
Tianjin Medical Journal ›› 2024, Vol. 52 ›› Issue (12): 1233-1238.doi: 10.11958/20240846
• Cell and Molecular Biology • Next Articles
MIAO Chunbo(
), XU Yingchun△(
), CHANG Yifang
Received:2024-07-01
Revised:2024-09-23
Published:2024-12-15
Online:2024-12-17
Contact:
△E-mail:MIAO Chunbo, XU Yingchun, CHANG Yifang. Phlorizin allevistes oxidative stress and apoptosis of rat cardiac myocytes H9C2 induced by hypoxia/reoxygenation by down-regulating miR-125a-5p[J]. Tianjin Medical Journal, 2024, 52(12): 1233-1238.
CLC Number:
| 基因名称 | 引物序列(5'→3') | 产物大小/bp |
|---|---|---|
| miR-125 a-5p | 上游:ACGGTGCTGGATGTGG CCTTT | 167 |
| 下游:GGCCAACCGCGAGAAGATGT TTTTTTTT | ||
| U6 | 上游:GCTAGAGGCGCTGCCGAC | 93 |
| 下游:CGTAGAGCTCGCTGGGACG |
Tab.1 Primers sequence information
| 基因名称 | 引物序列(5'→3') | 产物大小/bp |
|---|---|---|
| miR-125 a-5p | 上游:ACGGTGCTGGATGTGG CCTTT | 167 |
| 下游:GGCCAACCGCGAGAAGATGT TTTTTTTT | ||
| U6 | 上游:GCTAGAGGCGCTGCCGAC | 93 |
| 下游:CGTAGAGCTCGCTGGGACG |
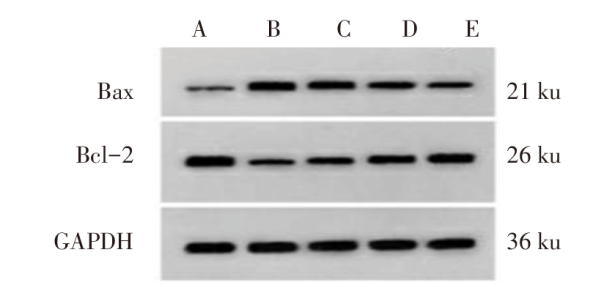
| 组别 | LDH/(U/L) | Bax | Bcl-2 | |
|---|---|---|---|---|
| con组 | 129.44±15.66 | 0.13±0.01 | 0.78±0.06 | |
| H/R组 | 535.55±25.62a | 0.67±0.05a | 0.18±0.02a | |
| H/R+根皮苷L组 | 444.65±27.05b | 0.52±0.04b | 0.29±0.03b | |
| H/R+根皮苷M组 | 331.67±23.14bc | 0.38±0.03bc | 0.46±0.04bc | |
| H/R+根皮苷H组 | 251.73±17.65bcd | 0.24±0.02bcd | 0.56±0.05bcd | |
| F | 459.825** | 379.391** | 274.400** | |
| 组别 | 抑制率/% | 凋亡率/% | SOD/(U/L) | |
| con组 | 0.00±0.00 | 6.59±0.28 | 338.86±22.03 | |
| H/R组 | 54.92±2.25a | 23.64±1.12a | 57.80±4.60a | |
| H/R+根皮苷L组 | 44.76±2.34b | 19.84±0.87b | 102.40±10.39b | |
| H/R+根皮苷M组 | 33.38±1.72bc | 15.10±0.85bc | 187.27±9.09bc | |
| H/R+根皮苷H组 | 24.14±1.67bcd | 11.39±0.78bcd | 256.77±17.38bcd | |
| F | 1 225.229** | 596.470** | 582.878** | |
Tab.2 Comparison of expression levels of oxidative stress, apoptosis and related proteins between the five groups
| 组别 | LDH/(U/L) | Bax | Bcl-2 | |
|---|---|---|---|---|
| con组 | 129.44±15.66 | 0.13±0.01 | 0.78±0.06 | |
| H/R组 | 535.55±25.62a | 0.67±0.05a | 0.18±0.02a | |
| H/R+根皮苷L组 | 444.65±27.05b | 0.52±0.04b | 0.29±0.03b | |
| H/R+根皮苷M组 | 331.67±23.14bc | 0.38±0.03bc | 0.46±0.04bc | |
| H/R+根皮苷H组 | 251.73±17.65bcd | 0.24±0.02bcd | 0.56±0.05bcd | |
| F | 459.825** | 379.391** | 274.400** | |
| 组别 | 抑制率/% | 凋亡率/% | SOD/(U/L) | |
| con组 | 0.00±0.00 | 6.59±0.28 | 338.86±22.03 | |
| H/R组 | 54.92±2.25a | 23.64±1.12a | 57.80±4.60a | |
| H/R+根皮苷L组 | 44.76±2.34b | 19.84±0.87b | 102.40±10.39b | |
| H/R+根皮苷M组 | 33.38±1.72bc | 15.10±0.85bc | 187.27±9.09bc | |
| H/R+根皮苷H组 | 24.14±1.67bcd | 11.39±0.78bcd | 256.77±17.38bcd | |
| F | 1 225.229** | 596.470** | 582.878** | |
| 组别 | 抑制率/% | 凋亡率/% | SOD/(U/L) | |||
|---|---|---|---|---|---|---|
| H/R+anti-miR-NC组 | 54.56±2.60 | 23.50±1.68 | 58.20±5.22 | |||
| H/R+anti-miR-125a-5p组 | 14.50±1.05 | 9.61±0.65 | 270.28±24.92 | |||
| t | 42.860** | 23.133** | 24.989** | |||
| 组别 | LDH/(U/L) | Bax | Bcl-2 | |||
| H/R+anti-miR-NC组 | 541.67±29.72 | 0.67±0.07 | 0.17±0.02 | |||
| H/R+anti-miR-125a-5p组 | 196.60±12.91 | 0.18±0.02 | 0.63±0.05 | |||
| t | 31.948** | 20.192** | 25.626** | |||
Tab.3 Comparison of apoptosis and oxidative stress indexes in all groups
| 组别 | 抑制率/% | 凋亡率/% | SOD/(U/L) | |||
|---|---|---|---|---|---|---|
| H/R+anti-miR-NC组 | 54.56±2.60 | 23.50±1.68 | 58.20±5.22 | |||
| H/R+anti-miR-125a-5p组 | 14.50±1.05 | 9.61±0.65 | 270.28±24.92 | |||
| t | 42.860** | 23.133** | 24.989** | |||
| 组别 | LDH/(U/L) | Bax | Bcl-2 | |||
| H/R+anti-miR-NC组 | 541.67±29.72 | 0.67±0.07 | 0.17±0.02 | |||
| H/R+anti-miR-125a-5p组 | 196.60±12.91 | 0.18±0.02 | 0.63±0.05 | |||
| t | 31.948** | 20.192** | 25.626** | |||
| 组别 | 抑制率/% | 凋亡率/% | SOD/(U/L) |
|---|---|---|---|
| H/R+根皮苷+miR-NC组 | 23.97±2.11 | 11.50±0.81 | 257.96±22.28 |
| H/R+根皮苷+miR-125a-5p组 | 48.89±3.24 | 21.99±0.85 | 78.14±10.61 |
| t | 19.335** | 26.803** | 21.861** |
| 组别 | LDH/(U/L) | Bax | Bcl-2 |
| H/R+根皮苷+miR-NC组 | 246.94±23.15 | 0.24±0.03 | 0.57±0.04 |
| H/R+根皮苷+miR-125a-5p组 | 497.55±23.24 | 0.54±0.05 | 0.24±0.03 |
| t | 22.920** | 15.435** | 19.800** |
Tab.4 Comparison of apoptosis and oxidative stress indexes between the two groups
| 组别 | 抑制率/% | 凋亡率/% | SOD/(U/L) |
|---|---|---|---|
| H/R+根皮苷+miR-NC组 | 23.97±2.11 | 11.50±0.81 | 257.96±22.28 |
| H/R+根皮苷+miR-125a-5p组 | 48.89±3.24 | 21.99±0.85 | 78.14±10.61 |
| t | 19.335** | 26.803** | 21.861** |
| 组别 | LDH/(U/L) | Bax | Bcl-2 |
| H/R+根皮苷+miR-NC组 | 246.94±23.15 | 0.24±0.03 | 0.57±0.04 |
| H/R+根皮苷+miR-125a-5p组 | 497.55±23.24 | 0.54±0.05 | 0.24±0.03 |
| t | 22.920** | 15.435** | 19.800** |
| [1] | XU J, YU D, BAI X, et al. Long non-coding RNA growth arrest specific transcript 5 acting as a sponge of MicroRNA-188-5p to regulate SMAD family member 2 expression promotes myocardial ischemia-reperfusion injury[J]. Bioengineered, 2021, 12(1):6674-6686. doi:10.1080/21655979.2021.1957524. |
| [2] | WU H J, ZHANG K, MA J J, et al. Mechanism of curcumin against myocardial ischaemia-reperfusion injury based on the P13K/Akt/mTOR signalling pathway[J]. Eur Rev Med Pharmacol Sci, 2021, 25(17):5490-5499. doi:10.26355/eurrev_202109_26658. |
| [3] | 马琮鉴, 高健美, 孔浩, 等. 根皮苷药理作用研究进展[J]. 医药导报, 2020, 39(3):360-364. |
| MA C J, GAO J M, KONG H, et al. Research progress of pharmacological effects of phlorizin[J]. Herald of Medicine, 2020, 39(3):360-364. doi:10.3870/j.issn.1004-0781.2020.03.019. | |
| [4] | 高健美, 雷鸣, 刘双, 等. 根皮苷对过氧化氢诱导损伤PC12细胞的保护作用[J]. 中国新药与临床杂志, 2016, 35(12):886-889. |
| GAO J M, LEI M, LIU S, et al. Protective effects of phlorizin against hydrogen peroxide- induced injury in PC12 cells[J]. Chinese Journal of New Drugs and Clinical Remedies, 2016, 35(12):886-889. doi:10.14109/j.cnki.xyylc.2016.12.011. | |
| [5] | YOSHII A, NAGOSHI T, KASHIWAGI Y, et al. Cardiac ischemia-reperfusion injury under insulin-resistant conditions:SGLT1 but not SGLT2 plays a compensatory protective role in diet-induced obesity[J]. Cardiovasc Diabetol, 2019, 18(1):85. doi:10.1186/s12933-019-0889-y. |
| [6] | VADAVANATH PRABHAKARAN V, KOZHIPARAMBIL GOPALAN R. Phloretin alleviates arsenic trioxide-induced apoptosis of H9c2 cardiomyoblasts via downregulation in Ca2+/Calcineurin/NFATc pathway and inflammatory cytokine release[J]. Cardiovasc Toxicol, 2021, 21(8):642-654. doi:10.1007/s12012-021-09655-0. |
| [7] | VINEETHA V P, GIRIJA S, SOUMYA R S, et al. Polyphenol-rich apple (Malus domestica L.) peel extract attenuates arsenic trioxide induced cardiotoxicity in H9c2 cells via its antioxidant activity[J]. Food Funct, 2014, 5(3):502-511. doi:10.1039/c3fo60470e. |
| [8] | 张少利, 王学惠, 李燕, 等. miR-125a-5p抑制剂对大鼠心肌缺血再灌注损伤的影响[J]. 中西医结合心脑血管病杂志, 2020, 18(8):1231-1236. |
| ZHANG S L, WANG X H, LI Y, et al. Effects of miR-125a-5p inhibitors on myocardial ischemia-reperfusion injury in rats[J]. Chinese Journal of Integrative Medicine on Cardio-Cerebrovascular Disease, 2020, 18(8):1231-1236. doi:10.12102/j.issn.1672-1349.2020.08.012. | |
| [9] | 赵荫涛, 孙静静, 刘源, 等. miR-125a-5p靶向Scarb1基因对缺氧/复氧心肌细胞损伤的影响及其机制研究[J]. 中华医学遗传学杂志, 2020, 37(9):980-986. |
| ZHAO Y T, SUN J J, LIU Y, et al. Effect of miR-125a-5p targeting Scarb1 gene on hypoxia/reoxygenation injury of cardiomyocytes and its mechanism[J]. Chinese Journal of Medical Genetics, 2020, 37(9):980-986. doi:10.3760/cma.j.cn511374-20190821-00422. | |
| [10] | CHOI H R, NAM K M, LEE H S, et al. Phlorizin,an active ingredient of eleutherococcus senticosus,increases proliferative potential of keratinocytes with inhibition of MiR135b and increased expression of type Ⅳ collagen[J]. Oxid Med Cell Longev, 2016, 2016:3859721. doi:10.1155/2016/3859721. |
| [11] | REN Y, SUN-WATERHOUSE D, OUYANG F, et al. Apple phenolic extracts ameliorate lead-induced cognitive impairment and depression-and anxiety-like behavior in mice by abating oxidative stress,inflammation and apoptosis via the miR-22-3p/SIRT1 axis[J]. Food Funct, 2022, 13(5):2647-2661. doi:10.1039/d1fo03750a. |
| [12] | YU Y W, CHEN X, YAN J Y, et al. Phlorizin,a novel caloric restriction mimetic,stimulates hypoxia and protects cardiomyocytes through activating autophagy via modulating the Hif-1α/Bnip3 axis in sepsis-induced myocardial dysfunction[J]. Int Immunopharmacol, 2024, 126:111241. doi:10.1016/j.intimp.2023.111241. |
| [13] | 井紫薇, 樊钊, 李光耀, 等. miR-125a-5p通过靶向HIF1AN调控HIF-1α参与小胶质细胞活化[J]. 空军军医大学学报, 2023, 44(4):311-316,322. |
| JING Z W, FAN Z, LI G Y, et al. miR-125a-5p is involved in microglial activation by regulating HIF-1α through targeting HIF1AN[J]. Journal of Air Force Medical University, 2023, 44(4):311-316,322. doi:10.13276/j.issn.2097-1656.2023.04.005. | |
| [14] | 吴章, 吕望, 陈新国, 等. 参麦注射液预处理对缺氧/复氧心肌细胞的微小RNA-103表达的影响及其机制研究[J]. 中国临床药理学杂志, 2020, 36(4):424-427. |
| WU Z, LYU W, CHEN X G, et al. Effect and mechanism of Shenmai Injection pretreatment on the expression of miR-103 in the myocardial hypoxia/reoxygenation injury[J]. The Chinese Journal of Clinical Pharmacology, 2020, 36(4):424-427. doi:10.13699/j.cnki.1001-6821.2020.04.011. | |
| [15] | ZHANG Y, ZHAN B, HU Y, et al. Sevoflurane inhibits the apoptosis of hypoxia/reoxygenation-induced cardiomyocytes via regulating miR-27a-3p-mediated autophagy[J]. J Pharm Pharmacol, 2021, 73(11):1470-1479. doi:10.1093/jpp/rgab111. |
| [16] | 魏娜, 李思源, 高苑, 等. 麝香保心丸对缺氧复氧心肌细胞的保护作用及凋亡的影响[J]. 天津医药, 2023, 51(5):460-463. |
| WEI N, LI S Y, GAO Y, et al. Protective effect of Shexiang Baoxin Pill on hypoxia-reoxygenation cardiomyocytes and its effect on apoptosis[J]. Tianjin Med J, 2023, 51(5):460-463. doi:10.11958/20221264. | |
| [17] | ZHANG Q, DANG Y Y, LUO X, et al. Kazinol B protects H9c2 cardiomyocytes from hypoxia/reoxygenation-induced cardiac injury by modulating the AKT/AMPK/Nrf2 signalling pathway[J]. Pharm Biol, 2023, 61(1):362-371. doi:10.1080/13880209.2023.2173247. |
| [18] | WANG L N, LI Q, DIAO J Y, et al. MiR-23a is involved in myocardial ischemia/reperfusion injury by directly targeting CX43 and regulating mitophagy[J]. Inflammation, 2021, 44(4):1581-1591. doi:10.1007/s10753-021-01443-w. |
| [19] | BEI Y, LU D, BÄR C, et al. miR-486 attenuates cardiac ischemia/reperfusion injury and mediates the beneficial effect of exercise for myocardial protection[J]. Mol Ther, 2022, 30(4):1675-1691. doi:10.1016/j.ymthe.2022.01.031. |
| [20] | 朱传英, 刘敏, 菅向东. miR-125b-5p通过靶向钙通道电压依赖性β1蛋白调控心衰模型心肌细胞凋亡的机制研究[J]. 中华生物医学工程杂志, 2019, 25(1):24-29. |
| ZHU C Y, LIU M, JIAN X D. miR-125b-5p regulates cardiomyocyte apoptosis in heart failure model by targeting CACNB1:a mechanistic study[J]. Chinese Journal of Biomedical Engineering, 2019, 25(1):24-29. doi:10.3760/cma.j.issn.1674-1927.2019.01.005. |
| [1] | ZHONG Yumei, ZHOU Haiyan, ZHANG Min. Research progress on the mechanism of ASIC1a-mediated chondrocyte injury in rheumatoid arthritis [J]. Tianjin Medical Journal, 2024, 52(9): 1004-1008. |
| [2] | LIANG Damin, YANG Zhengjiu, ZHANG Ziping, QIAN Jing, MAO Chaokun. Study on the effect and mechanism of kaempferol in reversing drug-resistant Bel-7402/5-Fu cells [J]. Tianjin Medical Journal, 2024, 52(9): 900-906. |
| [3] | XIAO Xiaoli, XIE Yao, LONG Zhi. Changes and clinical significance of serum miR-155 and miR-205-5p expression levels in patients with hepatitis C virus infection [J]. Tianjin Medical Journal, 2024, 52(9): 967-970. |
| [4] | FANG Jie, HUANG Rui, ZHENG Honghui, JIA Qianqian, BAO Jing. miR-9-5p-induced autophagy and apoptosis in multiple myeloma cells by targeting TIMP2 [J]. Tianjin Medical Journal, 2024, 52(8): 785-790. |
| [5] | WANG Xinshuang, AN Yajuan, GUAN Xiuju, LI Jiao, LIU Yue, WEI Liping, QI Xin. Study of magnesium isoglycyrrhizinate in ameliorating cisplatin induced myocardial injury in rats [J]. Tianjin Medical Journal, 2024, 52(8): 809-814. |
| [6] | XU Qiongfang, ZHONG Fei, LI Zishuai. The effect of icariin on apoptosis of ovarian granulosa cells in polycystic ovary syndrome rats by regulating the SDF-1/CXCR4 signaling pathway [J]. Tianjin Medical Journal, 2024, 52(7): 727-732. |
| [7] | WU Bo, ZHU Zhuonong, ZHENG Lijuan, CHEN Junru. Effects of matrine on inflammation, oxidative stress and wound healing in atopic dermatitis [J]. Tianjin Medical Journal, 2024, 52(6): 566-571. |
| [8] | WANG Junyi, LI Chen, WU Xinyue, DING Xinyu, WAN Chunxiao. Effect and mechanism of early exercise intervention on cerebral nerve myelin in rats with cerebral ischemia [J]. Tianjin Medical Journal, 2024, 52(6): 589-594. |
| [9] | LIU Danyang, LI Yongtao, ZHANG Haiyan, LI Lin, LIU Yang, SHEN Lei. Effect of breast cancer cell conditioned medium on biological behavior of bone marrow mesenchymal stem cells [J]. Tianjin Medical Journal, 2024, 52(5): 454-458. |
| [10] | LI Min, GONG Jian, WU Weiwei, LIU Qiao. Research progress on the role of Nrf2/HO-1 pathway in psoriasis [J]. Tianjin Medical Journal, 2024, 52(5): 552-556. |
| [11] | WANG Ke, YE Hanlu. Impacts of cryptotanshinone on autophagy and apoptosis of chondrocytes in rabbit model of knee osteoarthritis by regulating HIF-1α/BNIP3 signaling pathway [J]. Tianjin Medical Journal, 2024, 52(4): 372-378. |
| [12] | XIE Youcheng, WANG Fei, XU Jin, YU Xiaohui. Research progress of SIRT1 in the pathogenesis of diabetic cardiomyopathy [J]. Tianjin Medical Journal, 2024, 52(4): 443-448. |
| [13] | CHEN Jing, WEI Yunjiao, LUO Chao, HUANG Lihua, CHEN Cheng, DUAN Shasha. The mechanism of Wumei pill on ulcerative colitis in mice based on Nrf2/ARE antioxidant stress pathway [J]. Tianjin Medical Journal, 2024, 52(3): 278-254. |
| [14] | ZHANG Wenchao, YANG Xuehui, YIN Tao, WANG Ruijian, ZHANG Mengmeng. The relationship between plasma sCD163/sTWEAK ratio and prognosis in patients with spontaneous acute cerebral hemorrhage [J]. Tianjin Medical Journal, 2024, 52(3): 297-301. |
| [15] | WANG Funing, DAI Huibo, SHAN Yun, YU Manshu, SHENG Meixiao. Study on the effect and mechanism of bone marrow mesenchymal stem cells on apoptosis of peritoneal mesothelial cells [J]. Tianjin Medical Journal, 2024, 52(2): 113-118. |
| Viewed | ||||||
|
Full text |
|
|||||
|
Abstract |
|
|||||