
Tianjin Medical Journal ›› 2026, Vol. 54 ›› Issue (3): 232-237.doi: 10.11958/20253169
• Experimental Research • Previous Articles Next Articles
YANG Xiaofang1(
), JIA Xinyan2, FENG Wenjun1
Received:2025-10-15
Revised:2025-11-14
Published:2026-03-15
Online:2026-03-17
YANG Xiaofang, JIA Xinyan, FENG Wenjun. MiR-181a-5p regulates the proliferation and apoptosis of glomerular mesangial cells in lupus nephritis mice through HMGB1/NF-κB signaling pathway[J]. Tianjin Medical Journal, 2026, 54(3): 232-237.
CLC Number:
| 引物名称 | 引物序列(5′→3′) | 产物大小/bp | |
|---|---|---|---|
| miR-181a-5p | 上游: | TCGACCGTTGTACCCT | 113 |
| 下游: | TCGACTGCATAGCTAGCTCA | ||
| HMGB1 | 上游: | AGCAATCTGAACGTCTGTCC | 107 |
| 下游: | GTTCTTGTGATAGCCTTCGC | ||
| U6 | 上游: | CTCGCTTCGGCAGCACATA | 134 |
| 下游: | AACGATTCACGAATTTGCGT | ||
| β-actin | 上游: | AAGACCTCTATGCCAACACAG | 107 |
| 下游: | GGAGGAGCAATGATCTTGATC |
Tab.1 Primer sequences for qRT-PCR
| 引物名称 | 引物序列(5′→3′) | 产物大小/bp | |
|---|---|---|---|
| miR-181a-5p | 上游: | TCGACCGTTGTACCCT | 113 |
| 下游: | TCGACTGCATAGCTAGCTCA | ||
| HMGB1 | 上游: | AGCAATCTGAACGTCTGTCC | 107 |
| 下游: | GTTCTTGTGATAGCCTTCGC | ||
| U6 | 上游: | CTCGCTTCGGCAGCACATA | 134 |
| 下游: | AACGATTCACGAATTTGCGT | ||
| β-actin | 上游: | AAGACCTCTATGCCAACACAG | 107 |
| 下游: | GGAGGAGCAATGATCTTGATC |
| 组别 | 增殖率/ % | 凋亡率/ % | miR-181a -5p | HMGB1 mRNA | |||
|---|---|---|---|---|---|---|---|
| 对照组 | 100.00±0.00 | 25.38±2.54 | 1.00±0.00 | 1.00±0.00 | |||
| 空白组 | 156.68±15.65a | 24.34±2.43 | 0.63±0.07a | 2.12±0.22a | |||
| mimics-NC组 | 149.34±14.50a | 24.42±2.44 | 0.62±0.07a | 2.18±0.22a | |||
| miR-181a-5p mimics组 | 99.03±9.91b | 25.43±2.54 | 0.89±0.09b | 1.42±0.15b | |||
| Si-NC组 | 149.64±14.51 | 24.28±2.26 | 0.64±0.07 | 2.16±0.22 | |||
| Si-HMGB1组 | 98.83±9.89c | 25.44±2.54 | 0.67±0.07 | 1.51±0.16c | |||
| F | 34.970** | 0.343 | 34.176** | 45.326** | |||
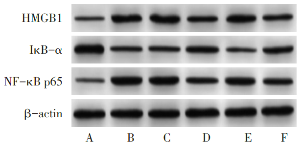
| 组别 | HMGB1/ β-actin | IκB-α/ β-actin | NF-κB p65/ β-actin | ||||
| 对照组 | 0.35±0.03 | 1.05±0.10 | 0.29±0.03 | ||||
| 空白组 | 0.98±0.09a | 0.41±0.04a | 1.01±0.10a | ||||
| mimics-NC组 | 0.96±0.09a | 0.43±0.04a | 0.98±0.09a | ||||
| miR-181a-5pmimics组 | 0.62±0.06b | 0.68±0.07b | 0.61±0.06b | ||||
| Si-NC组 | 0.97±0.09 | 0.39±0.04 | 0.95±0.09 | ||||
| Si-HMGB1组 | 0.58±0.06c | 0.65±0.07c | 0.63±0.06c | ||||
| F | 77.985** | 93.800** | 85.214** | ||||
Tab.2 Comparison of the proliferation rate, apoptosis rate of glomerular mesangial cells and the expression levels of miR-181a-5p, HMGB1, IκB-α and NF-κB p65 between the six groups
| 组别 | 增殖率/ % | 凋亡率/ % | miR-181a -5p | HMGB1 mRNA | |||
|---|---|---|---|---|---|---|---|
| 对照组 | 100.00±0.00 | 25.38±2.54 | 1.00±0.00 | 1.00±0.00 | |||
| 空白组 | 156.68±15.65a | 24.34±2.43 | 0.63±0.07a | 2.12±0.22a | |||
| mimics-NC组 | 149.34±14.50a | 24.42±2.44 | 0.62±0.07a | 2.18±0.22a | |||
| miR-181a-5p mimics组 | 99.03±9.91b | 25.43±2.54 | 0.89±0.09b | 1.42±0.15b | |||
| Si-NC组 | 149.64±14.51 | 24.28±2.26 | 0.64±0.07 | 2.16±0.22 | |||
| Si-HMGB1组 | 98.83±9.89c | 25.44±2.54 | 0.67±0.07 | 1.51±0.16c | |||
| F | 34.970** | 0.343 | 34.176** | 45.326** | |||
| 组别 | HMGB1/ β-actin | IκB-α/ β-actin | NF-κB p65/ β-actin | ||||
| 对照组 | 0.35±0.03 | 1.05±0.10 | 0.29±0.03 | ||||
| 空白组 | 0.98±0.09a | 0.41±0.04a | 1.01±0.10a | ||||
| mimics-NC组 | 0.96±0.09a | 0.43±0.04a | 0.98±0.09a | ||||
| miR-181a-5pmimics组 | 0.62±0.06b | 0.68±0.07b | 0.61±0.06b | ||||
| Si-NC组 | 0.97±0.09 | 0.39±0.04 | 0.95±0.09 | ||||
| Si-HMGB1组 | 0.58±0.06c | 0.65±0.07c | 0.63±0.06c | ||||
| F | 77.985** | 93.800** | 85.214** | ||||
| 组别 | 增殖率/ % | 凋亡率/ % | HMGB1/ β-actin | |||
|---|---|---|---|---|---|---|
| mimics-NC+pcDNA-NC组 | 156.36±15.64 | 24.34±2.43 | 0.86±0.08 | |||
| miR-181a-5p mimics+ pcDNA-NC组 | 95.32±9.53a | 25.52±2.52 | 0.38±0.04a | |||
| mimics-NC+pcDNA-HMGB1组 | 192.43±19.24a | 24.42±2.39 | 1.08±0.11a | |||
| miR-181a-5p mimics+ pcDNA-HMGB1组 | 159.35±16.04bc | 24.37±2.44 | 0.88±0.08bc | |||
| F | 40.836** | 0.329 | 79.940** | |||
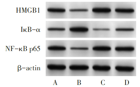
| 组别 | IκB-α/ β-actin | NF-κB p65/ β-actin | ||||
| mimics-NC+pcDNA-NC组 | 0.43±0.04 | 0.82±0.08 | ||||
| miR-181a-5p mimics+pcDNA-NC组 | 0.98±0.09a | 0.32±0.03a | ||||
| mimics-NC+pcDNA-HMGB1组 | 0.21±0.02a | 0.98±0.09a | ||||
| miR-181a-5p mimics+pcDNA-HMGB1组 | 0.41±0.04bc | 0.78±0.08bc | ||||
| F | 223.778** | 88.477** | ||||
Tab.3 Comparison of proliferation rate, apoptosis rate, HMGB1, IκB-α and NF-κB p65 expression between the four groups of glomerular mesangial cells
| 组别 | 增殖率/ % | 凋亡率/ % | HMGB1/ β-actin | |||
|---|---|---|---|---|---|---|
| mimics-NC+pcDNA-NC组 | 156.36±15.64 | 24.34±2.43 | 0.86±0.08 | |||
| miR-181a-5p mimics+ pcDNA-NC组 | 95.32±9.53a | 25.52±2.52 | 0.38±0.04a | |||
| mimics-NC+pcDNA-HMGB1组 | 192.43±19.24a | 24.42±2.39 | 1.08±0.11a | |||
| miR-181a-5p mimics+ pcDNA-HMGB1组 | 159.35±16.04bc | 24.37±2.44 | 0.88±0.08bc | |||
| F | 40.836** | 0.329 | 79.940** | |||
| 组别 | IκB-α/ β-actin | NF-κB p65/ β-actin | ||||
| mimics-NC+pcDNA-NC组 | 0.43±0.04 | 0.82±0.08 | ||||
| miR-181a-5p mimics+pcDNA-NC组 | 0.98±0.09a | 0.32±0.03a | ||||
| mimics-NC+pcDNA-HMGB1组 | 0.21±0.02a | 0.98±0.09a | ||||
| miR-181a-5p mimics+pcDNA-HMGB1组 | 0.41±0.04bc | 0.78±0.08bc | ||||
| F | 223.778** | 88.477** | ||||
| [1] | SALES G, MACEDO N J, REIS NETO E, et al. Current treatment of lupus nephritis:an overview of the new guidelines[J]. J Bras Nefrol, 2025, 47(4):e20250092. doi:10.1590/2175-8239-JBN-2025-0092en. |
| [2] | PAN F, LU Y, YANG H. Panax notoginseng saponins treat steroid-resistant lupus nephritis by inhibiting macrophage-derived exosome-induced injury in glomerular endothelial cells via the mitochondrial autophagy-NLRP3 pathway[J]. J Ethnopharmacol, 2025, 343:119475. doi:10.1016/j.jep.2025.119475. |
| [3] | DONG C, WU M, LIU H, et al. Breaking the cycle:immune complexes,complement activation,and novel immunotherapies in lupus nephritis[J]. Front Immunol, 2025, 16:1624850. doi:10.3389/fimmu.2025.1624850. |
| [4] | ZHAO H, YAN Y, ZHANG L, et al. DNA molecular computing with weighted signal amplification for cancer miRNA biomarker diagnostics[J]. Adv Sci (Weinh), 2025, 12(22):e2416490. doi:10.1002/advs.202416490. |
| [5] | SHADBAD M A, BARADARAN B. hsa-miR-181a-5p inhibits glioblastoma development via the MAPK pathway:in-silico and in-vitro study[J]. Oncol Res, 2024, 32(12):1949-1958. doi:10.32604/or.2024.051569. |
| [6] | ZHOU Y, LONG M Y, CHEN Z Q, et al. Downregulation of miR-181a-5p alleviates oxidative stress and inflammation in coronary microembolization-induced myocardial damage by directly targeting XIAP[J]. J Geriatr Cardiol, 2021, 18(6):426-439. doi:10.11909/j.issn.1671-5411.2021.06.007. |
| [7] | ZHOU L, YUAN X, HU Y, et al. Blockade of HMGB1 reduces inflammation and pruritus in atopic dermatitis by inhibiting skin fibroblasts activation[J]. Int Arch Allergy Immunol, 2024, 185(2):170-181. doi:10.1159/000534568. |
| [8] | ZHAO Z, LI J, SONG N, et al. Buzhong Yiqi decoction improves inflammation and oxidative damage in autoimmune thyroiditis by inhibiting apoptosis via the SIRT1-mediated Nrf2/NF-κB axis[J]. J Ethnopharmacol, 2025, 351:119967. doi:10.1016/j.jep.2025.119967. |
| [9] | 阳晓, 叶任高, 陈伟英, 等. 慢性移植物抗宿主病狼疮样肾炎小鼠模型的研制[J]. 中华肾脏病杂志, 2000, 16(5):277-281. |
| YANG X, YE R G, CHEN W Y, et al. Chronic graft-versus-host disease induces murine lupus nephritis model[J]. Chin J Nephrol, 2000, 16(5):277-281. doi:10.3760/j.issn:1001-7097.2000.05.001. | |
| [10] | LIAO Z, HE L, FU J, et al. Identification of novel biomarkers for lupus nephritis[J]. Biomol Biomed, 2025, 25(2):406-424. doi:10.17305/bb.2024.10450. |
| [11] | WANG S, WEN X, HAN X R, et al. Repression of microRNA-382 inhibits glomerular mesangial cell proliferation and extracellular matrix accumulation via FoxO1 in mice with diabetic nephropathy[J]. Cell Prolif, 2018, 51(5):e12462. doi:10.1111/cpr.12462. |
| [12] | LI J, SHEN J, ZHAO Y, et al. Role of miR‑181a‑5p in cancer (review)[J]. Int J Oncol, 2023, 63(4):108. doi:10.3892/ijo.2023.5556. |
| [13] | LIU H, DENG Y, LUO G, et al. DNA methylation of miR-181a-5p mediated by DNMT3b drives renal interstitial fibrosis developed from acute kidney injury[J]. Epigenomics, 2024, 16(13):945-960. doi:10.1080/17501911.2024.2370229. |
| [14] | LIANG X, XU W. miR-181a-5p regulates the proliferation and apoptosis of glomerular mesangial cells by targeting KLF6[J]. Exp Ther Med, 2020, 20(2):1121-1128. doi:10.3892/etm.2020.8780. |
| [15] | ABDEL-KADER M S, ABDEL-RAHMAN R F, SOLIMAN G A, et al. Oleuropein relieves pancreatic ischemia reperfusion injury in rats by suppressing inflammation and oxidative stress through HMGB1/NF-κB pathway[J]. Int J Mol Sci, 2024, 25(18):10171. doi:10.3390/ijms251810171. |
| [16] | 李娜, 石宛鑫, 隋满姝. HMGB1与狼疮性肾炎[J]. 中国中西医结合肾病杂志, 2018, 19(2):177-179. |
| LI N, SHI W X, SUI M S. HMGB1 and lupus nephritis[J]. Chin J Integ Trad Western Med Nephrol, 2018, 19(2):177-179. doi:10.3969/j.issn.1009-587X.2018.02.031. | |
| [17] | 杜艺, 梁顺, 魏玉婷, 等. HMGB1,TNFAIP3蛋白对狼疮性肾炎系膜细胞增殖的影响及其NF-κB信号通路机制[J]. 临床和实验医学杂志, 2020, 19(20):2146-2150. |
| DU Y, LIANG S, WEI Y T, et al. Analysis of effect of HMGB1 and TNFAIP3 on proliferation of mesangial cells in lupus nephritis and the mechanism NF-κB signaling pathway[J]. J Clin Experiment Med, 2020, 19(20):2146-2150. doi:10.3969/j.issn.1671-4695.2020.20.006. | |
| [18] | IMAM F, AFZAL M, GHABOURA N, et al. Oxyphenbutazone ameliorates carfilzomib induced cardiotoxicity in rats via inhibition of oxidative free radical burst and NF-κB/IκB-α pathway[J]. Saudi Pharm J, 2024, 32(1):101926. doi:10.1016/j.jsps.2023.101926. |
| Viewed | ||||||
|
Full text |
|
|||||
|
Abstract |
|
|||||