-3p inhibitor组 | 21.15±2.36df | 16.35±2.49df | 0.52±0.08df | 285.64±32.90df |
| F | 31.316** | 26.829** | 34.017** | 26.143** |
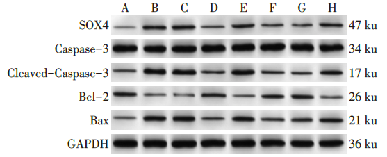
| 组别 | SOX4 | Cleaved-Caspase-3/Caspase-3 | Bcl-2 | Bax |
|---|---|---|---|---|
| NG组 | 0.13±0.02 | 0.20±0.04 | 0.48±0.06 | 0.15±0.02 |
| HG组 | 0.50±0.06a | 0.72±0.08a | 0.16±0.03a | 0.63±0.07a |
| HG+si-NC组 | 0.54±0.07 | 0.75±0.09 | 0.13±0.02 | 0.65±0.08 |
| HG+si-OIP5-AS1组 | 0.23±0.04bc | 0.34±0.05bc | 0.37±0.05bc | 0.28±0.04bc |
| HG+miR-NC组 | 0.52±0.06 | 0.73±0.08 | 0.15±0.02 | 0.64±0.07 |
| HG+miR-25-3p组 | 0.20±0.03be | 0.30±0.05be | 0.40±0.04be | 0.25±0.04be |
| HG+si-OIP5-AS1+inhibitor-NC组 | 0.21±0.04 | 0.32±0.04 | 0.39±0.05 | 0.27±0.04 |
| HG+si-OIP5-AS1+miR-25-3p inhibitor组 | 0.45±0.05df | 0.65±0.07df | 0.21±0.03df | 0.56±0.06df |
| F | 36.323** | 37.743** | 35.622** | 42.279** |
Tab.5 各组细胞中SOX4、Caspase-3、Cleaved-Caspase-3、Bcl-2、Bax蛋白水平比较 (n=3,$\bar{x}±s$)
| 组别 | SOX4 | Cleaved-Caspase-3/Caspase-3 | Bcl-2 | Bax |
|---|---|---|---|---|
| NG组 | 0.13±0.02 | 0.20±0.04 | 0.48±0.06 | 0.15±0.02 |
| HG组 | 0.50±0.06a | 0.72±0.08a | 0.16±0.03a | 0.63±0.07a |
| HG+si-NC组 | 0.54±0.07 | 0.75±0.09 | 0.13±0.02 | 0.65±0.08 |
| HG+si-OIP5-AS1组 | 0.23±0.04bc | 0.34±0.05bc | 0.37±0.05bc | 0.28±0.04bc |
| HG+miR-NC组 | 0.52±0.06 | 0.73±0.08 | 0.15±0.02 | 0.64±0.07 |
| HG+miR-25-3p组 | 0.20±0.03be | 0.30±0.05be | 0.40±0.04be | 0.25±0.04be |
| HG+si-OIP5-AS1+inhibitor-NC组 | 0.21±0.04 | 0.32±0.04 | 0.39±0.05 | 0.27±0.04 |
| HG+si-OIP5-AS1+miR-25-3p inhibitor组 | 0.45±0.05df | 0.65±0.07df | 0.21±0.03df | 0.56±0.06df |
| F | 36.323** | 37.743** | 35.622** | 42.279** |
| [1] | SAMSU N. Diabetic nephropathy:Challenges in pathogenesis,diagnosis,and treatment[J]. Biomed Res Int, 2021, 2021:1497449. doi:10.1155/2021/1497449. |
| [2] | FENG J, XIE L, YU X, et al. Perilipin 5 ameliorates high-glucose-induced podocyte injury via Akt/GSK-3β/Nrf2-mediated suppression of apoptosis,oxidative stress,and inflammation[J]. Biochem Biophys Res Commun, 2021, 544:22-30. doi:10.1016/j.bbrc.2021.01.069. |
| [3] | WANG Z, LI Y, WANG Y, et al. Pyrroloquinoline quinine protects HK-2 cells against high glucose-induced oxidative stress and apoptosis through Sirt3 and PI3K/Akt/FoxO3a signaling pathway[J]. Biochem Biophys Res Commun, 2019, 508(2):398-404. doi:10.1016/j.bbrc.2018.11.140. |
| [4] | CHEN H, JIN G. Downregulation of Salusin-β protects renal tubular epithelial cells against high glucose-induced inflammation,oxidative stress,apoptosis and lipid accumulation via suppressing miR-155-5p[J]. Bioengineered, 2021, 12(1):6155-6165. doi:10.1080/21655979.2021.1972900. |
| [5] | WU Z, LIU Y, WEI L, et al. LncRNA OIP5-AS1 promotes breast cancer progression by regulating miR-216a-5p/GLO1[J]. J Surg Res, 2021, 257:501-510. doi:10.1016/j.jss.2020.07.067. |
| [6] | TAO Y, WAN X, FAN Q, et al. Long non-coding RNA OIP5-AS1 promotes the growth of gastric cancer through the miR-367-3p/HMGA2 axis[J]. Dig Liver Dis, 2020, 52(7):773-779. doi:10.1016/j.dld.2019.11.017. |
| [7] | LI Y, LIU L. LncRNA OIP5-AS1 signatures as a biomarker of gestational diabetes mellitus and a regulator on trophoblast cells[J]. Gynecol Obstet Invest, 2021, 86(6):509-517. doi:10.1159/000520340. |
| [8] | SUN H, WANG C, ZHOU Y, et al. Long noncoding RNA OIP5-AS1 overexpression promotes viability and inhibits high glucose-induced oxidative stress of cardiomyocytes by targeting MicroRNA-34a/SIRT1 axis in diabetic cardiomyopathy[J]. Endocr Metab Immune Disord Drug Targets, 2021, 21(11):2017-2027. doi:10.2174/1871530321666201230090742. |
| [9] | CAO N J, LIU H N, DONG F, et al. Integrative analysis of competitive endogenous RNA network reveals the regulatory role of non-coding RNAs in high-glucose-induced human retinal endothelial cells[J]. PeerJ, 2020, 8:e9452. doi:10.7717/peerj.9452. |
| [10] | FU J X, SUN G Q, WANG H L, et al. LncRNA OIP5-AS1 induces epithelial-to-mesenchymal transition and renal fibrosis in diabetic nephropathy via binding to miR-30c-5p[J]. J Biol Regul Homeost Agents, 2020, 34(3):961-968. doi:10.23812/20-199-A-68. |
| [11] | CHE Z, XUEQIN J, ZHANG Z. LncRNA OIP5-AS1 accelerates intervertebral disc degeneration by targeting miR-25-3p[J]. Bioengineered, 2021, 12(2):11201-11212. doi:10.1080/21655979.2021.2007697. |
| [12] | GHOLAMINEJAD A, ABDUL TEHRANI H, GHOLAMI FESHARAKI M. Identification of candidate microRNA biomarkers in diabetic nephropathy:A meta-analysis of profiling studies[J]. J Nephrol, 2018, 31(6):813-831. doi:10.1007/s40620-018-0511-5. |
| [13] | CHEN X, YANG J, WANG Y. LncRNA JPX promotes cervical cancer progression by modulating miR-25-3p/SOX4 axis[J]. Cancer Cell Int, 2020, 20:441. doi:10.1186/s12935-020-01486-3. |
| [14] | RAGVIN A, MORO E, FREDMAN D, et al. Long-range gene regulation links genomic type 2 diabetes and obesity risk regions to HHEX,SOX4,and IRX3[J]. Proc Natl Acad Sci U S A, 2010, 107(2):775-780. doi:10.1073/pnas.0911591107. |
| [15] | COLLINS S C, DO H W, HASTOY B, et al. Increased expression of the diabetes gene SOX4 reduces insulin secretion by impaired fusion pore expansion[J]. Diabetes, 2016, 65(7):1952-1961. doi:10.2337/db15-1489. |
| [16] | ZHU B, CHENG X, JIANG Y, et al. Silencing of KCNQ1OT1 decreases oxidative stress and pyroptosis of renal tubular epithelial cells[J]. Diabetes Metab Syndr Obes, 2020, 13:365-375. doi:10.2147/DMSO.S225791. |
| [17] | DUA T K, JOARDAR S, CHAKRABORTY P, et al. Myricitrin,a glycosyloxyflavone in myrica esculenta bark ameliorates diabetic nephropathy via improving glycemic status,reducing oxidative stress,and suppressing inflammation[J]. Molecules, 2021, 26(2):258. doi:10.3390/molecules26020258. |
| [18] | MA L, WU F, SHAO Q, et al. Baicalin alleviates oxidative stress and inflammation in diabetic nephropathy via Nrf2 and MAPK signaling pathway[J]. Drug Des Devel Ther, 2021, 15:3207-3221. doi:10.2147/DDDT.S319260. |
| [19] | WARREN C, WONG-BROWN M W, BOWDEN N A. BCL-2 family isoforms in apoptosis and cancer[J]. Cell Death Dis, 2019, 10(3):177. doi:10.1038/s41419-019-1407-6. |
| [20] | GUO J, LI J, WEI H, et al. Maackiain protects the kidneys of type 2 diabetic rats via modulating the Nrf2/HO-1 and TLR4/NF-κB/Caspase-3 pathways[J]. Drug Des Devel Ther, 2021, 15:4339-4358. doi:10.2147/DDDT.S326975. |
| [21] | ALKAN A H, AKGÜL B. Endogenous miRNA sponges[J]. Methods Mol Biol, 2022, 2257:91-104. doi:10.1007/978-1-0716-1170-8_5. |
| [22] | HADDAD G, KÖLLING M, WEGMANN U A, et al. Renal AAV2-mediated overexpression of long non-coding RNA H19 attenuates ischemic acute kidney injury through sponging of microRNA-30a-5p[J]. J Am Soc Nephrol, 2021, 32(2):323-341. doi:10.1681/ASN.2020060775. |
| [23] | YANG Y, ZHOU J, LI W H, et al. LncRNA NEAT1 regulated diabetic retinal epithelial-mesenchymal transition through regulating miR-204/SOX4 axis[J]. PeerJ, 2021, 9:e11817. doi:10.7717/peerj.11817. |
| Viewed | ||||||
|
Full text |
|
|||||
|
Abstract |
|
|||||