
Tianjin Medical Journal ›› 2023, Vol. 51 ›› Issue (7): 701-706.doi: 10.11958/20221922
• Cell and Molecular Biology • Previous Articles Next Articles
WANG Cui(
), YANG Chang, JIN Yu, GAO Mi, ZHANG Wen, WANG Qiong, JIN Haitao(
)
Received:2022-11-21
Revised:2023-01-15
Published:2023-07-15
Online:2023-07-18
Contact:
△JIN Haitao
E-mail:hhbdf62@163.com
WANG Cui, YANG Chang, JIN Yu, GAO Mi, ZHANG Wen, WANG Qiong, JIN Haitao. Study of cynaroside on apoptosis and expression of inflammatory factor in model cells of Alzheimer’s disease[J]. Tianjin Medical Journal, 2023, 51(7): 701-706.
CLC Number:
| 组别 | 增殖抑制率 | 凋亡率 |
|---|---|---|
| 对照组 | 0.02±0.01 | 6.35±0.16 |
| 模型组 | 44.15±1.84a | 23.83±0.88a |
| 模型+木犀草苷低剂量组 | 32.36±1.84b | 20.37±0.89b |
| 模型+木犀草苷中剂量组 | 24.06±1.28bc | 16.29±1.12bc |
| 模型+木犀草苷高剂量组 | 12.45±0.71bcd | 11.93±0.56bcd |
| F | 1 482.537** | 675.957** |
Tab.1 Effects of cynaroside on proliferation inhibition rate and apoptosis rate of AD model cells
| 组别 | 增殖抑制率 | 凋亡率 |
|---|---|---|
| 对照组 | 0.02±0.01 | 6.35±0.16 |
| 模型组 | 44.15±1.84a | 23.83±0.88a |
| 模型+木犀草苷低剂量组 | 32.36±1.84b | 20.37±0.89b |
| 模型+木犀草苷中剂量组 | 24.06±1.28bc | 16.29±1.12bc |
| 模型+木犀草苷高剂量组 | 12.45±0.71bcd | 11.93±0.56bcd |
| F | 1 482.537** | 675.957** |
| 组别 | TNF-α/(ng/L) | IL-6/(ng/L) | ||
|---|---|---|---|---|
| 对照组 | 100.06±5.79 | 64.78±4.99 | ||
| 模型组 | 400.08±14.63a | 442.40±32.12a | ||
| 模型+木犀草苷低剂量组 | 332.88±20.38b | 303.79±15.73b | ||
| 模型+木犀草苷中剂量组 | 244.86±12.78bc | 222.45±14.55bc | ||
| 模型+木犀草苷高剂量组 | 148.91±11.88bcd | 126.42±9.40bcd | ||
| F | 721.179** | 621.541** | ||
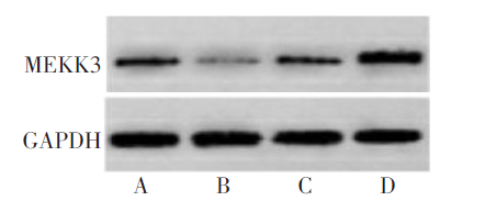
| 组别 | IL-1β/(ng/L) | MEKK3 | ||
| 对照组 | 93.60±5.55 | 0.15±0.02 | ||
| 模型组 | 275.42±20.46a | 0.67±0.04a | ||
| 模型+木犀草苷低剂量组 | 235.50±13.86b | 0.51±0.03b | ||
| 模型+木犀草苷中剂量组 | 176.98±12.97bc | 0.39±0.04bc | ||
| 模型+木犀草苷高剂量组 | 125.28±8.96bcd | 0.22±0.02bcd | ||
| F | 286.230** | 411.612** | ||
Tab.2 Effects of cynaroside on the expression of inflammatory cytokines and MEKK3 protein in AD model cells
| 组别 | TNF-α/(ng/L) | IL-6/(ng/L) | ||
|---|---|---|---|---|
| 对照组 | 100.06±5.79 | 64.78±4.99 | ||
| 模型组 | 400.08±14.63a | 442.40±32.12a | ||
| 模型+木犀草苷低剂量组 | 332.88±20.38b | 303.79±15.73b | ||
| 模型+木犀草苷中剂量组 | 244.86±12.78bc | 222.45±14.55bc | ||
| 模型+木犀草苷高剂量组 | 148.91±11.88bcd | 126.42±9.40bcd | ||
| F | 721.179** | 621.541** | ||
| 组别 | IL-1β/(ng/L) | MEKK3 | ||
| 对照组 | 93.60±5.55 | 0.15±0.02 | ||
| 模型组 | 275.42±20.46a | 0.67±0.04a | ||
| 模型+木犀草苷低剂量组 | 235.50±13.86b | 0.51±0.03b | ||
| 模型+木犀草苷中剂量组 | 176.98±12.97bc | 0.39±0.04bc | ||
| 模型+木犀草苷高剂量组 | 125.28±8.96bcd | 0.22±0.02bcd | ||
| F | 286.230** | 411.612** | ||
| 组别 | 增殖抑制率/% | 凋亡率/% | TNF-α/(ng/L) | IL-6/(ng/L) | IL-1β/(ng/L) |
|---|---|---|---|---|---|
| 模型+si-NC组 | 44.19±1.96 | 23.65±1.58 | 399.83±23.91 | 448.76±20.57 | 272.70±35.62 |
| 模型+si-MEKK3组 | 14.56±0.83 | 13.35±0.97 | 198.54±19.89 | 144.50±22.08 | 133.54±10.81 |
| t | 41.762** | 16.667** | 19.416** | 30.248** | 11.215** |
Tab.3 Effects of knockdown of MEKK3 on proliferation inhibition rate, apoptosis rate and expression of inflammatory factors in AD model cells
| 组别 | 增殖抑制率/% | 凋亡率/% | TNF-α/(ng/L) | IL-6/(ng/L) | IL-1β/(ng/L) |
|---|---|---|---|---|---|
| 模型+si-NC组 | 44.19±1.96 | 23.65±1.58 | 399.83±23.91 | 448.76±20.57 | 272.70±35.62 |
| 模型+si-MEKK3组 | 14.56±0.83 | 13.35±0.97 | 198.54±19.89 | 144.50±22.08 | 133.54±10.81 |
| t | 41.762** | 16.667** | 19.416** | 30.248** | 11.215** |
| 组别 | 增殖抑制率/% | 凋亡率/% | TNF-α/(ng/L) | IL-6/(ng/L) | IL-1β/(ng/L) |
|---|---|---|---|---|---|
| 模型+pcDNA组 | 42.35±2.05 | 21.74±1.50 | 387.96±25.39 | 439.55±31.42 | 280.14±22.90 |
| 模型+pcDNA-MEKK3组 | 60.18±3.72 | 36.28±2.15 | 562.30±40.15 | 641.07±45.19 | 435.80±30.57 |
| t | 12.593** | 16.639** | 11.010** | 10.984** | 12.226** |
Tab.4 Effects of overexpression of MEKK3 on proliferation inhibition rate, apoptosis rate and expression of inflammatory factors in AD model cells
| 组别 | 增殖抑制率/% | 凋亡率/% | TNF-α/(ng/L) | IL-6/(ng/L) | IL-1β/(ng/L) |
|---|---|---|---|---|---|
| 模型+pcDNA组 | 42.35±2.05 | 21.74±1.50 | 387.96±25.39 | 439.55±31.42 | 280.14±22.90 |
| 模型+pcDNA-MEKK3组 | 60.18±3.72 | 36.28±2.15 | 562.30±40.15 | 641.07±45.19 | 435.80±30.57 |
| t | 12.593** | 16.639** | 11.010** | 10.984** | 12.226** |
| 组别 | 增殖抑制率/% | 凋亡率/% | TNF-α/(ng/L) | IL-6/(ng/L) | IL-1β/(ng/L) |
|---|---|---|---|---|---|
| 模型+木犀草苷+pcDNA组 | 12.48±0.78 | 11.67±0.62 | 142.99±17.36 | 126.56±9.61 | 133.38±15.76 |
| 模型+木犀草苷+pcDNA-MEKK3组 | 33.27±1.87 | 21.07±0.83 | 348.56±19.04 | 347.98±20.81 | 238.75±17.50 |
| t | 30.782** | 27.220** | 23.935** | 28.979** | 13.423** |
Tab.5 Effects of up-regulation of MEKK3 to restore on inhibition rate of proliferation, apoptosis rate and expression of inflammatory factors in AD model cells
| 组别 | 增殖抑制率/% | 凋亡率/% | TNF-α/(ng/L) | IL-6/(ng/L) | IL-1β/(ng/L) |
|---|---|---|---|---|---|
| 模型+木犀草苷+pcDNA组 | 12.48±0.78 | 11.67±0.62 | 142.99±17.36 | 126.56±9.61 | 133.38±15.76 |
| 模型+木犀草苷+pcDNA-MEKK3组 | 33.27±1.87 | 21.07±0.83 | 348.56±19.04 | 347.98±20.81 | 238.75±17.50 |
| t | 30.782** | 27.220** | 23.935** | 28.979** | 13.423** |
| [1] | TAHAMI MONFARED A A, BYRNES M J, WHITE L A, et al. Alzheimer's disease:Epidemiology and clinical progression[J]. Neurol Ther, 2022, 11(2):553-569. doi:10.1007/s40120-022-00338-8. |
| [2] | XUE J, JIA P, ZHANG D, et al. TTP488 ameliorates NLRP3-associated inflammation,viability, apoptosis,and ROS production in an Alzheimer's disease cell model by mediating the JAK1/STAT3/NFκB/IRF3 pathway[J]. Cell Biochem Funct, 2021, 39(4):555-561. doi:10.1002/cbf.3623. |
| [3] | 孙超, 董坤, 马英丽. 木犀草苷对HUVECs抗氧化损伤保护作用研究[J]. 中医药信息, 2017, 34(2):5-8. |
| SUN C, DONG K, MA Y L. Protective effect of luteolin on antioxidant damage in HUVECs[J]. Inf Tradit Chin Med, 2017, 34(2):5-8. doi:10.3969/j.issn.1002-2406.2017.02.002. | |
| [4] | 李男, 高关羽, 聂桐. 木犀草苷通过调控miR-211表达对缺氧缺糖诱导的大鼠皮质神经细胞损伤的影响[J]. 中国药师, 2021, 24(5):839-844. |
| LI N, GAO G Y, NIE T. Effects of luteolin on cortical nerve cell injury induced by hypoxia and glucose deficiency in rats by regulating miR-211 expression[J]. China Pharm, 2021, 24(5):839-844. doi:10.3969/j.issn.1008-049X.2021.05.009. | |
| [5] | YAO L, YE Y, MAO H, et al. MicroRNA-124 regulates the expression of MEKK3 in the inflammatory pathogenesis of Parkinson's disease[J]. J Neuroinflammation, 2018, 15(1):13. doi:10.1186/s12974-018-1053-4. |
| [6] | 曲良超, 黄佳佳, 范明达, 等. 水苏碱对阿尔茨海默病体外模型Aβ25-35诱导PC12细胞凋亡的影响[J]. 南方医科大学学报, 2020, 40(7):1023-1028. |
| QU L C, HUANG J J, FAN M D, et al. Effect of hydrothylline on apoptosis of PC12 cells induced by Aβ25-35 in vitro model of Alzheimer's disease[J]. Journal of Southern Medical University, 2020, 40(7):1023-1028. doi:10.12122/j.issn.1673-4254.2020.07.17. | |
| [7] | HUR J Y. γ-Secretase in Alzheimer's disease[J]. Exp Mol Med, 2022, 54(4):433-446. doi:10.1038/s12276-022-00754-8. |
| [8] | ZHANG Y Y, BAO H L, DONG L X, et al. Silenced lncRNA H19 and up-regulated microRNA-129 accelerates viability and restrains apoptosis of PC12 cells induced by Aβ25-35 in a cellular model of Alzheimer's disease[J]. Cell Cycle, 2021, 20(1):112-125. doi:10.1080/15384101.2020.1863681. |
| [9] | CAPORALI S, DE STEFANO A, CALABRESE C, et al. Anti-inflammatory and active biological properties of the plant-derived bioactive compounds luteolin and luteolin 7-glucoside[J]. Nutrients, 2022, 14(6):1155. doi:10.3390/nu14061155. |
| [10] | MAITI P, NAND M, JOSHI T, et al. Identification of luteolin -7-glucoside and epicatechin gallate from Vernoniacinerea,as novel EGFR L858R kinase inhibitors against lung cancer:Docking and simulation-based study[J]. J Biomol Struct Dyn, 2021, 39(14):5048-5057. doi:10.1080/07391102.2020.1784791. |
| [11] | 宁馨, 董坤, 孙超, 等. 蓬子菜有效成分对脂多糖诱导的人脐静脉内皮细胞炎症损伤的保护作用[J]. 中医药信息, 2017, 34(1):17-21. |
| NING X, DONG K, SUN C, et al. Protective effect of active components of Fructus japonica on lipopolysaccharide induced inflammatory injury of human umbilical vein endothelial cells[J]. Inf Tradit Chin Med, 2017, 34(1):17-21. doi:10.3969/j.issn.1002-2406.2017.01.005. | |
| [12] | CHEN F, YANG D, CHENG X Y, et al. Astragaloside Ⅳ ameliorates cognitive impairment and neuroinflammation in an oligomeric Aβ induced Alzheimer's disease mouse model via inhibition of microglial activation and NADPH oxidase expression[J]. Biol Pharm Bull, 2021, 44(11):1688-1696. doi:10.1248/bpb.b21-00381. |
| [13] | ZANG W J, HU Y L, QIAN C Y, et al. HDAC4 promotes the growth and metastasis of gastric cancer via autophagic degradation of MEKK3[J]. Br J Cancer, 2022, 127(2):237-248. doi:10.1038/s41416-022-01805-7. |
| [14] | YANG Y, MUMAU M, TOBER J, et al. Endothelial MEKK3-KLF2/4 signaling integrates inflammatory and hemodynamic signals during definitive hematopoiesis[J]. Blood, 2022, 139(19):2942-2957. doi:10.1182/blood.2021013934. |
| [15] | ZHOU X Y, YING C J, HU B, et al. Receptor for advanced glycation end products aggravates cognitive deficits in type 2 diabetes through binding of C-terminal AAs 2-5 to mitogen-activated protein kinase kinase 3 (MKK3) and facilitation of MEKK3-MKK3-p38 module assembly[J]. Aging Cell, 2022, 21(2):e13543. doi:10.1111/acel.13543. |
| [16] | YIN Y X, XIANG X J, TANG Y, et al. Brain-specific TRAF7 deletion ameliorates traumatic brain injury by suppressing MEKK3-regulated glial inflammation and neuronal death[J]. Int Immunopharmacol, 2022, 103:108219. doi:10.1016/j.intimp.2021.108219. |
| Viewed | ||||||
|
Full text |
|
|||||
|
Abstract |
|
|||||