
Tianjin Medical Journal ›› 2023, Vol. 51 ›› Issue (11): 1153-1157.doi: 10.11958/20230255
• Cell and Molecular Biology • Next Articles
LIU Danyang1(
), WANG Lulu2, HE Jun2, JIANG Yang2, LI Yongtao2, ZHANG Xiaodong2, LI Penghui2, SHEN Lei2,△(
)
Received:2023-02-27
Revised:2023-06-02
Published:2023-11-15
Online:2023-11-07
Contact:
△E-mail:LIU Danyang, WANG Lulu, HE Jun, JIANG Yang, LI Yongtao, ZHANG Xiaodong, LI Penghui, SHEN Lei. The mechanism of breast cancer cell culture supernatant promoting migration and proliferation of human adipose mesenchymal stem cells[J]. Tianjin Medical Journal, 2023, 51(11): 1153-1157.
CLC Number:
| 组别 | 24 h | 48 h |
|---|---|---|
| 对照组 | 6.57±1.05 | 20.53±0.69 |
| MDA-MB-231上清液组 | 39.54±1.98a | 61.19±0.21a |
| Akt抑制剂组 | 35.93±0.48 | 43.00±0.26b |
| CXCR1/2抑制剂组 | 37.68±0.95 | 45.23±0.32b |
| F | 318.300** | 3 240.000** |
Tab.1 Comparison of cell scratch closure area of hAdMSC between the four groups
| 组别 | 24 h | 48 h |
|---|---|---|
| 对照组 | 6.57±1.05 | 20.53±0.69 |
| MDA-MB-231上清液组 | 39.54±1.98a | 61.19±0.21a |
| Akt抑制剂组 | 35.93±0.48 | 43.00±0.26b |
| CXCR1/2抑制剂组 | 37.68±0.95 | 45.23±0.32b |
| F | 318.300** | 3 240.000** |
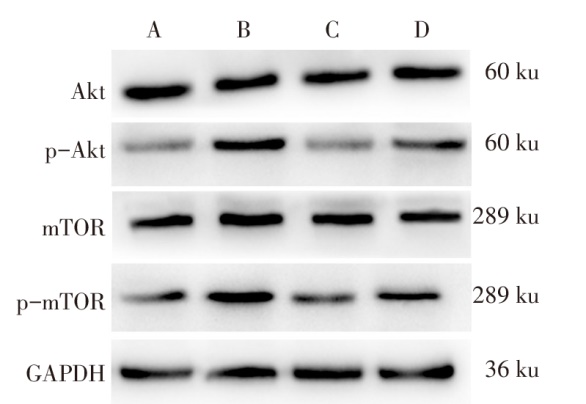
| 组别 | Akt | p-Akt | mTOR | p-mTOR |
|---|---|---|---|---|
| 对照组 | 1.11±0.06 | 0.43±0.02 | 1.06±0.09 | 0.59±0.05 |
| MDA-MB-231 上清液组 | 1.12±0.01 | 1.03±0.03a | 1.10±0.04 | 0.94±0.02a |
| Akt抑制剂组 | 1.02±0.05 | 0.48±0.03b | 1.03±0.02 | 0.71±0.03b |
| CXCR1/2抑制剂组 | 1.09±0.01 | 0.77±0.04b | 0.95±0.03 | 0.73±0.02b |
| F | 2.622 | 144.000** | 2.890 | 86.400** |
Tab.2 Comparison of the relative expression levels of Akt, p-Akt, mTOR and p-mTOR hAdMSC between the four groups
| 组别 | Akt | p-Akt | mTOR | p-mTOR |
|---|---|---|---|---|
| 对照组 | 1.11±0.06 | 0.43±0.02 | 1.06±0.09 | 0.59±0.05 |
| MDA-MB-231 上清液组 | 1.12±0.01 | 1.03±0.03a | 1.10±0.04 | 0.94±0.02a |
| Akt抑制剂组 | 1.02±0.05 | 0.48±0.03b | 1.03±0.02 | 0.71±0.03b |
| CXCR1/2抑制剂组 | 1.09±0.01 | 0.77±0.04b | 0.95±0.03 | 0.73±0.02b |
| F | 2.622 | 144.000** | 2.890 | 86.400** |
| [1] | CAO W, CHEN H D, YU Y W, et al. Changing profiles of cancer burden worldwide and in China: a secondary analysis of the global cancer statistics 2020[J]. Chin Med J(Engl), 2021, 134(7):783-791. doi:10.1097/CM9.0000000000001474. |
| [2] | HUA Z, WHITE J, ZHOU J. Cancer stem cells in TNBC[J]. Semin Cancer Biol, 2022, 82:26-34. doi:10.1016/j.semcancer.2021.06.015. |
| [3] | TU Z, KARNOUB A E. Mesenchymal stem/stromal cells in breast cancer development and management[J]. Semin Cancer Biol, 2022, 86(Pt 2):81-92. doi:10.1016/j.semcancer.2022.09.002. |
| [4] | LAN T, LUO M, WEI X. Mesenchymal stem/stromal cells in cancer therapy[J]. J Hematol Oncol, 2021, 14(1):195. doi:10.1186/s13045-021-01208-w. |
| [5] | CHOWDHURY R, WEBBER J P, GURNEY M, et al. Cancer exosomes trigger mesenchymal stem cell differentiation into pro-angiogenic and pro-invasive myofibroblasts[J]. Oncotarget, 2015, 6(2):715-731. doi:10.18632/oncotarget.2711. |
| [6] | OZGA A J, CHOW M T, LUSTER A D. Chemokines and the immune response to cancer[J]. Immunity, 2021, 54(5):859-874. doi:10.1016/j.immuni.2021.01.012. |
| [7] | ZHANG H, WANG Z, WANG F, et al. IL-6 and IL-8 are involved in JMJD2A-regulated malignancy of ovarian cancer cells[J]. Arch Biochem Biophys, 2020, 684:108334. doi:10.1016/j.abb.2020.108334. |
| [8] | NIE G, CAO X, MAO Y, et al. Tumor-associated macrophages-mediated CXCL8 infiltration enhances breast cancer metastasis:suppression by danirixin[J]. Int Immunopharmacol, 2021, 95:107153. doi:10.1016/j.intimp.2020.107153. |
| [9] | YANG S, WANG H, QIN C, et al. Upregulation of CXCL8 expression is associated with a poor prognosis and enhances tumor cell malignant behaviors in liver cancer[J]. Biosci Rep, 2020, 40(8):BSR20201169. doi:10.1042/BSR20201169. |
| [10] | HUANG Z, YU P, TANG J. Characterization of triple-negative breast cancer MDA-MB-231 cell spheroid model[J]. Onco Targets Ther, 2020, 13:5395-5405. doi:10.2147/OTT.S249756.eCollection2020. |
| [11] | 刘娜, 张晓东, 李永涛, 等. 高糖环境下P物质活化Akt通路促进间充质干细胞增殖和成血管内皮细胞分化的研究[J]. 天津医药, 2022, 50(5):461-465. |
| LIU N, ZHANG X D, LI Y T, et al. An experimental study of substance P promotes the proliferation of bone marrow mesenchymal stem cells and the differentiation of vascular endothelial cells by activating Akt pathway in high glucose environment[J]. Tianjin Med J, 2022, 50(5):461-465. doi:10.11958/20212234. | |
| [12] | LIU Q, LI A, TIAN Y, et al. The CXCL8-CXCR1/2 pathways in cancer[J]. Cytokine Growth Factor Rev, 2016, 31:61-71. doi:10.1016/j.cytogfr.2016.08.002. |
| [13] | HOUTHUIJZEN J M, JONKERS J. Cancer-associated fibroblasts as key regulators of the breast cancer tumor microenvironment[J]. Cancer Metastasis Rev, 2018, 37(4):577-597. doi:10.1007/s10555-018-9768-3. |
| [14] | MATSUSHIMA K, YANG D, OPPENHEIM J J. Interleukin-8:an evolving chemokine[J]. Cytokine, 2022, 153:155828. doi:10.1016/j.cyto.2022.155828. |
| [15] | FERNANDO R I, CASTILLO M D, LITZINGER M, et al. IL-8 signaling plays a critical role in the epithelial-mesenchymal transition of human carcinoma cells[J]. Cancer Res, 2011, 71(15):5296-5306. doi:10.1158/0008-5472.CAN-11-0156. |
| [16] | ALRAOUJI N N, ABOUSSEKHRA A. Tocilizumab inhibits IL-8 and the proangiogenic potential of triple negative breast cancer cells[J]. Mol Carcinog, 2021, 60(1):51-59. doi:10.1002/mc.23270. |
| [17] | LIANG N, CHANG W, PENG A, et al. Dermal mesenchymal stem cells from psoriatic lesions stimulate hacat cell proliferation,differentiation, and migration via activating the PI3K/AKT signaling pathway[J]. Dermatology, 2022, 238(2):283-291. doi:10.1159/000515767. |
| [18] | MOREIN D, ERLICHMAN N, BEN-BARUCH A. Beyond cell motility:the expanding roles of chemokines and their receptors in malignancy[J]. Front Immunol, 2020, 11:952. doi:10.3389/fimmu.2020.00952. |
| [19] | JIN K, PANDEY N B, POPEL A S. Crosstalk between stromal components and tumor cells of TNBC via secreted factors enhances tumor growth and metastasis[J]. Oncotarget, 2017, 8(36):60210-60222. doi:10.18632/oncotarget.19417. |
| [20] | COSTA R, HAN H S, GRADISHAR W J. Targeting the PI3K/AKT/mTOR pathway in triple-negative breast cancer:a review[J]. Breast Cancer Res Treat, 2018, 169(3):397-406. doi:10.1007/s10549-018-4697-y. |
| [21] | DENG F, WENG Y, LI X, et al. Overexpression of IL-8 promotes cell migration via PI3K-Akt signaling pathway and EMT in triple-negative breast cancer[J]. Pathol Res Pract, 2021, 223:152824. doi:10.1016/j.prp.2020.152824. |
| [22] | HABANJAR O, BINGULA R, DECOMBAT C, et al. Crosstalk of inflammatory cytokines within the breast tumor microenvironment[J]. Int J Mol Sci, 2023, 24(4):4002. doi:10.3390/ijms24044002. |
| [1] | ZHANG Jinwei, WANG Yan, WANG Tong. Effects of miR-107 on proliferation, invasion and migration of CAL27 cells in oral squamous cell carcinoma [J]. Tianjin Medical Journal, 2024, 52(9): 897-899. |
| [2] | MAN Yi, XU Ya, HE Xiancheng, SONG Shaofeng, LIU Aiguo. Relationship between expression levels of EGFR, Ki-67, P53 and CTC and the prognosis of triple negative breast cancer [J]. Tianjin Medical Journal, 2024, 52(8): 862-867. |
| [3] | ZHU Gangming, DONG Yongde, ZHU Ruiting, TAN Yuanman, TAO Juan, LIU Xiao, CHEN Decheng, YANG Gai. The value of magnetic resonance relaxation time quantitative imaging in predicting molecular subtypes of invasive ductal carcinoma [J]. Tianjin Medical Journal, 2024, 52(7): 770-774. |
| [4] | CHEN Zhiyan, WU Qiuyuan, DENG Yuhua, ZHOU Dan. Status and application of organoid technology in breast cancer research [J]. Tianjin Medical Journal, 2024, 52(6): 668-672. |
| [5] | LIU Danyang, LI Yongtao, ZHANG Haiyan, LI Lin, LIU Yang, SHEN Lei. Effect of breast cancer cell conditioned medium on biological behavior of bone marrow mesenchymal stem cells [J]. Tianjin Medical Journal, 2024, 52(5): 454-458. |
| [6] | ZHANG Caidie, JIN Yan, ZHANG Dede. The anti-tumor effect of Runfei Yishen drink on lung cancer bearing rats and its impact on tumor immune microenvironment [J]. Tianjin Medical Journal, 2024, 52(4): 362-366. |
| [7] | LIN Yao, LIU Congna, WANG Shixia, ZHANG Zhiyong. Effect of acacetin on lipopolysaccharide induced apoptosis of dental pulp cells by regulating the HMGB1/TLR4 signaling pathway [J]. Tianjin Medical Journal, 2024, 52(12): 1238-1243. |
| [8] | LU Xinyi, DU Weipo, LI Jinggang, GUO Fangfang, ZHANG Xiaolei, LIU Jing. Correlation between serum miR-193a-3p, ATF5 levels and chemotherapy efficacy in patients with triple negative breast cancer [J]. Tianjin Medical Journal, 2024, 52(12): 1313-1316. |
| [9] | ZHANG Guiting, HE Chao. Mechanism of oxLDL/β2GPⅠ/aβ2GPⅠ complex promoting the angiogenesis in vascular endothelial cells through TLR4//MyD88/NF-κB signaling pathway [J]. Tianjin Medical Journal, 2024, 52(11): 1131-1136. |
| [10] | HAO Kaikai, WANG Xiaomin, LIU Zheng, LIU Dongyang, LI Jing. Effects of ligustilide regulating RhoA/ROCK signaling pathway on biological behavior of esophageal cancer cells [J]. Tianjin Medical Journal, 2024, 52(11): 1164-1170. |
| [11] | XIE Haoran, LI Yihao, LIU Cheng, XIA Yuting, QIU Shenglei, XIONG Bin, FENG Qizhen. Research of predictive factors of axillary lymph node metastasis in breast cancer under the context of DIP payment of medical insurance [J]. Tianjin Medical Journal, 2024, 52(11): 1193-1196. |
| [12] | SUN Chuangxin, LI Gang. Role of NID1 in angiogenesis of clear cell renal cell carcinoma [J]. Tianjin Medical Journal, 2024, 52(10): 1009-1013. |
| [13] | XU Guiying, LI Yu, LI Xue, LIU Yimeng, CHEN Huaiyong. Study of Lkb1 regulates epithelial regeneration in asthma using airway organoid [J]. Tianjin Medical Journal, 2024, 52(1): 11-15. |
| [14] | SI Wuxuerong, JIANG Ming. Application of organoids in basic research and clinical translation of cancers [J]. Tianjin Medical Journal, 2024, 52(1): 28-32. |
| [15] | ZHANG Linlin, ZHAO Tangming, HUANG Chan, LI Shanwen, GAN Weihua. Effects and mechanism of AMPP2 on mesangial cell proliferation induced by TGF-β1 [J]. Tianjin Medical Journal, 2024, 52(1): 50-55. |
| Viewed | ||||||
|
Full text |
|
|||||
|
Abstract |
|
|||||