
Tianjin Medical Journal ›› 2024, Vol. 52 ›› Issue (8): 798-803.doi: 10.11958/20231623
• Experimental Research • Previous Articles Next Articles
LI Daqiang1(
), LI Jian1, LU Zheming2, CAO Yang1,△(
)
Received:2023-11-06
Revised:2024-01-25
Published:2024-08-15
Online:2024-08-16
Contact:
E-mail:LI Daqiang, LI Jian, LU Zheming, CAO Yang. Effects of calycosin on neuronal autophagy and apoptosis in rats with spinal cord injury[J]. Tianjin Medical Journal, 2024, 52(8): 798-803.
CLC Number:
| 组别 | n | 1 d | 3 d | 7 d |
|---|---|---|---|---|
| Sham组 | 6 | 21.00±0.00 | 21.00±0.00 | 21.00±0.00 |
| SCI组 | 6 | 0.44±0.18a | 1.83±0.75a | 3.94±0.77a |
| CAL低剂量组 | 6 | 0.56±0.27a | 2.89±0.66b | 6.17±1.05b |
| CAL高剂量组 | 6 | 0.67±0.42a | 3.95±0.88b | 8.61±1.18bc |
| F | 0.778 | 11.372** | 31.740** |
Tab.1 Comparison of neurological function scores after SCI between the four groups of rats
| 组别 | n | 1 d | 3 d | 7 d |
|---|---|---|---|---|
| Sham组 | 6 | 21.00±0.00 | 21.00±0.00 | 21.00±0.00 |
| SCI组 | 6 | 0.44±0.18a | 1.83±0.75a | 3.94±0.77a |
| CAL低剂量组 | 6 | 0.56±0.27a | 2.89±0.66b | 6.17±1.05b |
| CAL高剂量组 | 6 | 0.67±0.42a | 3.95±0.88b | 8.61±1.18bc |
| F | 0.778 | 11.372** | 31.740** |
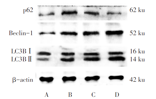
| 组别 | n | p62/ β-actin | Beclin-1/ β-actin | LC3BⅡ/Ⅰ | LC3BⅡ/ β-actin |
|---|---|---|---|---|---|
| Sham组 | 4 | 0.49±0.10 | 0.28±0.05 | 0.49±0.05 | 0.47±0.07 |
| SCI组 | 4 | 1.03±0.11a | 0.54±0.09a | 0.81±0.08a | 0.87±0.10a |
| CAL低剂量组 | 4 | 0.70±0.09b | 0.63±0.05 | 1.06±0.06b | 1.10±0.10b |
| CAL高剂量组 | 4 | 0.39±0.11bc | 0.94±0.11bc | 1.26±0.03bc | 1.30±0.15bc |
| F | 30.722** | 47.307** | 148.901** | 42.684** |
Tab.2 Comparison of p62, Beclin-1 and LC3B protein expression levels after SCI between the four groups of rats
| 组别 | n | p62/ β-actin | Beclin-1/ β-actin | LC3BⅡ/Ⅰ | LC3BⅡ/ β-actin |
|---|---|---|---|---|---|
| Sham组 | 4 | 0.49±0.10 | 0.28±0.05 | 0.49±0.05 | 0.47±0.07 |
| SCI组 | 4 | 1.03±0.11a | 0.54±0.09a | 0.81±0.08a | 0.87±0.10a |
| CAL低剂量组 | 4 | 0.70±0.09b | 0.63±0.05 | 1.06±0.06b | 1.10±0.10b |
| CAL高剂量组 | 4 | 0.39±0.11bc | 0.94±0.11bc | 1.26±0.03bc | 1.30±0.15bc |
| F | 30.722** | 47.307** | 148.901** | 42.684** |
| 组别 | Bax/ β-actin | Cleaved-Caspase-3/ β-actin | Bcl-2/ β-actin | Bcl-2/ Bax |
|---|---|---|---|---|
| Sham组 | 0.43±0.07 | 0.53±0.08 | 0.91±0.15 | 2.14±0.38 |
| SCI组 | 0.92±0.08a | 0.85±0.14a | 0.49±0.06a | 0.54±0.09a |
| CAL低剂量组 | 0.67±0.15b | 0.61±0.05b | 0.74±0.10b | 1.24±0.34b |
| CAL高剂量组 | 0.46±0.10bc | 0.47±0.03b | 1.06±0.10bc | 2.25±0.36bc |
| F | 19.059** | 16.447** | 19.748** | 26.671** |
Tab.3 Comparison of Bax, Cleaved-Caspase-3 and Bcl-2 protein expression levels between the four groups of rats
| 组别 | Bax/ β-actin | Cleaved-Caspase-3/ β-actin | Bcl-2/ β-actin | Bcl-2/ Bax |
|---|---|---|---|---|
| Sham组 | 0.43±0.07 | 0.53±0.08 | 0.91±0.15 | 2.14±0.38 |
| SCI组 | 0.92±0.08a | 0.85±0.14a | 0.49±0.06a | 0.54±0.09a |
| CAL低剂量组 | 0.67±0.15b | 0.61±0.05b | 0.74±0.10b | 1.24±0.34b |
| CAL高剂量组 | 0.46±0.10bc | 0.47±0.03b | 1.06±0.10bc | 2.25±0.36bc |
| F | 19.059** | 16.447** | 19.748** | 26.671** |
| 组别 | p-PI3K/PI3K | p-PI3K/β-actin | p-Akt/Akt | p-Akt/β-actin |
|---|---|---|---|---|
| Sham组 | 0.87±0.10 | 0.80±0.10 | 0.81±0.11 | 0.70±0.11 |
| SCI组 | 0.69±0.12a | 0.59±0.11a | 0.63±0.15a | 0.57±0.14a |
| CAL低剂量组 | 0.90±0.15b | 0.93±0.16b | 0.89±0.08b | 0.78±0.18b |
| CAL高剂量组 | 0.98±0.11b | 1.06±0.20b | 0.96±0.17b | 0.95±0.20b |
| F | 4.220* | 7.210** | 4.534* | 3.978* |
Tab.4 Comparison of p-PI3K and p-Akt protein expression levels between the four groups of rats
| 组别 | p-PI3K/PI3K | p-PI3K/β-actin | p-Akt/Akt | p-Akt/β-actin |
|---|---|---|---|---|
| Sham组 | 0.87±0.10 | 0.80±0.10 | 0.81±0.11 | 0.70±0.11 |
| SCI组 | 0.69±0.12a | 0.59±0.11a | 0.63±0.15a | 0.57±0.14a |
| CAL低剂量组 | 0.90±0.15b | 0.93±0.16b | 0.89±0.08b | 0.78±0.18b |
| CAL高剂量组 | 0.98±0.11b | 1.06±0.20b | 0.96±0.17b | 0.95±0.20b |
| F | 4.220* | 7.210** | 4.534* | 3.978* |
| [1] | KIM H N, MCREA M R, LI S. Advances in molecular therapies for targeting pathophysiology in spinal cord injury[J]. Expert Opin Ther Targets, 2023, 27(3):171-187. doi:10.1080/14728222.2023.2194532. |
| [2] | TANG P, HOU H, ZHANG L, et al. Autophagy reduces neuronal damage and promotes locomotor recovery via inhibition of apoptosis after spinal cord injury in rats[J]. Mol Neurobiol, 2014, 49(1):276-287. doi:10.1007/s12035-013-8518-3. |
| [3] | WU J, LIPINSKI M M. Autophagy in neurotrauma:good,bad,or dysregulated[J]. Cells, 2019, 8(7):693. doi:10.3390/cells8070693. |
| [4] | LIPINSKI M M, WU J, FADEN A I, et al. Function and mechanisms of autophagy in brain and spinal cord trauma[J]. Antioxid Redox Signal, 2015, 23(6):565-577. doi:10.1089/ars.2015.6306. |
| [5] | HUANG Y, REN H, GAO X, et al. Amlodipine improves spinal cord injury repair by inhibiting motoneuronal apoptosis through autophagy upregulation[J]. Spine (Phila Pa 1976), 2022, 47(17):E570-E578. doi:10.1097/BRS.0000000000004310. |
| [6] | LI J, CAO Y, LI L N, et al. Neuroprotective effects of oxymatrine via triggering autophagy and inhibiting apoptosis following spinal cord injury in rats[J]. Mol Neurobiol, 2023, 60(8):4450-4471. doi:10.1007/s12035-023-03364-1. |
| [7] | DENG M, CHEN H, LONG J, et al. Calycosin:a review of its pharmacological effects and application prospects[J]. Expert Rev Anti Infect Ther, 2021, 19(7):911-925. doi:10.1080/14787210.2021.1863145. |
| [8] | WANG Y, REN Q, ZHANG X, et al. Neuroprotective mechanisms of calycosin against focal cerebral ischemia and reperfusion injury in rats[J]. Cell Physiol Biochem, 2018, 45(2):537-546. doi:10.1159/000487031. |
| [9] | LIU H, ZHAO Z, YAN M, et al. Calycosin decreases cerebral ischemia/reperfusion injury by suppressing ACSL4-dependent ferroptosis[J]. Arch Biochem Biophys, 2023, 734:109488. doi:10.1016/j.abb.2022.109488. |
| [10] | CHEN C, CUI J, JI X, et al. Neuroprotective functions of calycosin against intracerebral hemorrhage-induced oxidative stress and neuroinflammation[J]. Future Med Chem, 2020, 12 (7):583-592. doi:10.4155/fmc-2019-0311. |
| [11] | SONG L, LI X, BAI X X, et al. Calycosin improves cognitive function in a transgenic mouse model of Alzheimer's disease by activating the protein kinase C pathway[J]. Neural Regen Res, 2017, 12(11):1870-1876. doi:10.4103/1673-5374.219049. |
| [12] | PAN Q, BAN Y, KHAN S. Antioxidant activity of calycosin against alpha-synuclein amyloid fibrils-induced oxidative stress in neural-like cells as a model of preventive care studies in Parkinson's disease[J]. Int J Biol Macromol, 2021, 182:91-97. doi:10.1016/j.ijbiomac.2021.03.186. |
| [13] | LI M, HASIQIQI G E, HUAN Y, et al. Calycosin ameliorates spinal cord injury by targeting Hsp90 to inhibit oxidative stress and apoptosis of nerve cells[J]. J Chem Neuroanat, 2023, 127:102190. doi:10.1016/j.jchemneu.2022.102190. |
| [14] | 孔俊东, 李坚, 张强强, 等. miR-196b-5p减轻大鼠脊髓损伤后组织水肿和星形胶质细胞活化机制探讨[J]. 天津医药, 2022, 50(11):1153-1157. |
| KONG J D, LI J, ZHANG Q Q, et al. Mechanism of miR-196b-5p in alleviating secondary edema and astrocyte activation after spinal cord injury in rats[J]. Tianjin Med J, 2022, 50(11):1153-1157. doi:10.11958/20220282. | |
| [15] | BASSO D M, BEATTIEeattie M S, BRESNAHAN J C. A sensitive and reliable locomotor rating scale for open field testing in rats[J]. J Neurotrauma, 1995, 12(1):1-21. doi:10.1089/neu.1995.12.1. |
| [16] | LI J, LUO W, XIAO C, et al. Recent advances in endogenous neural stem/progenitor cell manipulation for spinal cord injury repair[J]. Theranostics, 2023, 13(12):3966-3987. doi:10.7150/thno.84133. |
| [17] | YU S, WU K, LIANG Y, et al. Therapeutic targets and molecular mechanism of calycosin for the treatment of cerebral ischemia/reperfusion injury[J]. Aging (Albany NY), 2021, 13(12):16804-16815. doi:10.18632/aging.203219. |
| [18] | HSU C C, KUO T W, LIU W P, et al. Calycosin preserves BDNF/TrkB signaling and reduces post-stroke neurological injury after cerebral ischemia by reducing accumulation of hypertrophic and TNF-α-Containing microglia in rats[J]. J Neuroimmune Pharmacol, 2020, 15(2):326-339. doi:10.1007/s11481-019-09903-9. |
| [19] | YANG J, JIA M, ZHANG X, et al. Calycosin attenuates MPTP-induced Parkinson's disease by suppressing the activation of TLR/NF-kappaB and MAPK pathways[J]. Phytother Res, 2019, 33(2):309-318. doi:10.1002/ptr.6221. |
| [20] | ZHOU S K, GAO X Q, CHEN C, et al. Porcine cardiac blood-salvia miltiorrhiza root alleviates cerebral ischemia reperfusion injury by inhibiting oxidative stress induced apoptosis through PI3K/AKT/Bcl-2/Bax signaling pathway[J]. J Ethnopharmacol, 2023, 316:116698. doi:10.1016/j.jep.2023.116698. |
| [21] | CITRON B A, ARNOLD P M, HAYNES N G, et al. Neuroprotective effects of caspase-3 inhibition on functional recovery and tissue sparing after acute spinal cord injury[J]. Spine(Phila Pa 1976), 2008, 33(21):2269-2277. doi:10.1097/BRS.0b013e3181831f7e. |
| [22] | LI Y L, GUO Y, FAN Y, et al. Melatonin enhances autophagy and reduces apoptosis to promote locomotor recovery in spinal cord injury via the PI3K/AKT/mTOR signaling pathway[J]. Neurochem Res, 2019, 44(8):2007-2019. doi:10.1007/s11064-019-02838. |
| [23] | QI L, JIANG H M, GE L H, et al. MiR-34a inhibits spinal sord injury and blocks spinal cord neuron apoptosis by activating phatidylinositol 3-kinase (PI3K)/AKT pathway through targeting CD47[J]. Curr Neurovasc Res, 2019, 16(4):373-381. doi:10.2174/1567202616666190906102343. |
| [24] | WANG X, LI W, ZHANG Y, et al. Calycosin as a novel PI3K activator reduces inflammation and fibrosis in heart failure through AKT-IKK/STAT3 axis[J]. Front Pharmacol, 2022, 13:828061. doi:10.3389/fphar.2022.828061. |
| [25] | WANG X, ZHAO L. Calycosin ameliorates diabetes-induced cognitive impairments in rats by reducing oxidative stress via the PI3K/Akt/GSK-3beta signaling pathway[J]. Biochem Biophys Res Commun, 2016, 473(2):428-434. doi:10.1016/j.bbrc.2016.03.024. |
| [26] | WANG P C, WANG S X, YAN X L, et al. Combination of paeoniflorin and calycosin-7-glucoside alleviates ischaemic stroke injury via the PI3K/AKT signalling pathway[J]. Pharm Biol, 2022, 60(1):1469-1477. doi:10.1080/13880209.2022.2102656. |
| [1] | HUANG Huiqi, WU Qiuyuan, ZHANG Kun, LI Peixian, XIONG Yaming, YE Guolin, ZHOU Dan. Research on the anti-tumor mechanism of toosendanin combined with olaparib in triple negative breast cancer [J]. Tianjin Medical Journal, 2025, 53(9): 897-902. |
| [2] | LIN Yiwei, WEI Tanjun, CHEN Fei, XIAO Cheng, YUAN Lie, WANG Yi. The in vivo and in vitro effects of Eriodictyol on metabolic dysfunction-associated steatotic liver disease by regulating UBA52 expression [J]. Tianjin Medical Journal, 2025, 53(9): 916-922. |
| [3] | MA Chunmei, YU Peng, ZHANG Qicheng, YANG Lei, LI Dihua, TAN Jian, MENG Zhaowei. Mechanism study of benzyl isothiocyanate combined with sorafenib in the treatment of anaplastic thyroid cancer [J]. Tianjin Medical Journal, 2025, 53(5): 449-455. |
| [4] | LI Bingxin, XU Junying, ZHANG Yaru, ZHOU Xiaobing. Effect of Cordyceps sinensis on podocyte damage induced by high glucose by regulating the AMPK/mTOR pathway [J]. Tianjin Medical Journal, 2025, 53(3): 225-229. |
| [5] | YUERIGULI·Aiweila , SONG Ningze, SHANG Shuai, CUI Liru, WANG Hanming. Observation on the efficacy of key muscle motor point acupuncture combined with exercise training in patients with spinal cord injury [J]. Tianjin Medical Journal, 2025, 53(12): 1280-1284. |
| [6] | FANG Jie, HUANG Rui, ZHENG Honghui, JIA Qianqian, BAO Jing. miR-9-5p-induced autophagy and apoptosis in multiple myeloma cells by targeting TIMP2 [J]. Tianjin Medical Journal, 2024, 52(8): 785-790. |
| [7] | WANG Ke, YE Hanlu. Impacts of cryptotanshinone on autophagy and apoptosis of chondrocytes in rabbit model of knee osteoarthritis by regulating HIF-1α/BNIP3 signaling pathway [J]. Tianjin Medical Journal, 2024, 52(4): 372-378. |
| [8] | HE Ying, ZHANG Guanghua, TIAN Lidong, YU Yonghao. Hydrogen-rich saline treated neuropathic pain in rats by increasing autophagy [J]. Tianjin Medical Journal, 2024, 52(3): 261-265. |
| [9] | WANG Aihua, ZHANG Feizhong, WANG Hongying. Impacts of muscone on malignant progression of ovarian cancer cells by regulating SHH mediated autophagy [J]. Tianjin Medical Journal, 2024, 52(2): 142-147. |
| [10] | ZHAO Yuanyuan, WU Xiaohua. The effect of LINC00173 regulating autophagy of PCOS granulosa cells based on PI3K/Akt/mTOR signaling pathway [J]. Tianjin Medical Journal, 2024, 52(11): 1121-1126. |
| [11] | NIE Jia, GUO Yongying, YU Xiangyan, PEI Yuzhen, LIU Yun, KANG Zenglu, SU Yinghao. Ameliorating effect of calycosin regulating SIRT3/SOD2 signaling pathway on airway epithelial cell damage in mice [J]. Tianjin Medical Journal, 2024, 52(11): 1171-1176. |
| [12] | ZHANG Rui, CHEN Sisi, WANG Tongdan, YU Pei. Krüppel-like factor 4 alleviated cholesterol deposition in macrophages by promoting autophagy at high glucose concentration [J]. Tianjin Medical Journal, 2024, 52(10): 1014-1019. |
| [13] | QIAO Na, TIAN Ying, CHEN Yang, HAO Jing. Impacts of lncRNA MALAT1 on apoptosis, autophagy of granulosa cells and PI3K/Akt/mTOR pathway in polycystic ovary syndrome [J]. Tianjin Medical Journal, 2024, 52(10): 1020-1024. |
| [14] | YANG Yuan, SONG Shuang, CHEN Rong, LIU Yonglian, LIU Chunyan. Study of ginsenoside Rg1 antagonizes sodium arsenite-induced nephrotoxicity in C57BL/6 mice [J]. Tianjin Medical Journal, 2023, 51(8): 820-824. |
| [15] | ZHU Jinghui, WEI Dongmin, REN Shuting, YANG Yanling, ZHAO Lin. Research progress of targeted inhibition of NLRP3 inflammasome in spinal cord injury [J]. Tianjin Medical Journal, 2023, 51(7): 781-784. |
| Viewed | ||||||
|
Full text |
|
|||||
|
Abstract |
|
|||||