Tianjin Medical Journal ›› 2023, Vol. 51 ›› Issue (11): 1199-1204.doi: 10.11958/20221777

• Experimental Research • Previous Articles     Next Articles

Neuroprotective mechanism of edaravone dexborneol in rats with cerebral hemorrhage through ferroptosis-lipid peroxidation pathway

MAO Quanxi(), LI Zuoxiao()   

  1. Department of Neurology, the Affiliated Hospital of Southwest Medical University, Luzhou 646000, China
  • Received:2022-11-07 Revised:2023-03-13 Published:2023-11-15 Online:2023-11-07
  • Contact: E-mail:lzx3235@sina.com

Abstract:

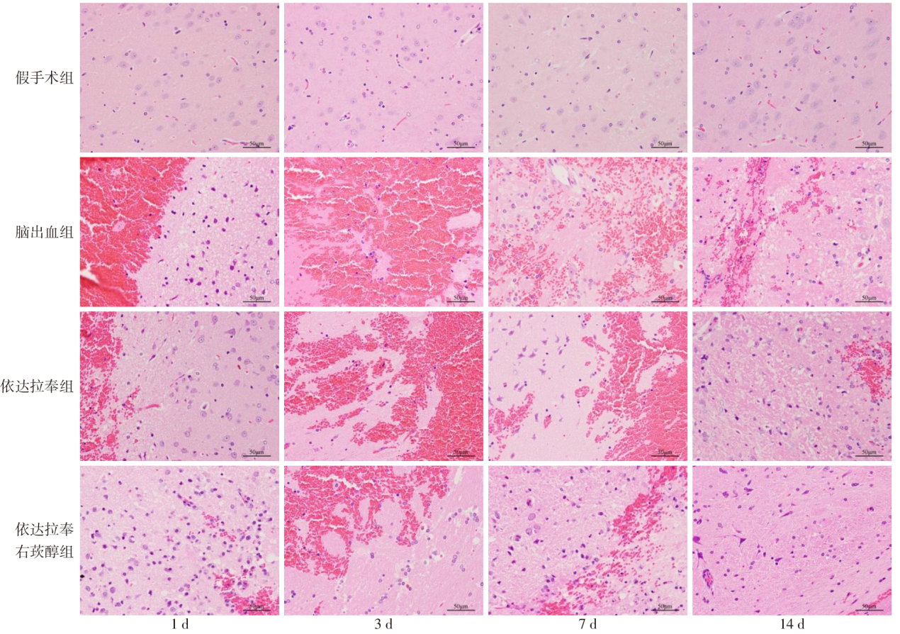
Objective To investigate the neuroprotective effect of edaravone dexborneol on cerebral hemorrhage in rats and the effect of lipid peroxidation on perihematomal brain tissue. Methods A total of 128 SD rats were randomly divided into the sham-operated group, the cerebral hemorrhage group, the edaravone group and the edaravone dexborneol group, with 32 rats in each group. The acute cerebral hemorrhage model was constructed in all groups except for the sham-operated group. The edaravone group and edaravone dexamphene group were injected intraperitoneally with 6 mg/kg of edaravone and edaravone dexamphene 7.5 mg/kg, one injection every 12 hours. The sham-operated group and the cerebral hemorrhage group were injected intraperitoneally with equal amounts of saline. The neurological function was scored according to Garcia score at 1 d, 3 d, 7 d, and 14 d after surgery. Brain tissue around hematoma was stained with HE staining. Chemo fluorescence assay was used to observe pathological changes and reactive oxygen species (ROS) content of brain tissue around hematoma. Micro enzyme labeling assay was used to detect glutathione (GSH) content of brain tissue around hematoma. The expression levels of glutathione peroxidase 4 (GPX4), long-chain lipid acyl-coenzyme A synthase 4 (ACSL4) and phospholipid choline acyltransferase 3 (LPCAT3) in brain tissue around hematoma were detected by protein immunoblotting. Results Compared with the sham-operated group, neurological function scores were decreased in the cerebral hemorrhage group. Massive inflammatory cell infiltration and neuronal degeneration in brain tissue around hematoma were found, and ROS content, ACSL4 and LPCAT3 protein expression level increased. GSH content and GPX4 protein expression level decreased in the cerebral hemorrhage group (P<0.05). Compared with the cerebral hemorrhage group, neurological function scores were increased, histopathological damage around the hematoma was significantly reduced, ROS content, ACSL4 and LPCAT3 protein expression level were decreased, and the GSH content and GPX4 protein expression level were increased in the edaravone group and the edaravone dexborneol group (P<0.05). The intervention effect was better in the edaravone dexcamphenol group than that of the edaravone group (P<0.05). Except for the sham operated group, changes of the other groups were the most obvious at 3 d postoperatively, and gradually recovered at 7 d and 14 d postoperatively (P<0.05). Conclusion Edaravone dexborneol may play a protective role in cerebral hemorrhage by regulating the expression of ferroptosis-related proteins in nerve cells, reducing lipid peroxidation in brain tissue, and inhibiting iron death of nerve cells.

Key words: edaravone dexborneol, edaravone, cerebral hemorrhage, ferroptosis, lipid peroxidation

CLC Number: