
Tianjin Medical Journal ›› 2026, Vol. 54 ›› Issue (3): 303-308.doi: 10.11958/20252816
• Applied Research • Previous Articles Next Articles
LIU Xiaohua1(
), HAN Tingting2, GAO Yujie2,△(
)
Received:2025-09-01
Revised:2025-11-11
Published:2026-03-15
Online:2026-03-17
Contact:
E-mail:LIU Xiaohua, HAN Tingting, GAO Yujie. The predictive value of refractory diffuse large B-cell lymphoma based on enhanced CT lymph node marginal features combined with IPI score[J]. Tianjin Medical Journal, 2026, 54(3): 303-308.
CLC Number:
| 组别 | n | 年龄/岁 | 男性 | BMI/(kg/m2) | Dmax/mm | Ann arbor分期(Ⅲ—Ⅳ) | IPI/分 | WBC/(×109/L) | NEUT/(×109/L) | ||||||||||||||||||||
|---|---|---|---|---|---|---|---|---|---|---|---|---|---|---|---|---|---|---|---|---|---|---|---|---|---|---|---|---|---|
| 非难治组 | 69 | 60.19±13.59 | 33(47.83) | 24.81±3.67 | 35.00(24.50,57.25) | 39(56.52) | 2(1,3) | 5.54(4.74,7.41) | 3.42(2.48,4.27) | ||||||||||||||||||||
| 难治组 | 29 | 59.31±11.84 | 17(58.62) | 23.41±4.10 | 51.00(39.00,58.00) | 20(68.97) | 3(3,4) | 5.75(4.35,6.89) | 3.40(2.67,3.88) | ||||||||||||||||||||
| t、Z或χ2 | 0.303 | 0.569 | 1.671 | 1.803 | 2.514 | 3.826** | 0.269 | 0.397 | |||||||||||||||||||||
| 组别 | Lym/(×109/L) | Mon/(×109/L) | PLT/(×109/L) | PLR | LMR | NLR | Hb/(g/L) | ||||||||||||||||||||||
| 非难治组 | 1.38(1.02,1.97) | 0.48(0.37,0.65) | 208.3(142.6,286.0) | 139.72(94.24,225.00) | 2.85(1.85,4.45) | 2.43(1.63,3.45) | 125.7(107.0,137.0) | ||||||||||||||||||||||
| 难治组 | 1.17(0.93,1.86) | 0.53(0.39,0.62) | 213.0(134.9,324.5) | 151.97(95.39,244.78) | 2.82(1.89,4.74) | 2.10(1.59,3.40) | 116.0(100.0,124.0) | ||||||||||||||||||||||
| Z | 0.673 | 0.452 | 0.553 | 0.136 | 0.082 | 0.634 | 1.460 | ||||||||||||||||||||||
| 组别 | ALB/(g/L) | CRP/(mg/L) | PCT/(μg/L) | LDH/(U/L) | C-MYC | BCL-2 | |||||||||||||||||||||||
| 非难治组 | 39.00(35.68,43.00) | 19.60(5.23,34.70) | 0.05(0.03,0.09) | 238.0(174.0,342.0) | 35(50.72) | 52(75.36) | |||||||||||||||||||||||
| 难治组 | 37.00(33.00,40.30) | 19.70(4.86,54.36) | 0.09(0.06,0.15) | 249.0(185.0,305.4) | 17(58.62) | 22(75.86) | |||||||||||||||||||||||
| Z或χ2 | 0.832 | 0.798 | 2.966** | 0.097 | 0.511 | 0.003 | |||||||||||||||||||||||
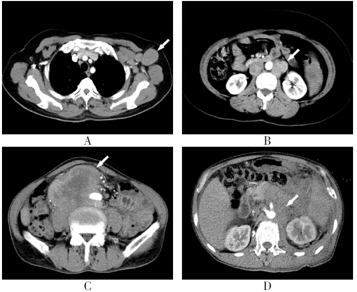
| 组别 | 病理亚型 | BCL-6 | Ki-67 | 淋巴结边缘 特征评分/分 | |||||||||||||||||||||||||
| 生发中心型 | 非生发中心型 | 非特指型 | |||||||||||||||||||||||||||
| 非难治组 | 5(7.25) | 27(39.13) | 37(53.62) | 46(66.67) | 62(89.86) | 1(0,2) | |||||||||||||||||||||||
| 难治组 | 4(13.79) | 11(37.93) | 14(48.28) | 21(72.41) | 22(75.86) | 2(2,3) | |||||||||||||||||||||||
| χ2或Z | 1.073 | 0.312 | 2.222 | 4.517** | |||||||||||||||||||||||||
Tab.1 Comparison of baseline, clinical, pathological and imaging characteristics between the two groups of DLBCL patients
| 组别 | n | 年龄/岁 | 男性 | BMI/(kg/m2) | Dmax/mm | Ann arbor分期(Ⅲ—Ⅳ) | IPI/分 | WBC/(×109/L) | NEUT/(×109/L) | ||||||||||||||||||||
|---|---|---|---|---|---|---|---|---|---|---|---|---|---|---|---|---|---|---|---|---|---|---|---|---|---|---|---|---|---|
| 非难治组 | 69 | 60.19±13.59 | 33(47.83) | 24.81±3.67 | 35.00(24.50,57.25) | 39(56.52) | 2(1,3) | 5.54(4.74,7.41) | 3.42(2.48,4.27) | ||||||||||||||||||||
| 难治组 | 29 | 59.31±11.84 | 17(58.62) | 23.41±4.10 | 51.00(39.00,58.00) | 20(68.97) | 3(3,4) | 5.75(4.35,6.89) | 3.40(2.67,3.88) | ||||||||||||||||||||
| t、Z或χ2 | 0.303 | 0.569 | 1.671 | 1.803 | 2.514 | 3.826** | 0.269 | 0.397 | |||||||||||||||||||||
| 组别 | Lym/(×109/L) | Mon/(×109/L) | PLT/(×109/L) | PLR | LMR | NLR | Hb/(g/L) | ||||||||||||||||||||||
| 非难治组 | 1.38(1.02,1.97) | 0.48(0.37,0.65) | 208.3(142.6,286.0) | 139.72(94.24,225.00) | 2.85(1.85,4.45) | 2.43(1.63,3.45) | 125.7(107.0,137.0) | ||||||||||||||||||||||
| 难治组 | 1.17(0.93,1.86) | 0.53(0.39,0.62) | 213.0(134.9,324.5) | 151.97(95.39,244.78) | 2.82(1.89,4.74) | 2.10(1.59,3.40) | 116.0(100.0,124.0) | ||||||||||||||||||||||
| Z | 0.673 | 0.452 | 0.553 | 0.136 | 0.082 | 0.634 | 1.460 | ||||||||||||||||||||||
| 组别 | ALB/(g/L) | CRP/(mg/L) | PCT/(μg/L) | LDH/(U/L) | C-MYC | BCL-2 | |||||||||||||||||||||||
| 非难治组 | 39.00(35.68,43.00) | 19.60(5.23,34.70) | 0.05(0.03,0.09) | 238.0(174.0,342.0) | 35(50.72) | 52(75.36) | |||||||||||||||||||||||
| 难治组 | 37.00(33.00,40.30) | 19.70(4.86,54.36) | 0.09(0.06,0.15) | 249.0(185.0,305.4) | 17(58.62) | 22(75.86) | |||||||||||||||||||||||
| Z或χ2 | 0.832 | 0.798 | 2.966** | 0.097 | 0.511 | 0.003 | |||||||||||||||||||||||
| 组别 | 病理亚型 | BCL-6 | Ki-67 | 淋巴结边缘 特征评分/分 | |||||||||||||||||||||||||
| 生发中心型 | 非生发中心型 | 非特指型 | |||||||||||||||||||||||||||
| 非难治组 | 5(7.25) | 27(39.13) | 37(53.62) | 46(66.67) | 62(89.86) | 1(0,2) | |||||||||||||||||||||||
| 难治组 | 4(13.79) | 11(37.93) | 14(48.28) | 21(72.41) | 22(75.86) | 2(2,3) | |||||||||||||||||||||||
| χ2或Z | 1.073 | 0.312 | 2.222 | 4.517** | |||||||||||||||||||||||||
| 因素 | β | SE | Wald χ2 | P | OR(95%CI) |
|---|---|---|---|---|---|
| 淋巴结边缘 特征评分 | 1.235 | 0.300 | 16.916 | <0.001 | 3.439(1.909~6.196) |
| IPI | 0.852 | 0.245 | 12.111 | 0.001 | 2.344(1.451~3.787) |
| PCT | 0.346 | 0.499 | 0.480 | 0.488 | 1.413(0.531~3.761) |
Tab.2 Univariate binary Logistic regression analysis for predicting refractoriness of DLBCL
| 因素 | β | SE | Wald χ2 | P | OR(95%CI) |
|---|---|---|---|---|---|
| 淋巴结边缘 特征评分 | 1.235 | 0.300 | 16.916 | <0.001 | 3.439(1.909~6.196) |
| IPI | 0.852 | 0.245 | 12.111 | 0.001 | 2.344(1.451~3.787) |
| PCT | 0.346 | 0.499 | 0.480 | 0.488 | 1.413(0.531~3.761) |
| 因素 | β | SE | Wald χ2 | P | OR(95%CI) |
|---|---|---|---|---|---|
| 淋巴结边缘 特征评分 | 1.207 | 0.321 | 14.122 | <0.001 | 3.342(1.781~6.271) |
| IPI | 0.843 | 0.275 | 9.399 | 0.002 | 2.323(1.355~3.982) |
| 常数项 | -5.280 | 1.106 | 22.775 | <0.001 | 0.005 |
Tab.3 Multivariate binary Logistic regression analysis for predicting refractoriness of DLBCL
| 因素 | β | SE | Wald χ2 | P | OR(95%CI) |
|---|---|---|---|---|---|
| 淋巴结边缘 特征评分 | 1.207 | 0.321 | 14.122 | <0.001 | 3.342(1.781~6.271) |
| IPI | 0.843 | 0.275 | 9.399 | 0.002 | 2.323(1.355~3.982) |
| 常数项 | -5.280 | 1.106 | 22.775 | <0.001 | 0.005 |
| [1] | WARNNISSORN N, KANITSAP N, NIPARUCK P, et al. External validation and comparison of IPI,R-IPI,and NCCN-IPI in diffuse large B-cell lymphoma patients treated with R-CHOP to predict 2-year progression-free survival[J]. Hematology, 2022, 27(1):1237-1245. doi:10.1080/16078454.2022.2147916. |
| [2] | 郭宝平, 王明月, 廖成成, 等. 奥布替尼联合R-CHOP方案治疗初治高危伴结外累及的非生发中心起源的弥漫大B细胞淋巴瘤的临床研究[J]. 中华血液学杂志, 2025, 46(2):169-173. |
| GUO B P, WANG M Y, LIAO C C, et al. Clinical study of orelabrutinib combined with R-CHOP regimen for newly diagnosed high-risk nonGCB diffuse large B-cell lymphoma with extranodal involvement[J]. Chin J Hematol, 2025, 46(2):169-173. doi:10.3760/cma.j.cn121090-20240914-00347. | |
| [3] | FUJII K, INAGAKI A, MASAKI A, et al. Nomogram for predicting survival of patients with diffuse large B-cell lymphoma[J]. Ann Hematol, 2024, 103(6):2041-2050. doi:10.1007/s00277-024-05669-0. |
| [4] | 贾启琛, 白静, 张志华, 等. 指南内中国专家Ⅰ级推荐行18F-FDG PET/CT检查淋巴瘤代谢特点[J]. 中国医学影像技术, 2024, 40(12):1936-1940. |
| JIA Q C, BAI J, ZHANG Z H, et al. Metabolic characteristics of lymphomas with Chinese experts gradeⅠrecommendation for examination of 18F-FDG PET/CT guideline[J]. Chin J Med Imaging Technol, 2024, 40(12):1936-1940. doi:10.13929/j.issn.1003-3289.2024.12.027. | |
| [5] | 李娟, 赵铭, 原凌, 等. 18F-FDG PET/CT的基线代谢参数对弥漫大B细胞淋巴瘤预后评估的价值[J]. 临床放射学杂志, 2021, 40(7):1329-1334. |
| LI J, ZHAO M, YUAN L, et al. The value of baseline metabolic parameters of 18F-FDGPET/CT for prognostic assessment of diffuse large B-cell lymphoma[J]. Journal of Clinical Radiology, 2021, 40(7):1329-1334. doi:10.13437/j.cnki.jcr.2021.07.019. | |
| [6] | LIN Y, SUN Y, LI C, et al. A predictive diagnostic model for refractory diffuse large B-cell lymphoma:a single-center retrospective cohort study[J]. Ann Hematol, 2025, 104(3):1697-1704. doi:10.1007/s00277-025-06299-w. |
| [7] | HUI D, PROCTOR B, DONALDSON J, et al. Prognostic implications of extranodal involvement in patients with diffuse large B-cell lymphoma treated with rituximab and cyclophosphamide,doxorubicin,vincristine, and prednisone[J]. Leuk Lymphoma, 2010, 51(9):1658-1667. doi:10.3109/10428194.2010.504872. |
| [8] | GODA J S, PUNWATKAR D, JHA A, et al. CT based tumor radiomics with machine learning classifiers for molecular subtyping of diffuse large B cell lymphoma[J]. International journal of radiation oncology,biology,physics, 2023, 117(2):e467. doi:10.1016/j.ijrobp.2023.06.1670. |
| [9] | JELICIC J, JUUL-JENSEN K, BUKUMIRIC Z, et al. Prognostic indices in diffuse large B-cell lymphoma:a population-based comparison and validation study of multiple models[J]. Blood Cancer J, 2023, 13(1):157. doi:10.1038/s41408-023-00930-7. |
| [10] | WANG Y, SHI Q, SHI Z Y, et al. Biological signatures of the International Prognostic Index in diffuse large B-cell lymphoma[J]. Blood Adv, 2024, 8(7):1587-1599. doi:10.1182/bloodadvances.2023011425. |
| [11] | ZHOU Z, SEHN L H, RADEMAKER A W, et al. An enhanced International Prognostic Index(NCCN-IPI)for patients with diffuse large B-cell lymphoma treated in the rituximab era[J]. Blood, 2014, 123(6):837-842. doi:10.1182/blood-2013-09-524108. |
| [12] | SHEN Z, ZHANG S, JIAO Y, et al. LASSO model better predicted the prognosis of DLBCL than random forest model:A retrospective multicenter analysis of HHLWG[J]. J Oncol, 2022,2022:1618272. doi:10.1155/2022/1618272. |
| [13] | NIU J Y, TIAN T, ZHU H Y, et al. Hyperfibrinogenemia is a poor prognostic factor in diffuse large B cell lymphoma[J]. Ann Hematol, 2018, 97(10):1841-1849. doi:10.1007/s00277-018-3382-x. |
| [14] | SHI Z, TANG X, SHEN Q, et al. Clinical characteristics,treatment patterns and outcomes of patients older than 80 years diagnosed with DLBCL in China over a 10-year period[J]. Cancer Chemother Pharmacol, 2019, 84(1):127-137. doi:10.1007/s00280-019-03859-6. |
| [15] | OREIRO M B, SANZ-VILLANUEVA L, CRESPO F D, et al. Cell-free DNA dynamic concentration,CRP and LDH pre-infusion are predictors of early progression after CAR T-cell therapy in DLBCL patients[J]. Blood, 2021, 138(Sup1):1761. doi:10.1182/blood-2021-144896. |
| [16] | SARKOZY C, MOUNIER N, DELMER A, et al. Impact of BMI and gender on outcomes in DLBCL patients treated with R-CHOP:A pooled study from the LYSA[J]. Lymphoma, 2014,2014:1-12. doi:10.1155/2014/205215. |
| [17] | CHAGANTI S, ILLIDGE T, BARRINGTON S, et al. Guidelines for the management of diffuse large B-cell lymphoma[J]. Br J Haematol, 2016, 174(1):43-56.doi: 10.1111/bjh.14136. |
| [18] | 胡静, 代岳, 徐凯. 18F-FDG PET/CT预测淋巴瘤患者CAR-T细胞治疗后短期疗效的价值研究[J]. 实用放射学杂志, 2025, 41(1):147-150. |
| HU J, DAI Y, XU K. Study on the value of 18F-FDG PET/CT in predicting short-term efficacy of CAR-T cell treatment in lymphoma patients[J]. J Pract Radiol, 2025, 41(1):147-150. doi:10.3969/j.issn.1002-1671.2025.01.033. | |
| [19] | PARVEZ A, TAU N, HUSSEY D, et al. 18F-FDG PET/CT metabolic tumor parameters and radiomics features in aggressive non-Hodgkin's lymphoma as predictors of treatment outcome and survival[J]. Ann Nucl Med, 2018, 32(6):410-416. doi:10.1007/s12149-018-1260-1. |
| [20] | 罗与, 白岩, 王梅云. 影像组学在非霍奇金淋巴瘤诊断、疗效及预后评估中的研究进展[J]. 临床放射学杂志, 2024, 43(4):658-661. |
| LUO Y, BAI Y, WANG M Y. Research progress of radiomics in the diagnosis,therapeutic effect and prognosis evaluation of non-Hodgkin's lymphoma[J]. Journal of Clinical Radiology, 2024, 43(4):658-661. doi:10.13437/j.cnki.jcr.2024.04.032. |
| Viewed | ||||||
|
Full text |
|
|||||
|
Abstract |
|
|||||