
Tianjin Medical Journal ›› 2023, Vol. 51 ›› Issue (3): 230-234.doi: 10.11958/20220932
• Cell and Molecular Biology • Previous Articles Next Articles
LUO Na1(
), NI Meng2, DIAO Yunhui2
Received:2022-06-21
Revised:2022-09-20
Published:2023-03-15
Online:2023-03-02
LUO Na, NI Meng, DIAO Yunhui. The effect of Thioridazine on proliferation and apoptosis of pancreatic cancer cells[J]. Tianjin Medical Journal, 2023, 51(3): 230-234.
CLC Number:
| 组别 | 增殖抑制率(%) | 细胞克隆形成数(个/视野) |
|---|---|---|
| 对照组 | 0.00±0.00 | 81.15±7.01 |
| TDZ低剂量组 | 17.71±1.64a | 63.82±6.05a |
| TDZ中剂量组 | 36.71±3.04ab | 44.86±5.08ab |
| TDZ高剂量组 | 59.44±5.18abc | 28.91±2.83abc |
| F | 604.698** | 155.044** |
Tab.1 Effects of TDZ on proliferation inhibition rate and clone formation number of pancreatic cancer SW1990 cells
| 组别 | 增殖抑制率(%) | 细胞克隆形成数(个/视野) |
|---|---|---|
| 对照组 | 0.00±0.00 | 81.15±7.01 |
| TDZ低剂量组 | 17.71±1.64a | 63.82±6.05a |
| TDZ中剂量组 | 36.71±3.04ab | 44.86±5.08ab |
| TDZ高剂量组 | 59.44±5.18abc | 28.91±2.83abc |
| F | 604.698** | 155.044** |
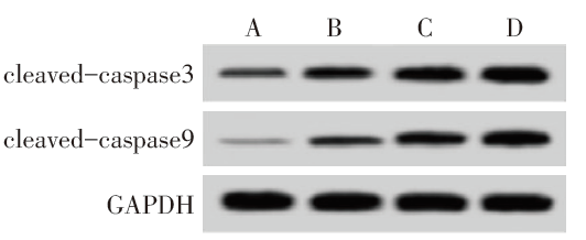
| 组别 | 凋亡率 (%) | cleaved-caspase3 蛋白 | cleaved-caspase9 蛋白 |
|---|---|---|---|
| 对照组 | 6.04±0.51 | 0.23±0.02 | 0.16±0.02 |
| TDZ低剂量组 | 11.96±1.07a | 0.36±0.03a | 0.29±0.02a |
| TDZ中剂量组 | 18.96±1.58ab | 0.53±0.04ab | 0.44±0.04ab |
| TDZ高剂量组 | 27.31±2.07abc | 0.67±0.05abc | 0.59±0.06abc |
| F | 369.665** | 247.278** | 155.700** |
Tab.2 Effects of TDZ on apoptosis rate and expression of apoptosis-related proteins of pancreatic cancer SW1990 cells
| 组别 | 凋亡率 (%) | cleaved-caspase3 蛋白 | cleaved-caspase9 蛋白 |
|---|---|---|---|
| 对照组 | 6.04±0.51 | 0.23±0.02 | 0.16±0.02 |
| TDZ低剂量组 | 11.96±1.07a | 0.36±0.03a | 0.29±0.02a |
| TDZ中剂量组 | 18.96±1.58ab | 0.53±0.04ab | 0.44±0.04ab |
| TDZ高剂量组 | 27.31±2.07abc | 0.67±0.05abc | 0.59±0.06abc |
| F | 369.665** | 247.278** | 155.700** |
| 组别 | LINC00470 | 抑制率(%) | 细胞克隆形成数(个/视野) | 凋亡率(%) | cleaved-caspase3蛋白 | cleaved-caspase9蛋白 |
|---|---|---|---|---|---|---|
| si-NC组 | 1.00±0.00 | 6.09±0.57 | 82.49±7.98 | 7.15±0.65 | 0.22±0.02 | 0.14±0.02 |
| si-LINC00470组 | 0.31±0.03 | 38.98±4.52 | 36.71±3.21 | 21.83±2.14 | 0.61±0.05 | 0.52±0.04 |
| t | 69.000** | 21.658** | 15.967** | 19.691** | 21.726** | 25.491** |
Tab.3 Effects of LINC00470 expression interference on proliferation inhibition rate, clone formation number, apoptosis rate and apoptosis-related protein expression levels of pancreatic cancer SW1990 cells
| 组别 | LINC00470 | 抑制率(%) | 细胞克隆形成数(个/视野) | 凋亡率(%) | cleaved-caspase3蛋白 | cleaved-caspase9蛋白 |
|---|---|---|---|---|---|---|
| si-NC组 | 1.00±0.00 | 6.09±0.57 | 82.49±7.98 | 7.15±0.65 | 0.22±0.02 | 0.14±0.02 |
| si-LINC00470组 | 0.31±0.03 | 38.98±4.52 | 36.71±3.21 | 21.83±2.14 | 0.61±0.05 | 0.52±0.04 |
| t | 69.000** | 21.658** | 15.967** | 19.691** | 21.726** | 25.491** |
| 组别 | LINC00470 | 抑制率(%) | 细胞克隆形成数(个/视野) | 凋亡率(%) | cleaved-caspase3蛋白 | cleaved-caspase9蛋白 |
|---|---|---|---|---|---|---|
| TDZ+pcDNA组 | 1.00±0.00 | 60.84±5.89 | 27.24±3.58 | 29.03±2.39 | 0.69±0.05 | 0.56±0.04 |
| TDZ+pcDNA-LINC00470组 | 3.44±0.23 | 21.63±2.34 | 69.51±6.33 | 12.96±1.07 | 0.33±0.03 | 0.25±0.03 |
| t | 31.826** | 18.560** | 17.438** | 18.411** | 18.522** | 18.600** |
Tab.4 LINC00470过表达逆转了TDZ对胰腺癌SW1990细胞增殖抑制率、克隆形成数、凋亡和凋亡相关蛋白表达的作用 (n=9, $\bar{x}$±s)
| 组别 | LINC00470 | 抑制率(%) | 细胞克隆形成数(个/视野) | 凋亡率(%) | cleaved-caspase3蛋白 | cleaved-caspase9蛋白 |
|---|---|---|---|---|---|---|
| TDZ+pcDNA组 | 1.00±0.00 | 60.84±5.89 | 27.24±3.58 | 29.03±2.39 | 0.69±0.05 | 0.56±0.04 |
| TDZ+pcDNA-LINC00470组 | 3.44±0.23 | 21.63±2.34 | 69.51±6.33 | 12.96±1.07 | 0.33±0.03 | 0.25±0.03 |
| t | 31.826** | 18.560** | 17.438** | 18.411** | 18.522** | 18.600** |
| [1] | SIEGEL R L, MILLER K D, JEMAL A. Cancer statistics, 2020[J]. CA Cancer J Clin, 2020, 70(1):7-30. doi:10.3322/caac.21590. |
| [2] | GROSSBERG A J, CHU L C, DEIG C R, et al. Multidisciplinary standards of care and recent progress in pancreatic ductal adenocarcinoma[J]. CA Cancer J Clin, 2020, 70(5):375-403. doi:10.3322/caac.21626. |
| [3] | CHU C W, KO H J, CHOU C H, et al. Thioridazine enhances P62-mediated autophagy and apoptosis through wnt/β-catenin signaling pathway in glioma cells[J]. Int J Mol Sci, 2019, 20(3):473-490. doi:10.3390/ijms20030473. |
| [4] | YAN J, HUANG X, ZHANG X, et al. LncRNA LINC00470 promotes the degradation of PTEN mRNA to facilitate malignant behavior in gastric cancer cells[J]. Biochem Biophys Res Commun, 2020, 521(4):887-893. doi:10.1016/j.bbrc.2019.11.016. |
| [5] | 雍敏, 天思, 朱江, 等. 硫利达嗪诱导人卵巢癌细胞凋亡及其机制研究[J]. 第三军医大学学报, 2015, 37(16):1609-1613. |
| YONG M, TIAN S, ZHU J, et al. Thioridazine induce apoptosis in human ovarian cancer cells by elevating reactive oxygen species[J]. Third Military Med University J, 2015, 37(16):1609-1613. doi:10.16016/j.1000-5404.201503151. | |
| [6] | YI T, SONG Y, ZUO L, et al. LINC00470 stimulates methylation of PTEN to facilitate the progression of endometrial cancer by recruiting DNMT3a through MYC[J]. Front Oncol, 2021, 11(1):646217-646230. doi:10.3389/fonc.2021.646217. |
| [7] | SONG Y, LI L, CHEN J, et al. Thioridazine hydrochloride: An antipsychotic agent that inhibits tumor growth and lung metastasis in triple-negative breast cancer via inducing G0/G1 arrest and apoptosis[J]. Cell Cycle, 2020, 19(24):3521-3533. doi:10.1080/15384101.2020.1850969. |
| [8] | QIAN G, DAI L, YU T. Thioridazine sensitizes cisplatin against chemoresistant human lung and ovary cancer cells[J]. DNA Cell Biol, 2019, 38(7):718-724. doi:10.1089/dna.2019.4715. |
| [9] | LIU J, YING M, ZHANG J, et al. Thioridazine upregulates programmed cell death 4 to induce apoptosis in nasopharyngeal carcinoma through the PI3K/Akt signalling pathway[J]. Anticancer Drugs, 2018, 29(2):118-127. doi:10.1097/CAD.0000000000000574. |
| [10] | ZHAO D W, HOU Y S, SUN F B, et al. Effects of miR-132 on proliferation and apoptosis of pancreatic cancer cells via Hedgehog signaling pathway[J]. Eur Rev Med Pharmacol Sci, 2019, 23(5):1978-1985. doi:10.26355/eurrev_201903_17236. |
| [11] | ZHANG R R, MENG N N, LIU C, et al. PDB-1 from Potentilla discolor Bunge induces apoptosis and autophagy by downregulating the PI3K/Akt/mTOR signaling pathway in A549 cells[J]. Biomed Pharmacother, 2020, 129(1):110378-110389. doi:10.1016/j.biopha.2020.110378. |
| [12] | RENGANATHAN A, FELLEY-BOSCO E. Long noncoding RNAs in cancer and therapeutic potential[J]. Adv Exp Med Biol, 2017, 1008(1):199-222. doi:10.1007/978-981-10-5203-3_7. |
| [13] | WU C, SU J, LONG W, et al. LINC 00470 promotes tumour proliferation and invasion,and attenuates chemosensitivity through the LINC00470/miR-134/Myc/ABCC1 axis in glioma[J]. J Cell Mol Med, 2020, 24(20):12094-12106. doi:10.1111/jcmm.15846. |
| [14] | HUANG W, LIU J, YAN J, et al. LncRNA LINC00470 promotes proliferation through association with NF45/NF90 complex in hepatocellular carcinoma[J]. Hum Cell, 2020, 33(1):131-139. doi:10.1007/s13577-019-00288-8. |
| Viewed | ||||||
|
Full text |
|
|||||
|
Abstract |
|
|||||